[¼Õ¸ñ] ÈûÁÙÀÇ ºÎÁ¾ÀÌ ½ÉÇÏ¿© ÆìÁöÁö ¾È´Â ¹æ¾Æ¼è ¼Õ°¡¶ô
ÀÛ¼ºÀÚ : °ü¸®ÀÚ(khu3265442@naver.com) ÀÛ¼ºÀÏ : 2013-01-10 Á¶È¸¼ö : 11296
ÆÄÀÏ÷ºÎ :

¼ºº° / ³ªÀÌ
¿©/ 53


ÁÖÁõ»ó
¾öÁö°¡ ÆìÁöÁö ¾Ê°í ÅëÁõÀÌ ÀÖ´Ù


º´·Â


ÀÌÇÐÀû °Ë»ç
¾öÁö ¼Õ°¡¶ô ½ÅÀüÀÌ Á¦ÇÑµÇ°í ¼Õ¹Ù´ÚÃø ÁÖ¼öÁö°ñ ºÎÀ§¿¡ ¾ÐÅëÀ» º¸ÀÌ´Â µ¢¾î¸®°¡ ¸¸Á®Áü


ÃÊÀ½ÆÄ °Ë»ç

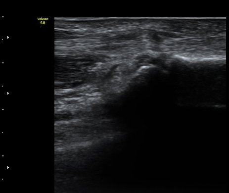
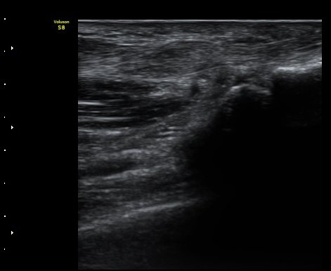
ÈûÁÙÀÇ Á¾´Ü¸é°Ë»ç¿¡¼­ A1 ȰÂ÷(pulley)ÀÇ Àú¿¡ÄÚ ºÎÁ¾°ú ȰÀÚ ±ÙÀ§ºÎ¿¡¼­ ÈûÁÙÀÇ
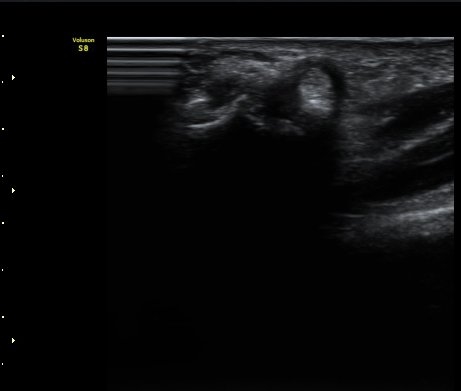
ºÎÁ¾ÀÌ °üÂûµÊ(±×¸² 1, 2). ÈûÁ٠Ⱦ´Ü¸é°Ë»ç¿¡¼­ A1ȰÂ÷ÀÇ Àú¿¡ÄÚ ºÎÁ¾ÀÌ °üÃÔµÊ(±×¸² 3).

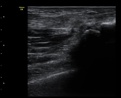
¼Õ°¡¶ô ½ÅÀü ½Ã ºÎÀº ÈûÁÙÀÌ a1ÇÒÂ÷¸¦ Åë°úÇÏÁö ¸øÇÏ°í °É¸°´Â ¸ð½ÀÀÌ °üÂûµÊ(±×¸² 4).
ÈûÁÙÀÌ °É¸®´Â ¸ð½ÀÀº µ¿¿µ»ó(÷ºÎ ÆÄÀÏ)¿¡¼­ ¶Ñ·ÈÈ÷ °üÂûµÊ.


´Ü¼ø¹æ»ç¼±°Ë»ç


ÀÚ±â°ø¸í°Ë»ç


Ä¡·á
µ¢¾î¸®(ÈûÁÙ) ÁÖÀ§¿¡ ÁÖ»çÄ¡·á



 


^^

ÀÌÀü±Û ü¿ÜÃæ°ÝÆÄ Ä¡·á ÈÄ ¼Ò½ÇµÈ ´ëÅðÁ÷±Ù ±â½ÃºÎ ¼®È¸È­(¼®È¸È­¼º °ÇÃÊ¿°)
´ÙÀ½±Û ³»ÃøºÎÀÎ´ë ¿°ÁÂ(ºÎºÐ ÆÄ¿­)
       
°¡¸ÍÁ¡¸í : ½Ã¸®¾Ç½ºÁ¤ÇüÀÇÇבּ¸È¸
»ç¾÷ÀÚµî·Ï¹øÈ£ : 894-81-00627 | ´ëÇ¥ÀÚ : ÀåµÎÇõ
 
ÁÖ¼Ò : °æ±âµµ ¾çÆò±º ¿ë¹®¸é ¿ë¹®·Î 375-1, 2Ãþ 1È£
TEL : 010-2323-4055
E-mail : cyriax12@naver.com
ÀԱݾȳ»
±¹¹ÎÀºÇà | ½Ã¸®¾Ç½ºÁ¤ÇüÀÇÇבּ¸È¸(ÁÖ)
220401-04-194155