[¾î±ú] ¾î±ú ´ë°áÀý °ß¿­ °ñÀý 2
ÀÛ¼ºÀÚ : °ü¸®ÀÚ(khu3265442@naver.com) ÀÛ¼ºÀÏ : 2013-03-01 Á¶È¸¼ö : 2838
ÆÄÀÏ÷ºÎ :

¼ºº° / ³ªÀÌ
¿©ÀÚ/ 50¼¼


ÁÖÁõ»ó
³Ñ¾îÁø ÈÄ ½ÉÇØÁö´Â ¾î±úÀÇ ÅëÁõ°ú °­Á÷


º´·Â
³Ñ¾îÁø ÈÄ ¾î±úÀÇ ÅëÁõÀÌ ¹ß»ýÇÏ¿© Ÿ º´¿ø ³»¿øÇÏ¿© ¿¢½º·¹ÀÌ °Ë»ç¿¡¼­ ƯÀÌ ¼Ò°ß ¾ø´Ù´Â ¼Ò°ßÀ» µè°í Áö³ÁÀ¸³ª ¾î±úÀÇ ÅëÁõÀÌ ½ÉÇØÁö°í Á¡Á¡ ¾î±ú°¡ ±»¾îÁ® ³»¿ø


ÀÌÇÐÀû °Ë»ç


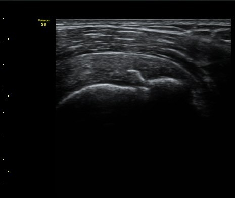
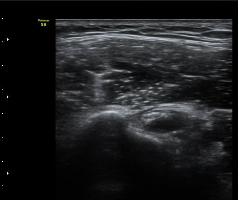
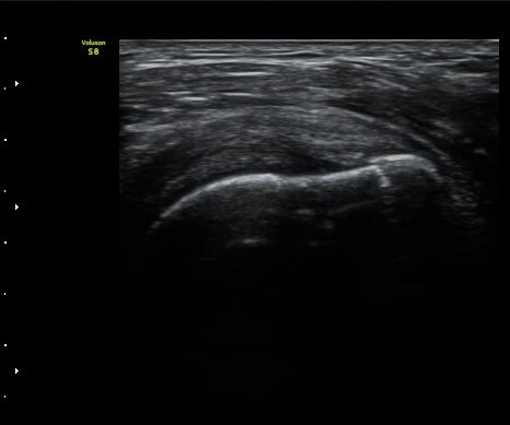
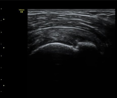
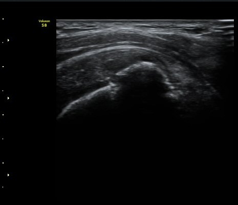
ÃÊÀ½ÆÄ °Ë»ç
^^


´Ü¼ø¹æ»ç¼±°Ë»ç


ÀÚ±â°ø¸í°Ë»ç


Ä¡·á



 


^^

ÀÌÀü±Û pirifrormis ±ÙÀ° ÁÖ»çÄ¡·á
´ÙÀ½±Û ¾î±ú ´ë°áÀý °ß¿­ °ñÀý
       
°¡¸ÍÁ¡¸í : ½Ã¸®¾Ç½ºÁ¤ÇüÀÇÇבּ¸È¸
»ç¾÷ÀÚµî·Ï¹øÈ£ : 894-81-00627 | ´ëÇ¥ÀÚ : ÀåµÎÇõ
 
ÁÖ¼Ò : °æ±âµµ ¾çÆò±º ¿ë¹®¸é ¿ë¹®·Î 375-1, 2Ãþ 1È£
TEL : 010-2323-4055
E-mail : cyriax12@naver.com
ÀԱݾȳ»
±¹¹ÎÀºÇà | ½Ã¸®¾Ç½ºÁ¤ÇüÀÇÇבּ¸È¸(ÁÖ)
220401-04-194155