[¹ß¸ñ] Àü°Å°ñºñ°ñÀδë ÀüÃþ ÆÄ¿­ÀÇ ÃÊÀ½ÆÄ°Ë»ç ¹× ºÎÇϰ˻çÀÇ À¯¿ë¼º
ÀÛ¼ºÀÚ : °ü¸®ÀÚ(khu3265442@naver.com) ÀÛ¼ºÀÏ : 2013-05-06 Á¶È¸¼ö : 3541
ÆÄÀÏ÷ºÎ : [mix]IMG_20130503_2_4.avi [mix]IMG_20130503_1_8.avi

¼ºº° / ³ªÀÌ
³²ÀÚ/24


ÁÖÁõ»ó
ÁÂÃø ¹«¸­ÀÇ ÅëÁõ(1ÀÏ)


º´·Â
³»¿ø 1ÀÏÀü °øÂ÷´Ù°¡ »ß²ý


ÀÌÇÐÀû °Ë»ç
¹ß¸ñ ¿Ü»ó°ú ºÎÀ§ ºÎÁ¾, Àü°Å°ñºñ°ñÀδë¿Í ºñ°ñÁ¾°ñÀÎ´ë ºÎÀ§ ±¹¼ÒÀû ¾ÐÅë


ÃÊÀ½ÆÄ °Ë»ç
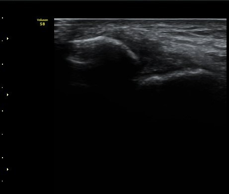
¹ß¸ñ°üÀý Á¾´Ü¸é°Ë»ç¿¡¼­ °üÀý³» ¼ö¾×Àú·ù°¡ °üÂûµÈ´Ù(±×¸² 1).
Àüºñ°ñ°æ°ñÀδë Á¾´Ü¸é°Ë»ç¿¡¼­ ƯÀÌ ¼Ò°ßÀ» º¸ÀÌÁö ¾Ê´Â´Ù(±×¸² 2).

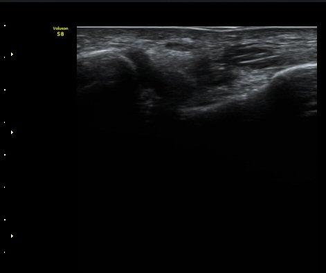
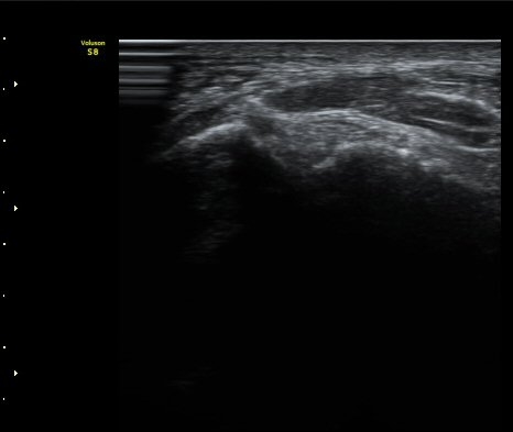
Àü°Å°ñºñ°ñÀδë Á¾´Ü¸é°Ë»ç»ó Àδë ÀδëÀÇ Àú¿¡ÄÚ ºÎÁ¾°ú(±×¸² 3)

ºñ°ñºÎÂøºÎ ¿¬°á¼º ¼Ò½ÇÀÌ °üÂûµÈ´Ù(±×¸² 4).

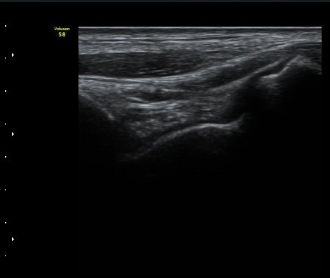
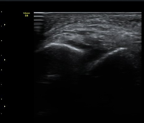
ºñ°ñÁ¾°ñÀδë Á¾´Ü¸é°Ë»ç¿¡¼­ ƯÀÌ ¼Ò°ßÀ» º¸ÀÌÁö ¾Ê´Â´Ù(±×¸² 5).

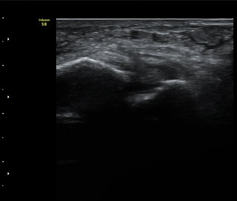
ÃÊÀ½ÆÄÅõ½ÃÇÏ ºÎÇϰ˻翡¼­ ºñ°ñ°ú ÀÎ´ë ºÎÂøºÎ¿Í ºñ°ñ°ú °Å°ñ »çÀ̰¡ ¹ú¾îÁø´Ù
(樨毢 1)

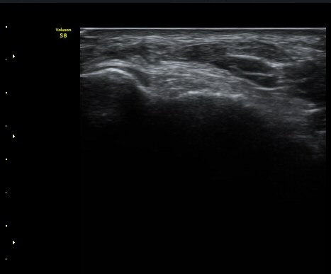
3ÁÖ ÈÄ ÃßÀû°Ë»ç»ó °üÀý³» ºÎÁ¾ÀÌ ¼Ò½ÇµÇ°í(±×¸² 6). Àü°Å°ñºñ°ñÀδëÀÇ Àú¿¡ÄÚ ºÎÁ¾Àº
°üÂûµÇ³ª ¿¬°á¼º ¼Ò½ÇÀº È®ÀεÇÁö ¾Ê´Â´Ù(±×¸² 8).

ÃÊÀ½ÆÄ Åõ½ÃÇÏ ºÎÇϰ˻翡¼­ ºñ°ñ°ú ÀδëºÎÂøºÎ¿Í  ºñ°ñ°ú °Å°ñ»çÀ̰¡ ¹ú¾îÁöÁö ¾Ê´Â´Ù
(樨毢 2).


´Ü¼ø¹æ»ç¼±°Ë»ç
ƯÀÌ ¼Ò°ß ¾øÀ½(³»Ãø °æ°ñ°ú °Å°ñ °£°ÝÀÌ 4mm ÀÌ»ó ¹ú¾îÁ® ÀÖÁö ¾ÊÀ½).


ÀÚ±â°ø¸í°Ë»ç


Ä¡·á
3ÁÖ°£ ºÎ¸ñ °íÁ¤



 


±×¸²1) ¹ß¸ñ°üÀý Á¾´Ü¸é°Ë»ç±Û

±×¸²2) Àüºñ°ñ°æ°ñÀδë Á¾´Ü¸é°Ë»ç±Û

±×¸²3) Àü°Å°ñºñ°ñÀδë Á¾´Ü¸é°Ë»ç

±×¸²4) Àü°Å°ñºñ°ñÀδë Á¾´Ü¸é°Ë»ç

±×¸²5) ºñ°ñÁ¾°ñÀδë Á¾´Ü¸é°Ë»ç

±×¸²6) 3ÁÖ ÈÄ ÃßÀû°Ë»ç ¹ß¸ñ°üÀý Á¾´Ü¸é°Ë»ç

±×¸²7) 3ÁÖ ÈÄ ÃßÀû°Ë»ç Àüºñ°ñ°æ°ñÀδë Á¾´Ü¸é°Ë»ç

±×¸²8) 3ÁÖ ÈÄ ÃßÀû°Ë»ç Àü°Å°ñºñ°ñÀδë Á¾´Ü¸é°Ë»ç

±×¸²9) 3ÁÖ ÈÄ ÃßÀû°Ë»ç ºñ°ñÁ¾°ñÀδë Á¾´Ü¸é°Ë»ç


°üÀý³» ¼ö¾×Àú·ù´Â ÀÎ´ë ¼Õ»óÀ̳ª °ñÀýÀÇ °¡´É¼ºÀ» ½Ã»çÇØÁØ´Ù.

Àü°æ°ñºñ°ñÀδëÀÇ ¼Õ»óÀÌ ÀÖ´Â °æ¿ì ¹ß¸ñ ÄÄÇ»ÅÍÃÔ¿µ µî Àû±ØÀûÀÎ °Ë»ç¸¦ °í·ÁÇØ¾ß ÇÑ´Ù.

Àü°Å°ñºñ°ñÀÎ´ë ¼Õ»óÀÌ °üÂûµÇ´Â °æ¿ì ¹Ýµå½Ã ÃÊÀ½ÆÄÅõ½ÃÇÏ ºÎÇϰ˻縦 ½ÃÇàÇÏ¿©
ÀδëÀÇ ¿ÏÀü ÆÄ¿­·Î ºÒ¾ÈÁ¤¼ºÀ» º¸ÀÌ´Â °æ¿ì 3ÁÖ ÀÌ»ó ¼®°í°íÁ¤ÀÌ ¹Ù¶÷Á÷ÇÏ´Ù.

ºñ°ñÁ¾°ñÀδëÀÇ ¼Õ»ó°ú Àüºñ°ñ°Å°ñÀÎ´ë ¼Õ»óÀÌ ¸ðµÎ °üÂûµÇ´Â °æ¿ì´Â ¼ö¼úÀû Ä¡·á°¡
ÇÊ¿äÇÒ ¼ö ÀÖÀ¸¹Ç·Î Á¤Çü¿Ü°ú ÇùÁøÀ» ½ÃÇàÇÑ´Ù.

º» Áõ·ÊÀÇ °æ¿ì Àüºñ°ñ°Å°ñÀδëÀ¸ÀÌ ¿ÏÀü ÆÄ¿­·Î Áø´ÜµÇ¾úÀ¸³ª ÀûÀýÇÑ Ä¡·á·Î ¹ß¸ñÀÇ
¾ÈÁ¤¼ºÀ» È®º¸ÇÑ °ÍÀ¸·Î ÆÇ´ÜµÈ´Ù.

ÀÌÀü±Û °ß¿­°ñÀýÀ» µ¿¹ÝÇÑ Àü¹æ°Å°ñºñ°ñÀδëÀÇ ÃÊÀ½ÆÄ°Ë»ç, °ßÀÎ°Ë»ç ¹× Ä¡·á 2
´ÙÀ½±Û Àü°Å°ñºñ°ñÀδë ÀüÃþ ÆÄ¿­ÀÇ ÃÊÀ½ÆÄ°Ë»ç ¹× ºÎÇÏ°Ë»ç ¼Ò°ß
       
°¡¸ÍÁ¡¸í : ½Ã¸®¾Ç½ºÁ¤ÇüÀÇÇבּ¸È¸
»ç¾÷ÀÚµî·Ï¹øÈ£ : 894-81-00627 | ´ëÇ¥ÀÚ : ÀåµÎÇõ
 
ÁÖ¼Ò : °æ±âµµ ¾çÆò±º ¿ë¹®¸é ¿ë¹®·Î 375-1, 2Ãþ 1È£
TEL : 010-2323-4055
E-mail : cyriax12@naver.com
ÀԱݾȳ»
±¹¹ÎÀºÇà | ½Ã¸®¾Ç½ºÁ¤ÇüÀÇÇבּ¸È¸(ÁÖ)
220401-04-194155