[¹ß¸ñ] ÃÊÀ½ÆÄ¿¡ ÀÇÇÑ ¹ß¸ñ Àü°Å°ñºñ°ñ ÀÎ´ë ÆÄ¿­ Áø´ÜÀÇ ½ºÆ®·¹½º °Ë»ç Á߿伺
ÀÛ¼ºÀÚ : °ü¸®ÀÚ(khu3265442@naver.com) ÀÛ¼ºÀÏ : 2013-05-02 Á¶È¸¼ö : 11961
ÆÄÀÏ÷ºÎ : [mix]IMG_20130312_1_5.mp4

¼ºº° / ³ªÀÌ
³²ÀÚ / 28¼¼


ÁÖÁõ»ó
¹ß¸ñÀÇ ÅëÁõ(3ÀÏ)


º´·Â
Ã౸ÇÏ´Ù°¡ ´ÙÄ£ ÈÄ ¹ß¸ñÀÇ ÅëÁîÀÀ·Î ³»¿ø. ¾à¹°Ä¡·á¿Í ź·ÃºØ´ë °íÁ¤ÇÏ¿´À¸³ª ÅëÁõÀÌ °è¼ÓµÇ¾î ³»¿ø


ÀÌÇÐÀû °Ë»ç
¹ß¸ñÀÇ ºÎÁ¾°ú ¹ø¹ÝÀûÀÎ ¾ÐÅë


ÃÊÀ½ÆÄ °Ë»ç
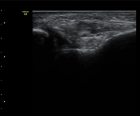
¹ß¸ñ ¾Õ Á¾´Ü¸é°Ë»ç¿¡¼­ ¹ß¸ñ°üÀý ³» ¼ö¾×Àú·ù°¡ °üÂûµÈ´Ù(±×¸² 1).
Àü°Å°ñºñ°ñÀδë Á¾´Ü¸é°Ë»ç¿¡¼­ ÀδëÀÇ Àú¿¡ÄÚ ºÎÁ¾ÀÌ °üÂûµÈ´Ù(±×¸² 2).
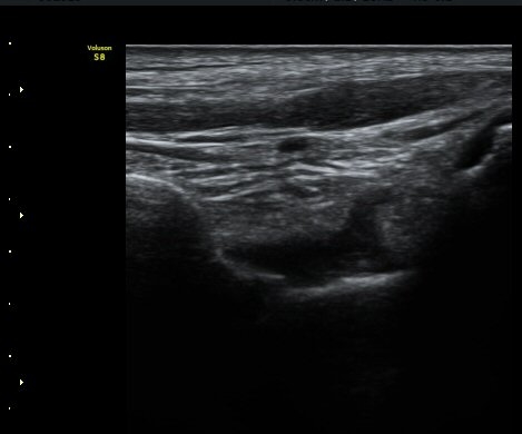
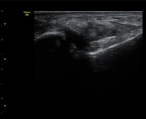
Á¾µ¹ºñ°ñÀδë Á¾´Ü¸é°Ë»ç¿¡¼­ Á¾°ñºñ°ñÀδë´Â Á¤»óÀûÀÎ ¸ð¾çÀ¸·Î °üÂûµÈ´Ù(±×¸² 3, 4).
ÃÊÀ½ÆÄ°Ë»çÇÏ Àü°Å°ñºñ°ñÀÎ´ë ºÎÇϰ˻翡¼­ °Å°ñ°ú ºñ°ñ°£ ºÒ¾ÈÁ¤ÀÌ °üÂûµÈ´Ù(÷ºÎ µ¿¿µ»ó).


´Ü¼ø¹æ»ç¼±°Ë»ç


ÀÚ±â°ø¸í°Ë»ç


Ä¡·á
ºÎ¸ñ °íÁ¤ ±Ç°íÇÏ¿´À¸³ª °ÅºÎ



 


¹ß¸ñ ÃÊÀ½ÆÄ°Ë»ç ½Ã ¹ß¸ñ°üÀý³» ºÎÁ¾ÀÌ ÀÖÀ» °æ¿ì ÁÖ¿ä ±¸Á¶¹°ÀÇ ¼Õ»óÀ» ¿¹»óÇÒ ¼ö ÀÖ´Ù.
Á¤Áö »óÅÂÀÇ Àü°Å°ñºñ°ñÀδë ÃÊÀ½ÆÄ°Ë»ç¿¡¼­´Â ÀδëÀÇ Àú¿¡ÄÚ ºÎÁ¾ÀÌ °üÂûµÇ´Âµ¥
ÀÌ ¼Ò°ßÀ¸·Î´Â ÀÌ ÀδëÀÇ ±â´É ¼Ò½ÇÀ» È®ÀÎÇÒ ¼ö ¾ø´Ù.
±×·¯³ª ÃÊÀ½ÆÄ Åõ½ÃÇÏ ºÎÇϰ˻縦 ½ÃÇàÇÏ¸é °Å°ñ°ú ºñ°ñ»çÀÌÀÇ ¾ÈÁ¤¼ºÀÌ ÈѼյǾî
º¸´Ù Àû±ØÀûÀÎ Ä¡·á°¡ ÇÊ¿äÇÑ °ÍÀ¸·Î ÆÇ´ÜµÈ´Ù.
ÀÌ·± °æ¿ì ´Ü¼ø¹æ»ç¼± ÃÔ¿µ»ó mortice view¸¦ ÃÔ¿µÇÏ¿© ºñ°ñ°ú °æ°ñ »çÀÌÀÇ ¹ú¾îÁüÀ»
Æò°¡ÇÏ¿© ¼ö¼ú Ä¡·áÀÇ Çʿ伺µµ ÆÇ´ÜÇÏ¿©¾ß ÇÑ´Ù.



¹ß¸ñ ¼Õ»ó ¹æ»ç¼± ¼Ò°ß °øºÎÇϱâ

http://www.radiologyassistant.nl/en/p4b6d817d8fade/ankle-fracture-mechanism.html

ÀÌÀü±Û Àü°Å°ñºñ°ñÀδë ÀüÃþ ÆÄ¿­ÀÇ ÃÊÀ½ÆÄ°Ë»ç ¹× ºÎÇÏ°Ë»ç ¼Ò°ß
´ÙÀ½±Û °ß¿­°ñÀýÀ» µ¿¹ÝÇÑ Àü¹æ°Å°ñºñ°ñÀδëÀÇ ÃÊÀ½ÆÄ°Ë»ç, °ßÀÎ°Ë»ç ¹× Ä¡·á
       
°¡¸ÍÁ¡¸í : ½Ã¸®¾Ç½ºÁ¤ÇüÀÇÇבּ¸È¸
»ç¾÷ÀÚµî·Ï¹øÈ£ : 894-81-00627 | ´ëÇ¥ÀÚ : ÀåµÎÇõ
 
ÁÖ¼Ò : °æ±âµµ ¾çÆò±º ¿ë¹®¸é ¿ë¹®·Î 375-1, 2Ãþ 1È£
TEL : 010-2323-4055
E-mail : cyriax12@naver.com
ÀԱݾȳ»
±¹¹ÎÀºÇà | ½Ã¸®¾Ç½ºÁ¤ÇüÀÇÇבּ¸È¸(ÁÖ)
220401-04-194155