[ÆÈ²ÞÄ¡] ¿ä°ñ°üÁõÈıº(radial tunnel syndrome) ÃÊÀ½ÆÄ°Ë»ç ¼Ò°ß
ÀÛ¼ºÀÚ : °ü¸®ÀÚ(khu3265442@naver.com) ÀÛ¼ºÀÏ : 2014-08-09 Á¶È¸¼ö : 4673
ÆÄÀÏ÷ºÎ :

¼ºº° / ³ªÀÌ
¿©ÀÚ/49¼¼


ÁÖ   Áõ  »ó
¿ìÃø ÆÈ²ÞÄ¡ ÅëÁõ(3°³¿ù)


º´       ·Â
Ưº°ÇÑ ÀÌÀ¯ ¾øÀÌ ÆÈ²ÞÄ¡ ÅëÁõÀÌ ¹ß»ýÇÏ¿© Ÿº´¿ø¿¡¼­ Å״Ͻº¿¤º¸¿ì Áø´Ü¹Þ°í
ÆÈ²ÞÄ¡ ¿Ü»óºÎ ÁÖ»çÄ¡·á¿Í ¹°¸®Ä¡·á¸¦ ¹Þ¾ÒÀ¸´Ï Áõ»ó °è¼ÓµÇ¾î ³»¿ø


ÀÌÇÐÀû °Ë»ç
¿Ü»ó°ú¿Í 5cm ¿Ü»ó°ú ¾Æ·¡ ¼Õ¸ñ ½ÅÀü±Ù ±ÙÀ§ºÎ¿¡ ±¹¼ÒÀû ¾ÐÅëÀÌ ÀÖ°í

ÀúÇ׿¡ ´ëÇÑ ¼Õ¸ñ ½ÅÀü°ú ȸ¿Ü ½Ã ¸ðµÎ ÅëÁõÀ» º¸ÀÓ.


ÃÊÀ½ÆÄ °Ë»ç
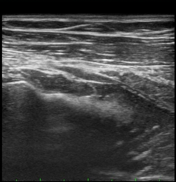
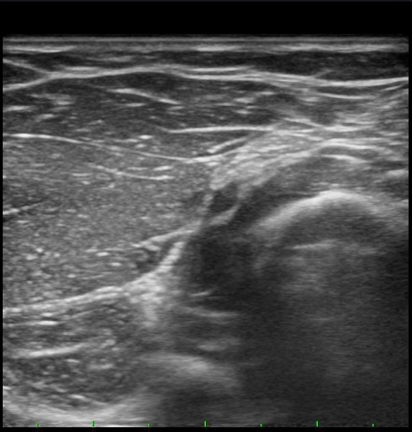
ÆÈ²ÞÄ¡ ¾ÕÂÊ È¾´Ü¸é°Ë»ç¿¡¼­ Èİñ°£½Å°æ(PIN)ÀÌ ¿ä°ñµÎ Àü¹æ¿¡¼­  Á¤»óÀûÀ¸·Î °üÂûµÊ(±×¸² 1).

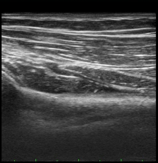
ŽÃËÀÚÀ» ¸»´ÜÀ¸·Î À̵¿ÇÏÀÚ Èİñ°£½Å°æÀÌ È¸¿Ü±Ù ±ÙÀ§ºÎ¿¡¼­ Àú¿¡ÄÚ ºÎÁ¾À» º¸ÀÓ(±×¸² 2).

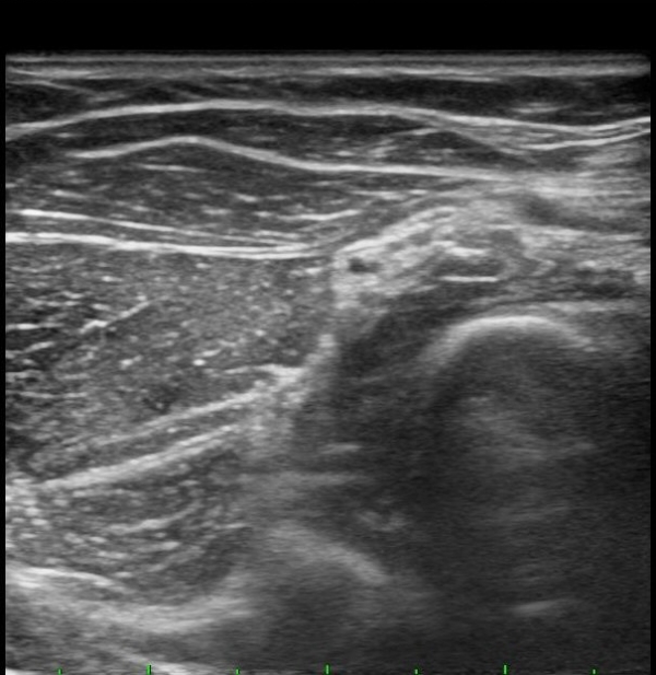
ŽÃËÀÚ¸¦ Á» ´õ ¸»´ÜÀ¸·Î À̵¿ÇÏ´Ï Èİñ°£½Å°æÀÌ È¸¿Ü±Ù ¸»´Ü¿¡¼­ Ç¥ÃþÀ¸·Î ³ª¿À´Â °ÍÀÌ °üÂûµÊ(±×¸² 3).

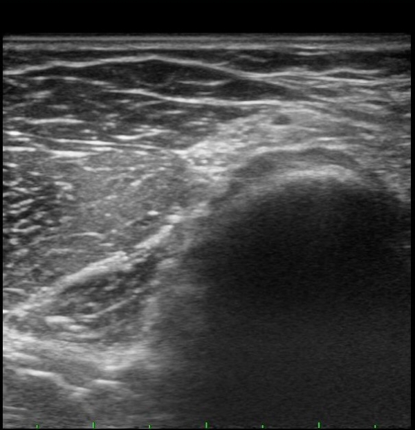
¾Æ·§ÆÈÀ» ȸ³» À§Ä¡¿¡¼­ Èİñ°£½Å°æ Á¾´Ü¸é°Ë»ç¸¦ ½ÃÇàÇÏ´Ï Èİñ°£½Å°æÀÌ µÎ ȸ¿Ü±Ù »çÀÌ¿¡¼­ ¾Ð¹Ú¹Þ°í ȸ¿Ü±Ù ±ÙÀ§ºÎ¿¡¼­ Àú¿¡ÄÚ ºÎÁ¾ÀÌ °üÂûµÊ(±×¸² 4, 5).


´Ü¼ø¹æ»ç¼±°Ë»ç
¤·


ÀÚ±â°ø¸í°Ë»ç
¤·


Ä¡·á
¹°¸®Ä¡·á ÈÄ Ãß½Ã



ÀÌÀü±Û °¥ºñ»À °ñÀý ÃÊÀ½ÆÄ°Ë»ç, Ç÷ÈäÀ» º¸ÀÎ Áõ·Ê
´ÙÀ½±Û ³»Ãø ºñº¹±Ù ÆÄ¿­ ÃÊÀ½ÆÄ °Ë»ç ¹× ÀûÀýÇÑ Ä¡·á
       
°¡¸ÍÁ¡¸í : ½Ã¸®¾Ç½ºÁ¤ÇüÀÇÇבּ¸È¸
»ç¾÷ÀÚµî·Ï¹øÈ£ : 894-81-00627 | ´ëÇ¥ÀÚ : ÀåµÎÇõ
 
ÁÖ¼Ò : °æ±âµµ ¾çÆò±º ¿ë¹®¸é ¿ë¹®·Î 375-1, 2Ãþ 1È£
TEL : 010-2323-4055
E-mail : cyriax12@naver.com
ÀԱݾȳ»
±¹¹ÎÀºÇà | ½Ã¸®¾Ç½ºÁ¤ÇüÀÇÇבּ¸È¸(ÁÖ)
220401-04-194155