[¾î±ú] ´ë°áÀý °ß¿­°ñÀý ÃÊÀ½ÆÄ¼Ò°ß(sonographic findings of avulsion fracture of greater tuberosity)
ÀÛ¼ºÀÚ : °ü¸®ÀÚ(khu3265442@naver.com) ÀÛ¼ºÀÏ : 2014-10-13 Á¶È¸¼ö : 9684
ÆÄÀÏ÷ºÎ : x-ray.docx

¼ºº° / ³ªÀÌ
³²ÀÚ/33


ÁÖÁõ»ó
¿ÞÂÊ ¾î±úÀÇ ÅëÁõ°ú ¾È¿Ã¶ó°¨(houlder pain with flexion difficulty)


º´·Â
3ÀÏÀü ³Ñ¾îÁö¸é¼­ ¾î±ú¸¦ ¹Ù´Ú¿¡ ºÎµúÈù ÈÄ Áõ»ó ¹ß»ý


ÀÌÇÐÀû °Ë»ç
´Éµ¿Àû ±¼°î 70µµ, ÀúÇ׿¡ ´ëÇÑ ¿ÜÀü°ú ¿ÜȸÀü ½Ã ÅëÁõ°ú ±Ù¾àÁõÀ» º¸ÀÓ.


ÃÊÀ½ÆÄ °Ë»ç
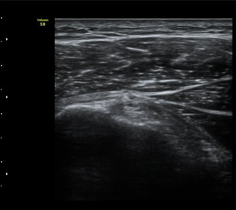
ÀÌµÎ¹Ú±Ù°Ç È¾´Ü¸é°Ë»ç¿¡¼­ ƯÀÌ ¼Ò°ßÀ» º¸ÀÌÁö ¾ÊÀ½(»çÁø 1, 2).

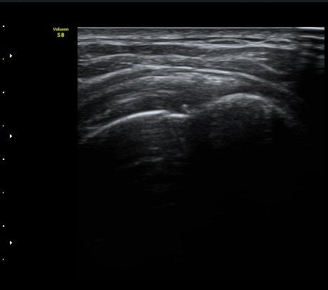
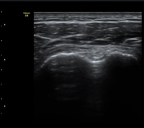
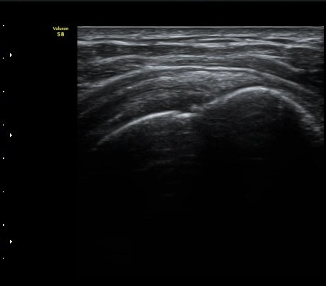
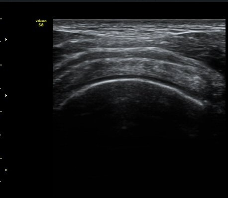
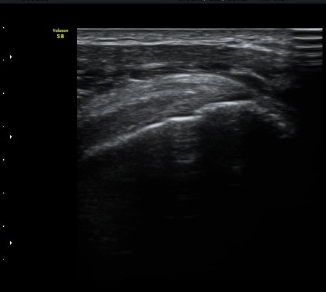
±Ø»ó°Ç Á¾´Ü¸é°Ë»ç¿¡¼­ ´ë°áÀý°ú »ó¿Ï°ñµÎ ÀÌÇàºÎÀ§¿¡ ÇÇÁú°ñ ¿¬¼Ó¼º ¼Ò½ÇÀ» º¸ÀÓ(±×¸² 3, 4, 5)

±Ø»ó°Ç ±ÙÀ§ºÎ Ⱦ´Ü¸é°Ë»ç¿¡¼­ Á¡¾×³¶ÀÇ °æ¹ÌÇÑ ºÎÁ¾ ¿Ü¿¡ ƯÀÌ ¼Ò°ßÀ» º¸ÀÌÁö ¾ÊÀ½(±×¸² 6).

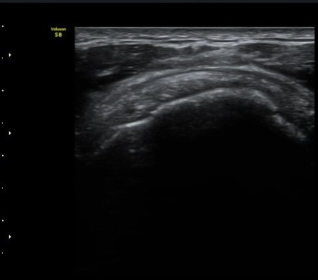
±Ø»ó°Ç ¿øÀ§ºÎ Ⱦ´Ü¸é°Ë»ç¿¡¼­ ´ë°áÀý°ú »ó¿Ï°ñµÎ ÀÌÇàºÎÀ§¿¡ ÇÇÁú°ñ ¿¬¼Ó¼º ¼Ò½ÇÀ» º¸ÀÓ(±×¸² 7).


´Ü¼ø¹æ»ç¼±°Ë»ç
ƯÀÌ ¼Ò°ß ¾øÀ½, ÁÖÀÇ ±í°Ô °üÂûÇÏ¸é ´ë°áÀýÀÌ ¾à°£ ±æ¾îÁø(´Ã¾î³­) ´À³¦(÷ºÎ ÆÄÀÏ)


ÀÚ±â°ø¸í°Ë»ç
´ë°áÀý °ß¿­°ñÀý¿¡ ÀÏÄ¡ÇÏ´Â ¼Ò°ß(»çÁø 8, 9)


Ä¡·á
ÆÈ°ÉÀÌ(ÈÞ½Ä)¿Í Åõ¾à



 


 

2049205267_rSTmGWFU_MR185231216.jpg

2049205267_dNRTE6mr_MR185233265.jpg

´ë°áÀýÀÇ ¹Ì¼¼ÇÑ °ß¿­°ñÀýÀº ¹æ»ç¼±°Ë»ç¿¡¼­ È®ÀεÇÁö ¾Ê´Â´Ù.

±×·¯³ª ¼÷·ÃµÈ Àǻ簡 ½ÃÇàÇÏ´Â ÃÊÀ½ÆÄ°Ë»ç¿¡¼­´Â °ñÀýÀ» È®ÀÎÇÒ ¼ö ÀÖ´Ù.

ÃÊÀ½ÆÄ°Ë»ç¿¡¼­ °ñÀý ¿©ºÎ°¡ ¾Ö¸ÅÇÑ °æ¿ì¿¡´Â ÄÄÇ»ÅÍ ÃÔ¿µÀ̳ª ÀÚ±â°ø¸í°Ë»ç·Î °ñÀýÀ» È®ÀÎ ÇÒ ¼ö

ÀÖÁö¸¸ ¹ø°Å·Ó°í ºñ¿ëÀÌ ¸¹À̵ç´Ù.

º» ȯÀÚÀÇ °æ¿ì ÃÊÀ½ÆÄ°Ë»ç·Î Á¶±â¿¡ °ñÀýÀ» È®ÀÎÇϰí ÀûÀýÇÑ Ä¡·á¸¦ ½ÃÇàÇÑ °á°ú

¼ö»ó ÈÄ 4ÁÖ°æ ´Éµ¿Àû ±¼°î 130µµ, 8ÁÖ ÈÄ 160µµ·Î È£ÀüµÇ¾ú´Ù.

ÀÌÀü±Û ¿Ü»ó ÈÄ È¸Àü±Ù°³ ÆÄ¿­ ¾ÇÈ­¿¡ ÈñÇØ ¾î±ú°¡ ¾È¿Ã¶ó°¡´Â °æ¿ì
´ÙÀ½±Û ±Ø»ó°Ç(ȸÀü±Ù°³) ±Þ¼º±â ÆÄ¿­ Áõ»ó ¹× ÃÊÀ½ÆÄ°Ë»ç ¼Ò°ß(sonographic findings and symptom of acute rotator cuff tear)
       
°¡¸ÍÁ¡¸í : ½Ã¸®¾Ç½ºÁ¤ÇüÀÇÇבּ¸È¸
»ç¾÷ÀÚµî·Ï¹øÈ£ : 894-81-00627 | ´ëÇ¥ÀÚ : ÀåµÎÇõ
 
ÁÖ¼Ò : °æ±âµµ ¾çÆò±º ¿ë¹®¸é ¿ë¹®·Î 375-1, 2Ãþ 1È£
TEL : 010-2323-4055
E-mail : cyriax12@naver.com
ÀԱݾȳ»
±¹¹ÎÀºÇà | ½Ã¸®¾Ç½ºÁ¤ÇüÀÇÇבּ¸È¸(ÁÖ)
220401-04-194155