[¹«¸­] ÃÊÀ½ÆÄ À¯µµÇÏ º¹Àç½Å°æ ½½°³°ñÇϰ¡Áö Â÷´Ü¼ú
ÀÛ¼ºÀÚ : °ü¸®ÀÚ(khu3265442@naver.com) ÀÛ¼ºÀÏ : 2014-06-18 Á¶È¸¼ö : 5125
ÆÄÀÏ÷ºÎ : IMG_20140616_1_4.avi IMG_20140616_1_7.avi

¼ºº° / ³ªÀÌ
³²ÀÚ/54


ÁÖÁõ»ó
¿ÞÂÊ ¹«¸­ÀÇ ÅëÁõ(5³â)


º´·Â
½ÉÇÑ ÅðÇ༺ °üÀý¿°À¸·Î Àΰø°üÀýġȯ¼ú ¿¹Á¤


ÀÌÇÐÀû °Ë»ç
°üÀýÀÇ ³»¹Ý ¹× ±¼°î º¯Çü


ÃÊÀ½ÆÄ °Ë»ç
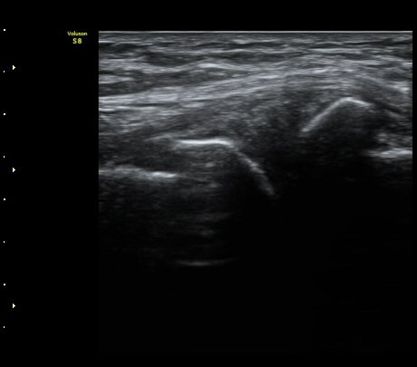
¹«¸­ ³»Ãø Á¾´Ü¸é°Ë»ç»ó ½ÉÇÑ °ñ±Ø°ú ¹Ý¿ù»ó¿¬°ñ Ç¥ÃþÀ¸·Î µ¹ÃâÀÌ °üÂûµÊ(»çÁø 1)

´ëÅð ³»Ãø, ¹«¸­ °üÀý¸é¿¡¼­ ¾à 10 cm ±ÙÀ§ºÎȾ´Ü¸é°Ë»ç¿¡¼­ ³»Ãø±¤±Ù°ú ºÀRHD±Ù(sartorius)
»çÀÌ¿¡¼­ º¹Àç½Å°æÀÌ °í¿¡ÄÚ Å¸¿øÇü ¾ç»óÀ¸·Î °í³ªÂûµÈ´Ù(»çÁø 2).


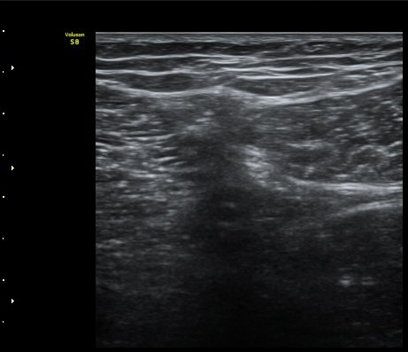
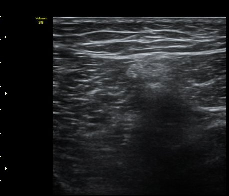
ŽÃËÀÚ¸¦ ¸»´ÜÀ¸·Î À̵¿ÇÏ´Ï º¹Àç½Å°æÀÌ ½½°³°ñÇϰ¡Áö¿Í  ºÀ°ø°¡Áö(sartorial branch)·Î
°¥¶óÁö´Â °ÍÀÌ °üÂûµÇ°í(»çÁø 3, 4, 5) µ¿¿µ»ó È­¸éÀ¸·Î º¸¸é ´õ¿í ¶Ñ·ÈÇÏ´Ù(÷ºÎ ÆÄÀÏ 1)


º¹Àç½Å°æ ½½°³°ñÇϰ¡Áö°¡ È®ÀÎµÈ »óÅ¿¡¼­ ´ëÅð ¾Õ¿¡¼­ ÃÊÀ½ÆÄÀ¯µµÇÏ ½½°³°ñÇϰ¡Áö
Â÷´ÜÀ» ½ÃÇàÇÏ¿´´Ù(÷ºÎ ÆÄÀÏ 2).


´Ü¼ø¹æ»ç¼±°Ë»ç
¤·


ÀÚ±â°ø¸í°Ë»ç
¤·


Ä¡·á
saphenous nerve block with triamcinolone 20mg +1% lidocane 4cc



 


¹«¸­ÀÇ ½ÉÇÑ ÅëÁõ ½Ã º¹Àç½Å°æÀÇ ½½°³°ñÇϰ¡Áö¸¦ ¼±ÅÃÀûÀ¸·Î Â÷´ÜÇϸé

¾Æ·§´Ù¸®ÀÇ °¨°¢ÀúÇÏ µî ºÒÇÊ¿äÇÑ ÇÕº´Áõ ¾øÀÌ ¹«¸­ ÅëÁõ °ü¸®°¡ °¡´ÉÇÏ´Ù.

ÀÌÀü±Û Á¾°ñ»À µÚ Á¡¾×³¶¿° ÃÊÀ½ÆÄ À¯µµÇÏ ÁÖ»çÄ¡·á(sonoguide injection of retrocalcaneal bursitis)
´ÙÀ½±Û ¾î±ú°üÀýÀÇ ÃÊÀ½ÆÄ°Ë»ç ¹× ÁÖ»çÄ¡·á ¿öÅ©¼¥
       
°¡¸ÍÁ¡¸í : ½Ã¸®¾Ç½ºÁ¤ÇüÀÇÇבּ¸È¸
»ç¾÷ÀÚµî·Ï¹øÈ£ : 894-81-00627 | ´ëÇ¥ÀÚ : ÀåµÎÇõ
 
ÁÖ¼Ò : °æ±âµµ ¾çÆò±º ¿ë¹®¸é ¿ë¹®·Î 375-1, 2Ãþ 1È£
TEL : 010-2323-4055
E-mail : cyriax12@naver.com
ÀԱݾȳ»
±¹¹ÎÀºÇà | ½Ã¸®¾Ç½ºÁ¤ÇüÀÇÇבּ¸È¸(ÁÖ)
220401-04-194155