[¾î±ú] ¹Ì¼¼ÇÑ °ß°©Çϱٰǰú ±Ø»ó°Ç ÆÄ¿­, ÃßÁ¤
ÀÛ¼ºÀÚ : °ü¸®ÀÚ(khu3265442@naver.com) ÀÛ¼ºÀÏ : 2012-10-29 Á¶È¸¼ö : 4727
ÆÄÀÏ÷ºÎ :

¼ºº° / ³ªÀÌ
³²ÀÚ/45


ÁÖÁõ»ó
¿ìÃø ¾î±ú ÅëÁõ(±â°£ 1ÁÖ)


º´·Â
Æò¼Ò °¡²û ¾î±úÅëÁõÀÌ ÀÖ´ø ȯÀÚ·Î 1ÁÖÀü °ñÇÁ ÈÄ ÅëÁõÀÌ Áõ°¡ÇÏ¿© ³»¿ø


ÀÌÇÐÀû °Ë»ç
°üÀý°¡µ¿¹üÀ§´Â Á¤»ó ¼Ò°ßÀ» º¸¿´À¸³ª ¼öµ¿ÀûÀÎ ¿ÜÀü ³¡¿¡¼­ ÅëÁõÀ» º¸¿´°í ÀúÇ׿¡ ´ëÇÑ ¿ÜÀü ½Ã ÅëÁõÀÌ ³ªÅ¸³².wjs ¹ü¤¤


ÃÊÀ½ÆÄ °Ë»ç
ȸÀü±Ù°³°£°Ý Ⱦ´ã³à°Ë»ç¿¡¼­ ƯÀÌ ¼Ò°ßÀ» º¸ÀÌÁö ¾ÊÀ½(±×¸² 1).

À̵ιڱٰí¶û¿¡¼­ À̵ιڱÙÀÌ Á¤»óÀûÀ¸·Î °üÂûµÇ°í ƯÀÌ ¼Ò°ßÀ» º¸ÀÌÁö ¾ÊÀ½(±×¸² 2).

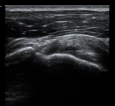
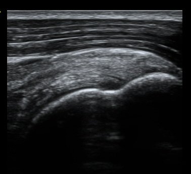
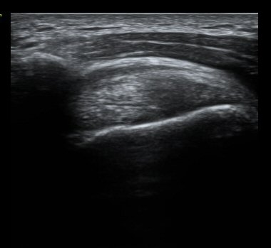
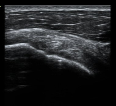
ȸÀü±Ù°³°£°Ý ³»Ãø Ⱦ´Ü¸é°Ë»ç¿¡¼­ °üÂûÇÑ °ß°©ÇÏ±Ù°Ç »óºÎ Á¾´Ü¸é°Ë»ç¿¡¼­ ¹Ì¼¼ÇÑ °£±ØÀÌ

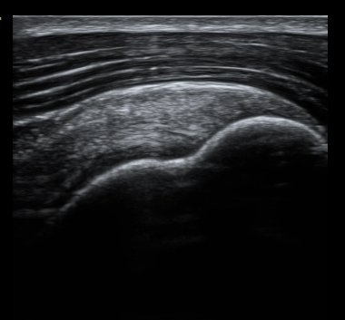
°üÂûµÊ(±×¸² 3, 4). °ß°©ÇÏ±Ù°Ç È¾´Ü¸é°Ë»ç¿¡¼­µµ °ß°©Çϱٰdz» °£±ØÀÌ °üÂûµÊ(±×¸² 5).

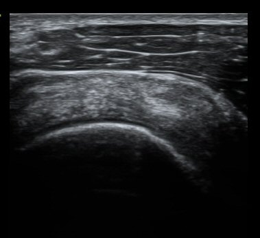
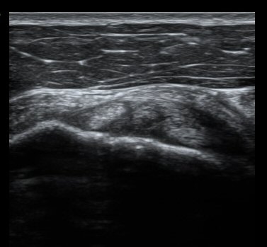
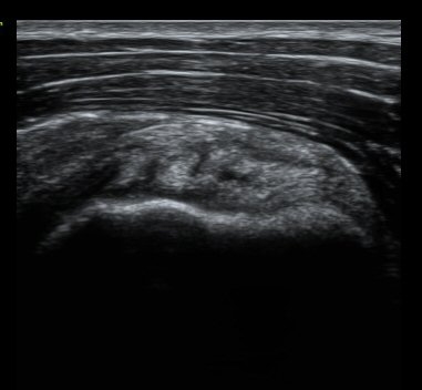
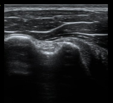
±Ø»ó°Ç Á¾´Ü¸é°Ë»ç¿Í Ⱦ´Ü¸é°Ë»ç¿¡¼­ ±Ø»ó°Ç³» ¹Ì¼¼ÇÑ °£±ØÀÌ °üÂûµÊ(±×¸² 6, 7, 8).

°ßºÀ ¿ÜÃø¿¡ ŽÃËÀÚ¸¦ ´ë°í ½ÃÇàÇÑ Ãæµ¹°Ë»ç¿¡¼­ °ßºÀ ¿ÜÃø¿¡ ¼ö¾×Àú·ù°¡ °üÂûµÇ¾ú´Ù.(±×¸² 9).


´Ü¼ø¹æ»ç¼±°Ë»ç


ÀÚ±â°ø¸í°Ë»ç


Ä¡·á
Á¡¾×³¶³» ÁÖ»çÄ¡·á



 


À̹ø ÃÊÀ½ÆÄ¼Ò°ß¸¸À¸·Î °ß°©Çϱٰǰú ±Ø»ó°Ç¿¡ ¹Ì¼¼ÇÑ ÆÄ¿­ÀÌ ÀÖ´Ù°í ÆÇ´ÜÇϱâ´Â ¾î·Æ´Ù.

ÃßÈÄ ¼ö³â°£ ÃßÀû°Ë»ç¸¦ ÅëÇÏ¿© ÆÄ¿­ÀÇ ÁøÇà ¿©ºÎ¸¦ È®ÀÎÇÏ¿©¾ß È®½ÇÇÑ Áø´ÜÀÌ °¡´ÉÇÒ °ÍÀ¸·Î

ÃßÁ¤µÈ´Ù.

ÃÊÀ½ÆÄ°Ë»ç»ó °üÀý³» ¼ö¾×Àú·ù¸¦ º¸ÀÌÁö ¾Ê°í ÃÊÀ½ÆÄ °üÂûÇÏ ¿ÜÀü°Ë»ç¿¡¼­ °ßºÀ ¿ÜÃø¿¡

¼ö¾×Àú·ù°¡ °üÂûµÇ°í ȯÀÚÀÇ ¼öµ¿ÀûÀÎ ¿ÜÀü½Ã ÅëÁõÀ» º¸¿© Á¡¾×³¶³»¿¡ ÁÖ»çÄ¡·á¸¦ ½ÃÇàÇÏ¿´´Ù.

ÀÌÀü±Û °ß°©Çϱٰǰú ±Ø»ó°Ç ÆÄ¿­¿¡ µ¿¹ÝµÈ Á¡¾×³¶¿°
´ÙÀ½±Û °üÀý¼øÁÖÀ§ ³¶Á¾(paralabral cyst) ÁÖ»ç ÈíÀÎ Ä¡·á ÈÄ °æ°ú
       
°¡¸ÍÁ¡¸í : ½Ã¸®¾Ç½ºÁ¤ÇüÀÇÇבּ¸È¸
»ç¾÷ÀÚµî·Ï¹øÈ£ : 894-81-00627 | ´ëÇ¥ÀÚ : ÀåµÎÇõ
 
ÁÖ¼Ò : °æ±âµµ ¾çÆò±º ¿ë¹®¸é ¿ë¹®·Î 375-1, 2Ãþ 1È£
TEL : 010-2323-4055
E-mail : cyriax12@naver.com
ÀԱݾȳ»
±¹¹ÎÀºÇà | ½Ã¸®¾Ç½ºÁ¤ÇüÀÇÇבּ¸È¸(ÁÖ)
220401-04-194155