[¾î±ú] °üÀý¼øÁÖÀ§ ³¶Á¾(paralabral cyst) ÁÖ»ç ÈíÀÎ Ä¡·á ÈÄ °æ°ú
ÀÛ¼ºÀÚ : °ü¸®ÀÚ(khu3265442@naver.com) ÀÛ¼ºÀÏ : 2012-08-15 Á¶È¸¼ö : 4783
ÆÄÀÏ÷ºÎ : treat2.wmv

¼ºº° / ³ªÀÌ
³²ÀÚ / 49¼¼


ÁÖÁõ»ó
¿ìÃø ¾î±ú ¿ÜÃø ºÎ ÅëÁõ. ÅëÁõÀº ¾î±ú µÚÂʰú ¾Æ·¡ ¿ÜÃøºÎ¿¡ ³ªÅ¸³ª°í ÆÈÀ» µé°í ÀÖÀ¸¸é ÆÈÀÌ Àú¸®°í ÈûÀÌ ºüÁø´Ù.


º´·Â
2


ÀÌÇÐÀû °Ë»ç
4


ÃÊÀ½ÆÄ °Ë»ç
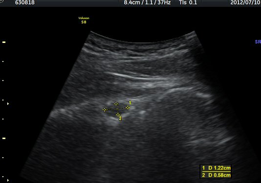
¾î±ú °üÀý µÚÂÊ ÈĹæ°üÀý¼ø Ⱦ´Ü¸é°Ë»ç¿¡¼­ °üÀý¼ø ³»Ãø, °¡½Ãµ¹±â°üÀý¼ø°í¶û(spinoglenoid

notch)¿¡¼­ Àú¿¡ÄÚ ³¶Á¾ÀÌ °üÂûµÈ´Ù(±×¸² 1). ŽÃËÀÚ¸¦ À§-¾Æ·¡ ¹æÇâÀ¸·Î º¯°æÇÏ¿© °üÂûÇÒ ¶§µµ

¿ª½Ã °ß°©°ñ °¡½Ãµ¹±â(spine) ¾Æ·¡¿¡¼­ Àú¿¡ÄÚ ³¶Á¾ÀÌ °üÂûµÈ´Ù(±×¸² 2). º¼·ÏŽÃËÀÚ·Î ¹Ù²Ù¾î °ü

ÂûÇÏ´Ï  °¡½Ãµ¹±â°üÀý¼ø°í¶û¿¡¼­ Àú¿¡ÄÚ ³¶Á¾ÀÌ ´õ¿í ¶Ñ·ÈÈ÷ °üÂûµÈ´Ù(±×¸² 3, 4).

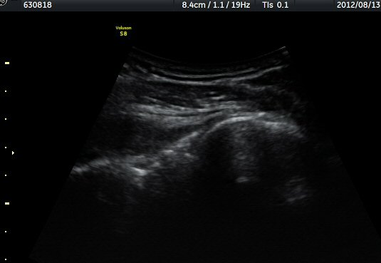
ÁÖ»ç¹Ù´Ã ÈíÀÎ(µ¿¿µ»ó Âü°í) 4ÀÏ ÈÄ °üÂûÇÑ ¼Ò°ß¿¡¼­´Â ³¶Á¾ÀÇ Å©±â °¨¼Ò°¡ ¶Ñ·ÈÇÏÁö ¾Ê´Ù(±×¸² 5, 6).

ÈíÀÎ 14ÀÏ ÈÄ ÃÊÀ½ÆÄ°Ë»ç¿¡¼­ ¾à°£ÀÇ ³¶Á¾ Å©±â °¨¼Ò°¡ °üÂûµÈ´Ù(±×¸² 7, 8)

ÈíÀÎ 50ÀÏ ÈÄ ÃÊÀ½ÆÄ°Ë»ç¿¡¼­ ³¶Á¾ Å©±â °¨¼Ò°¡ ¶Ñ·ÈÇÏ´Ù(±×¸² 9, 10).


´Ü¼ø¹æ»ç¼±°Ë»ç
ÀÌ»ó ¼Ò°ß ¾øÀ½


ÀÚ±â°ø¸í°Ë»ç
°üÀý¼ø ÁÖÀ§ ³¶Á¾


Ä¡·á
ÃÊÀ½ÆÄ À¯µµÇÏ¿¡ ÁÖ»ç ÈíÀÎÄ¡·á(°ÅÀÇ ÈíÀεÇÁö ¾ÊÀ½).



 


ÈĹæ°üÀý¼ø ÁÖÀ§ ³¶Á¾Àº ƯÀÌ Áõ»óÀ» º¸ÀÌÁö ¾ÊÀ¸³ª ´ë°³´Â ¾î±ú µÚÂÊÀÇ ÅëÁõÀÌ ¾Æ·¡·Î ¹æ»çÇϰí

¼öµ¿Àû ¼öÆò³»Àü ½Ã Áõ»óÀÌ ¾ÇÈ­µÇ´Â °æÇâÀ» º¸ÀδÙ.

ÃÊÀ½ÆÄ°Ë»ç¸¦ ½ÃÇàÇÏ´õ¶óµµ Ưº°ÇÑ °ü½ÉÀ» °®°í °¡½Ãµ¹±â°üÀý¼ø °í¶ûÀ» °üÂûÇÏÁö ¾ÊÀ¸¸é Áø´Ü

ÇÏÁö ¸øÇÒ ¼ö ÀÖ´Ù. ³¶Á¾ÀÌ °üÂûµÇ´Â °æ¿ì¿¡´Â »ó°ß°©½Å°æ ±ØÇϱ٠°¡ÁöÀÇ ¸¶ºñ¿©ºÎ¸¦ È®ÀÎÇϱâ

À§ÇØ ¾î±ú ¿ÜȸÀü ±Ù·Â°Ë»ç¿Í ±ÙÀüµµ°Ë»ç¸¦ ½ÃÇàÇÑ´Ù.

ÀÏÂ÷ÀûÀÎ º¸Á¸Àû Ä¡·á·Î ÁÖ»ç¹Ù´Ã ÈíÀÎÀ» ½ÃÇàÇÑ´Ù. º´º¯ ºÎÀ§°¡ ±í¾î¼­ ÃÊÀ½ÆÄÀ¯µµ ÈíÀνÃ

ÁÖ»ç ¹Ù´ÃÀÇ À§Ä¡°¡ ¶Ñ·ÈÇÏÁö ¾ÊÀ¸¹Ç·Î ¹Ì¸® ÃæÀüµÈ ±¹¼Ò¸¶ÃëÁ¦¸¦ ÁÖ»çÇϸ鼭 ¹Ù´Ã³¡ÀÇ

À§Ä¡¸¦ È®ÀÎÇÏ´Â ¹æ¹ýÀÌ À¯¿ëÇÏ´Ù. ´ëºÎºÐ ³¶Á¾¾×Àº ±Ø¼Ò·® ÈíÀεǴµ¥ ÈíÀÎÀÌ ¸¹Áö ¾ÊÀº °æ¿ì

³¶Á¾À» ¿©·¯¹ø õÀÚÇÏ¿© ³¶Á¾ÀÇ ÀÚ¹ßÀûÀÎ ¹è¾×À» À¯µµÇÑ´Ù. ÀÌ ¶§ ³¶Á¾ ÁÖÀ§¿¡ ½Å°æ°ú Ç÷°üÀÌ
ÀÖÀ½À» À¯³äÇÏ¿© ½Å°æ°ú Ç÷°üÀ» ¼Õ»óÇÏÁö ¾Êµµ·Ï ÁÖÀÇÇÑ´Ù.

´ë°³ ÈíÀÎ ÈÄ¿¡ ÀÌÇÐÀû°Ë»ç¸¦ ½ÃÇàÇÏ¸é ¼öµ¿Àû ³»Àü, ±¼°îÀÇ ¸»´Ü, ¿ÜÀü ½ÅÀü ½Ã ÅëÁõÀÌ °¨¼ÒÇÔÀ»

È®ÀÎÇÒ ¼ö ÀÖ´Ù. ÀúÀÚ°¡ °æÇèÇÑ µÎ Áõ·Ê¿¡¼­ 5Àϰú 50ÀÏ¿¡ ½ÃÇàÇÑ ÃÊÀ½ÆÄ°Ë»ç¿¡¼­ ³¶Á¾ÀÌ °ÅÀÇ

¼Ò½ÇµÇ°í Áõ»óÀº ´õ »¡¸® È£ÀüµÇ´Â °ÍÀ¸·Î º¼ ¶§ °üÀý¼ø¿ìÀ§ ³¶Á¾ Ä¡·á¿¡ ÁÖ»çÈíÀÎ Ä¡·á°¡ ¸Å¿ì

À¯¿ëÇÑ °ÍÀ¸·Î ÆÇ´ÜµÇ³ª ´õ ¸¹Àº Áõ·Ê¸¦ ¸ð¾Æ À¯È¿¼ºÀ» Æò°¡ÇØ¾ß ÇÒ °ÍÀ¸·Î »ç·áµÈ´Ù.

 


À¯»çÁõ·Ê ¹Ù·Î°¡±â :


ÀÌÀü±Û ¹Ì¼¼ÇÑ °ß°©Çϱٰǰú ±Ø»ó°Ç ÆÄ¿­, ÃßÁ¤
´ÙÀ½±Û ±Ø»ó°Ç ¼®È¸È­¼º °ÇÃÊ¿° ¹× Ȱ¾×¸·¿°(calcific tendinitis of SSP with synovitis)
       
°¡¸ÍÁ¡¸í : ½Ã¸®¾Ç½ºÁ¤ÇüÀÇÇבּ¸È¸
»ç¾÷ÀÚµî·Ï¹øÈ£ : 894-81-00627 | ´ëÇ¥ÀÚ : ÀåµÎÇõ
 
ÁÖ¼Ò : °æ±âµµ ¾çÆò±º ¿ë¹®¸é ¿ë¹®·Î 375-1, 2Ãþ 1È£
TEL : 010-2323-4055
E-mail : cyriax12@naver.com
ÀԱݾȳ»
±¹¹ÎÀºÇà | ½Ã¸®¾Ç½ºÁ¤ÇüÀÇÇבּ¸È¸(ÁÖ)
220401-04-194155