[ÆÈ²ÞÄ¡] ³¶Á¾¿¡ ÀÇÇÑ ¿ä°ñ½Å°æ Èİñ°£½Å°æ °¡Áö ¸¶ºñÀÇ ÃÊÀ½ÆÄ ¼Ò°ß
ÀÛ¼ºÀÚ : °ü¸®ÀÚ(khu3265442@naver.com) ÀÛ¼ºÀÏ : 2014-03-28 Á¶È¸¼ö : 4179
ÆÄÀÏ÷ºÎ :

¼ºº° / ³ªÀÌ
³²ÀÚ /36¼¼


ÁÖÁõ»ó
¿ìÃø ¾öÀÚ¿Í ¼Õ°¡¶ôÀÌ ¾ÈÆìÁü(±â°£ : 3ÀÏ)


º´·Â
¿Ü»ó µî Ưº°ÇÑ ÀÌÀ¯ ¾øÀÌ °©Àڱ⠾öÁö¿Í ¼Õ°¢¶ôÀÌ ÆìÁöÁö ¾Ê¾Æ Ÿ º´¿ø ³»¿øÇÏ¿© ±ÙÀüµµ°Ë»ç ÀÇ·ÚµÊ


ÀÌÇÐÀû °Ë»ç
¼Õ¸ñ ½ÅÀü , ¼Õ°¡¶ô ±¼°î, ¼Õ¸ñ ±¼°î G Á¤µµ, ¾öÁö¿Í ¼Õ°¡¶ô ½ÅÀüÀº T Á¤µµ ±Ù¾àÁõÀ» º¸ÀÓ. °¨°¢ ÀÌ»óÀº ¾øÀ½.


ÃÊÀ½ÆÄ °Ë»ç
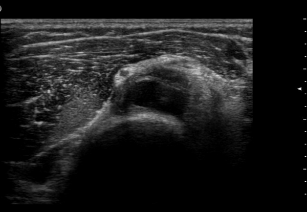
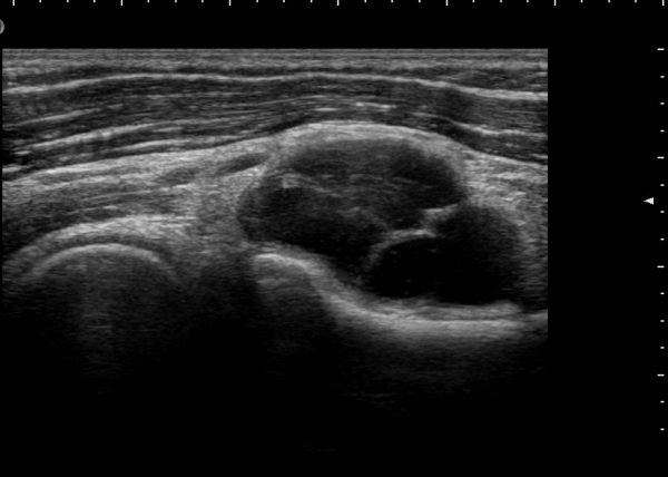
¿ä°ñ½Å°æÀÇ Èİñ°£½Å°æºÐÁö Ⱦ´Ü¸é°Ë»ç¿¡¼­ ¼ÒµÎ Ç¥Ãþ »ó¿Ï±Ù°ú »ó¿Ï¿ä°ñ±Ù »çÀÌ¿¡¼­

½Å°æ ºÐÁö°¡ Àß °üÂûµÈ´Ù(±×¸² 1).

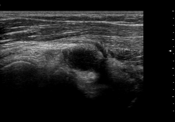
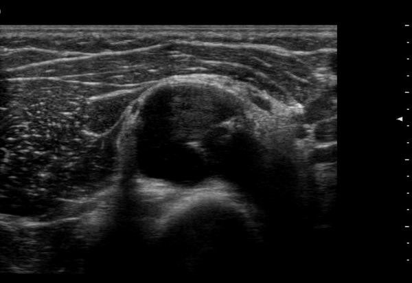
ŽÃËÀÚ¸¦ ¸»´ÜÀ¸·Î À̵¿ÇÏ´Ï ¿ä°ñµÎ ºÎÀ§¿¡¼­ Àú¿¡ÄÚ ³¶Á¾ÀÌ Èİñ°£½Å°æºÐÁö¸¦ Ç¥ÃþÀ¸·Î

ÀüÀ§½Ã۰í ÀÖ´Ù(±×¸² 2, 3,)

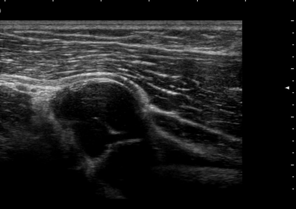
Á¾´Ü¸é°Ë»ç¿¡¼­ Àú¿¡ÄÚ ³¶Á¾ÀÇ Ç¥Ãþ¿¡¼­ Èİñ°£½Å°æºÐÁö°¡ ÀüÀ§µÇ¾î °üÂûµÈ´Ù(±×¸² 4, 5, 6).


´Ü¼ø¹æ»ç¼±°Ë»ç


ÀÚ±â°ø¸í°Ë»ç

±ÙÀüµµ°Ë»ç : ¿ä°ñ½Å°æ Èİñ°£½Å°æºÐÁöÀÇ ½ÉÇÑ ºÒ¿ÏÀü ½Å°æº´Áõ ¼Ò°ß


Ä¡·á
ÀÇ·Ú º´¿øÀ¸·Î ȸ¼Û



 


ÃÊÀ½ÆÄ°Ë»ç´Â ½Å°æº´ÁõÀÇ ¿øÀÎÀ» ±Ô¸íÇϴµ¥ ¸Å¿ì À¯¿ëÇÑ °Ë»çÀÌ´Ù.

ÀÌÀü±Û ±Þ¼º ¼®È¸È­¼º Á¡¾×³¶¿° ÃÊÀ½ÆÄ°Ë»ç ¹× ÁÖ»çÄ¡·á
´ÙÀ½±Û ¿¢½º·¹ÀÌ °Ë»ç·Î Áø´ÜµÇÁö ¾Ê´Â »ó¿Ï°ñµÎ °ß¿­°ñÀýÀÇ ÃÊÀ½ÆÄ Áø´Ü
       
°¡¸ÍÁ¡¸í : ½Ã¸®¾Ç½ºÁ¤ÇüÀÇÇבּ¸È¸
»ç¾÷ÀÚµî·Ï¹øÈ£ : 894-81-00627 | ´ëÇ¥ÀÚ : ÀåµÎÇõ
 
ÁÖ¼Ò : °æ±âµµ ¾çÆò±º ¿ë¹®¸é ¿ë¹®·Î 375-1, 2Ãþ 1È£
TEL : 010-2323-4055
E-mail : cyriax12@naver.com
ÀԱݾȳ»
±¹¹ÎÀºÇà | ½Ã¸®¾Ç½ºÁ¤ÇüÀÇÇבּ¸È¸(ÁÖ)
220401-04-194155