[¾î±ú] ȸÀü±Ù°³(±Ø»ó°Ç, °ß°©ÇϱٰÇ) ÆÄ¿­ÀÇ Áõ½ÄÄ¡·á
ÀÛ¼ºÀÚ : °ü¸®ÀÚ(khu3265442@naver.com) ÀÛ¼ºÀÏ : 2013-05-20 Á¶È¸¼ö : 3606
ÆÄÀÏ÷ºÎ : [mix]IMG_20130518_1_1.mp4 [mix]IMG_20130518_1_2.mp4

¼ºº° / ³ªÀÌ
³²ÀÚ/65


ÁÖÁõ»ó
¾î±úÀÇ ÅëÁõ(2´Þ)


º´·Â
¿Ü»ó ¾øÀÌ ¾î±úÀÇ ÅëÁõÀÌ ¹ß»ýÇÏ¿© Ÿº´¿ø¿¡¼­ ÁÖ»çÄ¡·á µî ½ÃÇàÇÏ¿´À¸³ª Áõ»óÀÌ °è¼ÓµÇ¾î ³»¿ø
¾à¹°Ä¡·á·Î º¸Á¸Àû Ä¡·á¸¦ ½ÃÇàÇÏ¿´À¸³ª Áõ»ó È£Àü ¾ø¾î Áõ½ÄÄ¡·á ½ÃÇà


ÀÌÇÐÀû °Ë»ç
¾î±ú °üÀýÀÇ °­Á÷Àº °æ¹ÌÇÏ¿´°í ÀúÇ׿¡ ´ëÇÑ ¿ÜÀü½Ã ÅëÁõÀ» º¸ÀÓ. ÀúÇ׿¡ ´ëÇÑ ³»È¸ÀüÀº Á¤»óÀûÀÓ.


ÃÊÀ½ÆÄ °Ë»ç
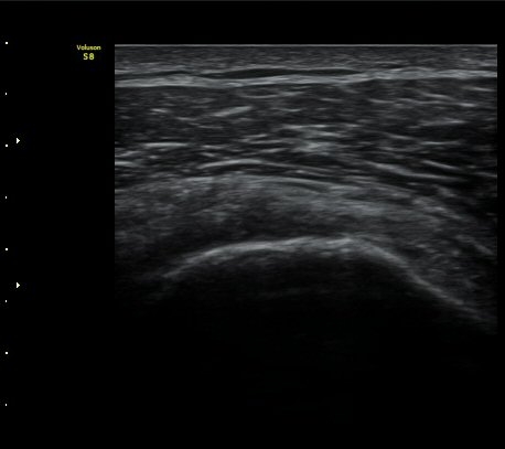
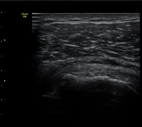
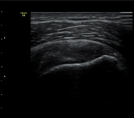
±Ø»ó°Ç Á¾´Ü¸é°Ë»ç½Ã ±Ø»ó°Ç ºÎÂøºÎ¿¡ Àú¿¡ÄÚ ºÎÁ¾°ú ¹Ì¼¼ÇÑ °Ç ¿¬°á¼º ¼Ò½ÇÀÌ

°üÂûµÊ (±×¸² 1, 2, 3 )

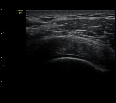
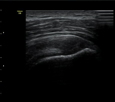
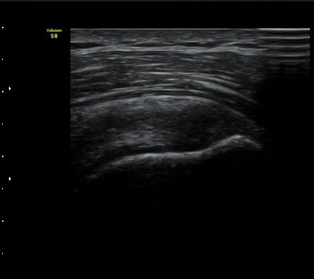
±Ø»ó°Ç Ⱦ´Ü¸é°Ë»ç½Ã ±Ø»ó°Ç ÀϺΠÀú¿¡ÄÚ ºÎÁ¾°ú ¹Ì¼¼ÇÑ °Ç ¿¬°á¼º ¼Ò½ÇÀÌ °üÂûµÊ(±×¸² 4, 5).

±×¸² 4)¿¡¼­ °üÀý¿¬°ñ°æ°è¸é ¡ÈÄ(articular interface sign)°¡ °üÂûµÊ.

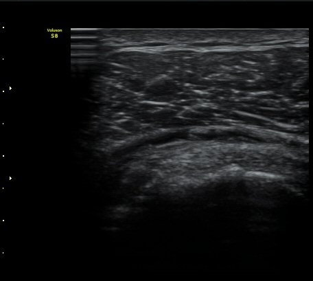
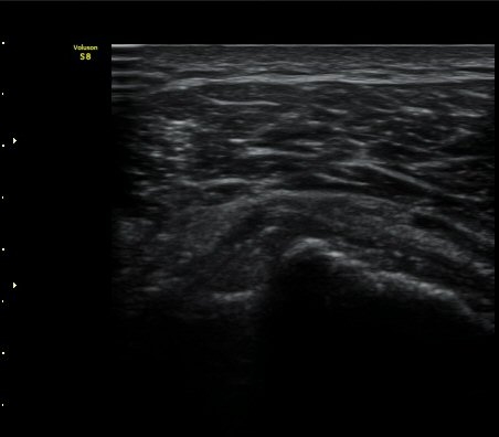
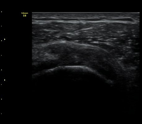
°ß°©ÇÏ±Ù°Ç »óºÎ Á¾´Ü¸é°Ë»ç»ó ¼Ò°áÀýÀÇÇÇÁú°ñÀÇ ºÒ±ÔÄ¢º¯È­¿Í °ß°©ÇÏ±Ù°Ç ¿¬°á¼º ¼Ò½ÇÀÌ
°üÂûµÊ(±×¸² 6, 7).

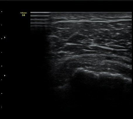
°ß°©ÇÏ±Ù°Ç ÁߺΠȾ´Ü¸é°Ë»ç»ó °ß°©Çã±Ù°ÇÀÌ ¾ã¾ÆÁö°í Á¡¾×³¶³» ¼ö¾×Àú·ù°¡ °üÂûµÊ

(±×¸² 8, 9).

°ß°©ÇÏ±Ù°Ç È¾´Ü¸é°Ë»ç»ó °ß°©ÇÏ±Ù°Ç »óºÎ ½ÉÃþ¿¡¼­ Àú¿¡ÄÚ º¯È­°¡ °üÂûµÊ(±×¸² 10).


´Ü¼ø¹æ»ç¼±°Ë»ç


ÀÚ±â°ø¸í°Ë»ç


Ä¡·á
Áõ½ÄÄ¡·á



 


¾à 4ÁÖ°£ ¾à¹°Ä¡·á·Î Áõ»ó È£ÀüÀ» º¸ÀÌÁö ¾Ê¾Æ Áõ½ÄÄ¡·á¸¦ ½ÃÇàÇÏ¿´´Ù.

±Ø»ó°ÇºÎÂøºÎ´Â ÃÊÀ½ÆÄ À¯µµÇÏ¿¡ °Ç ºÎÂøºÎ¿¡ Áõ½Ä¾×À» ÁÖ»çÇÏ¿´°í(÷ºÎ ÆÄÀÏ µ¿¿µ»ó 1, 2),

¿À±¸µ¹±â¿Í ¼Ò°áÀý °Ç ºÎÂøºÎ¿¡´Â ÃÊÀ½ÆÄ·Î ÁÖ»ç ºÎÀ§ È®ÀÎ ÈÄ Áõ½Ä¾×À» ÁÖ»çÇÏ¿´´Ù.

ÀÌÀü±Û ÃÊÀ½ÆÄÀ¯µµÇÏ Á¾°ñÀÔ¹æ°ñ°üÀý ºÎÇϰ˻翡 µû¸¥ Ä¡·á ¹æÇâ
´ÙÀ½±Û ȸÀü±Ù°³ ÆÄ¿­°ú µ¿¹ÝµÈ ¿À±¸µ¹±âÇÏ Á¡¾×³¶¿°
       
°¡¸ÍÁ¡¸í : ½Ã¸®¾Ç½ºÁ¤ÇüÀÇÇבּ¸È¸
»ç¾÷ÀÚµî·Ï¹øÈ£ : 894-81-00627 | ´ëÇ¥ÀÚ : ÀåµÎÇõ
 
ÁÖ¼Ò : °æ±âµµ ¾çÆò±º ¿ë¹®¸é ¿ë¹®·Î 375-1, 2Ãþ 1È£
TEL : 010-2323-4055
E-mail : cyriax12@naver.com
ÀԱݾȳ»
±¹¹ÎÀºÇà | ½Ã¸®¾Ç½ºÁ¤ÇüÀÇÇבּ¸È¸(ÁÖ)
220401-04-194155