[ôÃß] °¥ºñ »À ¹Ì¼¼ °ñÀý ÃÊÀ½ÆÄ ¼Ò°ß 1
ÀÛ¼ºÀÚ : °ü¸®ÀÚ(khu3265442@naver.com) ÀÛ¼ºÀÏ : 2014-10-09 Á¶È¸¼ö : 7742
ÆÄÀÏ÷ºÎ :

¼ºº° / ³ªÀÌ
³²ÀÚ/ 34¼¼


ÁÖÁõ»ó
ÁÂÃø Èä°ûºÎ ÅëÁõ


º´·Â
³»¿ø 2ÀÏ Àü °¡½¿À» °¡º±°Ô ºÎµúÈù ÈÄ °¡½¿ ÅëÁõ ¹ß»ý. ¿ô°Å³ª ±âħÀ» Çϸé ÅëÁõ ½ÉÇØÁü


ÀÌÇÐÀû °Ë»ç
ÁÂÃø »óºÎ Èä°ûºÎ¿¡ ¾ÐÅëÀ» º¸ÀÓ


ÃÊÀ½ÆÄ °Ë»ç
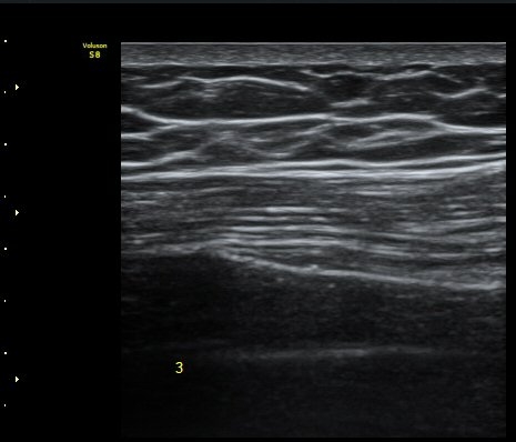
¹Ì¼¼ÇÏ°Ô °¥ºñ»À ÇÇÁú°ñ ¿¬°á¼º ¼Ò½Ç°ú ¿¬ºÎÁ¶Á÷ ºÎÁ¾ÀÌ °üÂûµÊ(loss of cortical continuity and soft tissue swellingof rib)   »çÁø 1, 2, 3


3, 4,, 5 ¹øÂ° °¥ºñ»À °ñÀýÀÌ È®ÀεÊ.


ÇÑ´Þ ÈÄ ÃßÀû°Ë»ç

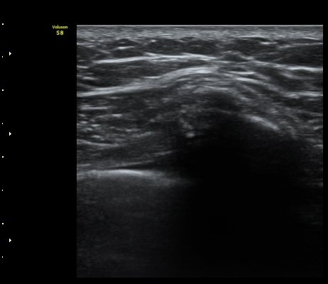
Á¾´Ü¸é°Ë»ç¿¡¼­ °¡°ñ Çü¼ºÀÌ °üÂûµÊ(formation of callus)   »çÁø 3

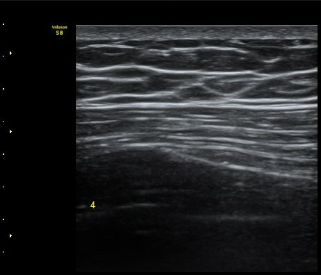
°¥ºñ»À Ⱦ´Ü¸é°Ë»ç¿¡¼­ °¡°ñ Çü¼ºÀÌ °üÂûµÊ(formation of callus)  »çÁø 4


´Ü¼ø¹æ»ç¼±°Ë»ç


ÀÚ±â°ø¸í°Ë»ç


Ä¡·á
Åõ¾à



 


¹æ»ç¼±°Ë»ç¿¡¼­´Â ³ªÅ¸³ªÁö ¾ÊÁö¸¸,

ÃÊÀ½ÆÄ °Ë»ç¸¦ ½ÃÇàÇØ º¸¸é µÎ°³ ÀÌ»ó °ñÀýÀÌ È®ÀεǴ °æ¿ìµµ ÈçÇÏ´Ù.

°¥ºñ»ÀÀÇ ¹Ì¼¼°ñÀýÀº ´Ü¼ø¹æ»ç¼±ÃÔ¿µ¿¡¼­ º¸ÀÌÁö ¾Ê´Â´Ù. º» Áõ·Ê¿¡¼­ ¿¢½º·¹À̰˻翡¼­´Â °ñÀýÀÌ È®ÀεÇÁö ¾Ê¾ÒÁö¸¸

ÃÊÀ½ÆÄ°Ë»ç¿¡¼­´Â °¥ºñ»À 3°³ÀÇ ¹Ì¼¼ °ñÀýÀÌ È®ÀεǾú´Ù.

¹æ»ç¼±ÃÔ¿µÀ¸·Î º¸ÀÌÁö ¾Ê´Â °ñÀýÀ» È®ÀÎÇϱâ À§Çؼ­´Â ÄÄÇ»ÅÍÃÔ¿µÀ̳ª µ¿À§¿ø¼Ò°Ë»ç¸¦
½ÃÇàÇØ¾ß ÇÏÁö¸¸ °Ë»çºñ¿ëÀÌ ¸¹À̵é°í °Ë»ç°¡ ¹ø°Å·Î¿ì¸ç ¹Ì¼¼°ñÀýÀº ÄÄÇ»ÅÍÃÔ¿µ¿¡¼­µµ
³ªÅ¸³ªÁö ¾ÊÀ» °¡´É¼º ³ô´Ù.
ÃÊÀ½ÆÄ°Ë»ç´Â °£ÆíÇÏ°Ô ÁøÂû½Ç¿¡¼­ ½ÃÇàÇÒ ¼ö ÀÖ°í ¸Å¿ì ÀÛÀº ¹Ì¼¼°ñÀýµµ È®ÀÎÇÒ ¼ö ÀÖ¾î
¸Å¿ì Æí¸®Çϰí Á¤È®ÇÑ °Ë»ç´Ù.
¾î¶² »ç¶÷µéÀº °¥ºñ»À °ñÀýÀ» Áø´ÜÇØµµ ¾î¼ÇÇ ¾à¸Ô°í ±â´Ù¸®´Âµ¥ ¹«¾úÇÏ·¯ µ·µé¿©¼­ °Ë»ç¸¦
Çϳİí Àǹ®À» Á¦±âÇÑ´Ù.
±×·¯³ª ´ÙÃļ­ °¥ºñ»À°¡ ¾ÆÇÁ°í ¼ûÀ» ½¯ ¶§¸¶´Ù ¿ï·Á¼­ ¹æ»ç¼±°Ë»ç¸¦ ¹Þ¾Ò´Âµ¥ ÃÔ¿µ¿¡¼­´Â ÀÌ»ó ¼Ò°ßÀÌ
¾ø´Ù°íÇϴµ¥ ÅëÁõÀº ÇÑ´Þ °¡·® °è¼ÓµÇ¸é ȯÀÚ°¡ ºÒ¾ÈÇØÇÑ´Ù. ȯÀÚ´Â ³Ê¹« ¿À·¡ °¡´Â
ÅëÁõ ¶§¹®¿¡ Ȥ½Ã ³»ºÎ Àå±âÀÇ ÀÌ»óÀÌ ¾Æ´Ñ°¡ ÇØ¼­ ³»°ú °Ë»ç¸¦ ¹Þ´Â °æ¿ìµµ ÈçÇÏ´Ù.
ÃÊÀ½ÆÄ°Ë»ç¸¦ ½ÃÇàÇÏ¿© °¥ºñ»À °ñÀýÀÌ È®ÀεǴ ȯÀÚ´Â ¾È½ÉÇϰí ÇÑ´Þ°£ °ñÀý À¯ÇÕÀ» ±â´Ù¸±
¼ö ÀÖ´Ù.


[Ãâó] CYRIAX Á¤ÇüÀÇÇבּ¸È¸

http://cyriax12.hosting2003.co.kr/sub03-02.php?ptype=view&idx=5826&page=5&code=dataroom02

ÀÌÀü±Û °¥ºñ »À ¹Ì¼¼ °ñÀý ÃÊÀ½ÆÄ ¼Ò°ß 2
´ÙÀ½±Û °¥ºñ»À °ñÀý ÃÊÀ½ÆÄ°Ë»ç, Ç÷ÈäÀ» º¸ÀÎ Áõ·Ê
       
°¡¸ÍÁ¡¸í : ½Ã¸®¾Ç½ºÁ¤ÇüÀÇÇבּ¸È¸
»ç¾÷ÀÚµî·Ï¹øÈ£ : 894-81-00627 | ´ëÇ¥ÀÚ : ÀåµÎÇõ
 
ÁÖ¼Ò : °æ±âµµ ¾çÆò±º ¿ë¹®¸é ¿ë¹®·Î 375-1, 2Ãþ 1È£
TEL : 010-2323-4055
E-mail : cyriax12@naver.com
ÀԱݾȳ»
±¹¹ÎÀºÇà | ½Ã¸®¾Ç½ºÁ¤ÇüÀÇÇבּ¸È¸(ÁÖ)
220401-04-194155