[¹«¸­] õºñ°ñ½Å°æ ½Å°æÁ¾¾ç(neuroma of superficial peroneal nerve)
ÀÛ¼ºÀÚ : °ü¸®ÀÚ(khu3265442@naver.com) ÀÛ¼ºÀÏ : 2012-05-25 Á¶È¸¼ö : 4848
ÆÄÀÏ÷ºÎ :

¼ºº° / ³ªÀÌ
³²ÀÚ/43


ÁÖÁõ»ó
ÁÂÃø ÇÏÁöÀÇ Àú¸²Áõ ¹× ¾öÁö ¹ß°¡¶ô ½ÅÀü ¾àÈ­(±â°£ : 3³â)


º´·Â
¾Æ·§´Ù¸® ½ÉºÎ ¿­»óÀ¸·Î ºÀÇÕ ¼ö¼ú ÈÄ Áõ»óÀÌ ¹ß»ý


ÀÌÇÐÀû °Ë»ç
¾öÁö ¹ß°¡¶ô ½ÅÀüÀÌ G- Á¤µµ·Î °¨¼ÒµÇ°í ¹ßµîÀÇ °¨°¢ÀÌ °¨¼ÒµÊ. º´Àû ¼Ò°ßÀº º¸ÀÌÁö ¾ÊÀ½.


ÃÊÀ½ÆÄ °Ë»ç
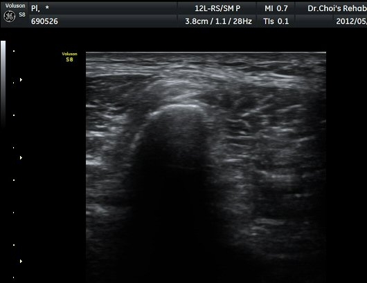
À­´Ù¸®(thigh) ¾Æ·¡ ºÎÀ§ ¿ÜÃø Ⱦ´Ü¸é°Ë»ç¿¡¼­ À̵ιڱ٠³»Ãø¿¡¼­ ÃѺñ°ñ½Å°æÀÌ Á¤»óÀûÀ¸·Î °üÂûµÈ´Ù(±×¸² 1, 2).

ŽÃËÀÚ¸¦ ¾Æ·¡·Î À̵¿ÇÏ¿© ºñ°ñµÎ ºÎÀ§±îÁö ÃѺñ°ñ½Å°æÀÇ ÁÖÇàÀ» µû¶ó ½Å°æÀ» È®ÀÎÇÏ¿´´Ù(±×¸² 3, 4).

ŽÃËÁö¸¦ Á¶±Ý ´õ ¾Æ·¡·Î À̵¿ÇÏ´Ï »ÀÀÇ µÎ²²°¡ °¨¼ÒÇÏ´Â °ÍÀ» º¸°í ºñ°ñÀÇ ¸ñ ºÎÀ§¸¦ °üÂûÇϰí ÀÖÀ½À» ¾Ë ¼ö ÀÖ°í ÃѺñ°ñ ½Å°æÀº ºñ°ñ ¸ñ Ç¥Ãþ¿¡¼­ °üÂûµÈ´Ù(±×¸² 5).

ŽÃËÀÚ¸¦ Á¶±Ý ´õ ¾Æ·¡·Î À̵¿ÇÏ´Ï ºñ°ñÀÇ ¾ÕÂÊ¿¡¼­ ÃѺñ°ñ½Å°æ õºñ°ñ½Å°æ°ú ½Éºñ°ñ½Å°æÀ¸·Î ³ª´©¾îÁø´Ù(±×¸² 6).

ŽÃËÀÚ¸¦ ´õ ¾Æ·¡·Î À̵¿ÇÏ´Ï Ãµºñ°ñ½Å°æÀÌ Àú¿¡ÄÚ µÕ±Ù µ¢¾î¸®·Î °üÂûµÇ´Ù°¡ ´Ù½Ã Á¤»óÀûÀÎ ¸ð½ÀÀ¸·Î °üÂûµÈ´Ù(±×¸² 7, 8).

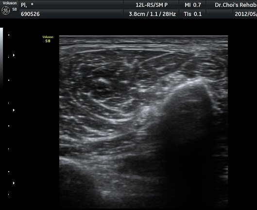
µ¢¾î¸® Á¾´Ü¸é°Ë»ç¿¡¼­ µ¢¾î¸®ÀÇ ±ÙÀ§ºÎ°¡ ½Å°æ°ú ¿¬°áµÇ¾î ÀÖÀ½À» °üÂûÇÒ ¼ö ÀÖ´Ù(±×¸² 9).


´Ü¼ø¹æ»ç¼±°Ë»ç


ÀÚ±â°ø¸í°Ë»ç


Ä¡·á
Àü¿ø



 


±ÙÀüµµ°Ë»ç ¼Ò°ß

õºñ°ñ°¨°¢½Å°æÀº Àü±â Àڱؿ¡ ¹ÝÀÀÀ» º¸ÀÌÁö ¾Ê¾Ò°í ½Éºñ°ñ¿îµ¿½Å°æÀº Á¤»óÀûÀÎ ¼Ò°ßÀ»
º¸¿´´Ù.

ħ±ÙÀüµµ°Ë»ç¿¡¼­ õºñ°ñ½Å°æÀÇ Áö¹è¸¦ ¹Þ´Â Àåºñ°ñ±Ù°ú Àü°æ±Ù°ú ÀåÁ·Áø½ÅÀü±Ù ÀϺκп¡¼­
ºñÁ¤»ó ÀÚ¹ßÀüÀ§¸¦ º¸¿´´Ù.

ÀÌÀü±Û °ñ Á¾¾ç¿¡ ÀÇÇÑ Á°ñ½Å°æ º´Áõ(sciatic neuropathy due to bony mass)
´ÙÀ½±Û ÀÌÀ¯ ¾øÀÌ ¹ß»ýÇÑ ½½°³°ñ¾Æ·¡ ÈûÁÙ ¿°Áõ
       
°¡¸ÍÁ¡¸í : ½Ã¸®¾Ç½ºÁ¤ÇüÀÇÇבּ¸È¸
»ç¾÷ÀÚµî·Ï¹øÈ£ : 894-81-00627 | ´ëÇ¥ÀÚ : ÀåµÎÇõ
 
ÁÖ¼Ò : °æ±âµµ ¾çÆò±º ¿ë¹®¸é ¿ë¹®·Î 375-1, 2Ãþ 1È£
TEL : 010-2323-4055
E-mail : cyriax12@naver.com
ÀԱݾȳ»
±¹¹ÎÀºÇà | ½Ã¸®¾Ç½ºÁ¤ÇüÀÇÇבּ¸È¸(ÁÖ)
220401-04-194155