¼ºº° / ³ªÀÌ ¿©ÀÚ/ 41¼¼
ÁÖÁõ»ó ¹ß µÚ²ÞÄ¡ ÅëÁõ(6°³¿ù)
º´·Â °ÉÀ» ¶§ °¡²û µÚ²ÞÄ¡ ÅëÁõÀÌ ¹ß»ýÇÏ°í Æ¯È÷ ¾ÆÄ§¿¡ ½ÉÇÏ´Ù
ÀÌÇÐÀû °Ë»ç ¹ß µÚ²ÞÄ¡¿Í ¾ÆÅ³·¹½º ÈûÁÙ¿¡ ±¹¼ÒÀû ¾ÐÅë
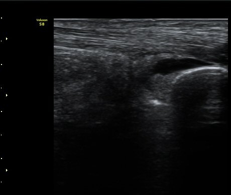
ÃÊÀ½ÆÄ °Ë»ç ÀÌų·¹½º ÈûÁÙ Á¾´Ü¸é°Ë»ç¿¡¼ ¾ÆÅ³·¹½º ÈûÁÙ ½ÉºÎ, Á¾°ñ»À ±ÙÀ§ºÎ¿¡ Ȱ¾×¸· Áõ½Ä°ú
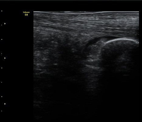
¼ö¾×Àú·ù°¡ °üÂûµÇ°í(±×¸² 1) °ÇÃø°ú ºñ±³Çϸé Â÷À̰¡ ¶Ñ·È´Ù´Ù(±×¸² 2).
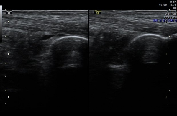
¾ÆÅ³·¹½º ÈûÁÙ Á¾´Ü¸é»ó¿¡¼ ÈûÁÙ Ãø¸éÀ¸·Î Áֻ縦 ½ÃÇàÇÏ°í ¾àÁ¦°¡ º´º¯¿¡ Á¤È®È÷
ÁÖ»çµÇ´Â °ÍÀ» ÃÊÀ½ÆÄ·Î È®ÀÎ(µ¿¿µ»ó)

ÁÖ»ç ÈÄ ÁÖ»ç¾×¿¡ ÀÇÇØ Á¡¾×³¶³» ¼ö¾×ÀÌ Áõ°¡µÈ °ÍÀÌ È®ÀÓ µÊ(±×¸² 3).
´Ü¼ø¹æ»ç¼±°Ë»ç
ÀÚ±â°ø¸í°Ë»ç
Ä¡·á ÃÊÀ½ÆÄ À¯µµÇÏ¿¡ Æ®¸®¾Ï½Ã³î·Ð 10mg ÁÖ»ç
|