[¾î±ú] ¾î²² °üÀý Å»±¸¿¡ ÀÇÇÑ È¸Àü±Ù°³ ÆÄ¿­·Î ¾î±ú¸¦ ¸ø ¿Ã¸®´Â Áõ·Ê
ÀÛ¼ºÀÚ : °ü¸®ÀÚ(khu3265442@naver.com) ÀÛ¼ºÀÏ : 2014-10-16 Á¶È¸¼ö : 9687
ÆÄÀÏ÷ºÎ : [mix][mix]ssp1.avi [mix][mix]ssp tear1307-2.avi MR.hwp

¼ºº° / ³ªÀÌ
³²ÀÚ/53¼¼


ÁÖÁõ»ó
¿À¸¥ÂÊ ¾î±ú¸¦ ¿Ã¸®Áö ¸øÇÔ(1°³¿ù)


º´·Â
1°³¿ù Àü ³Ñ¾îÁ® ¾î±ú¸¦ ºÎµúÇô ¾î±ú°¡ Å»±¸µÇ¾î ÀÀ±Þ½Ç¿¡¼­ Á¤º¹ ÈÄ ¾î±ú¸¦ ¿Ã¸®Áö ¸øÇÔ


ÀÌÇÐÀû °Ë»ç
´Éµ¿Àû ¾î±ú ±¼°î 30µµ, ÀúÇ׿¡ ´ëÇÑ ¿ÜÀü°ú ³»È¸Àü¿¡ ½ÉÇÑ ±Ù¾àÁõÀ» º¸ÀÓ.
ÀúÇ׿¡ ´ëÇÑ ¿ÜȸÀü¿¡ ÅëÁõÀ» º¸ÀÓ. ¼öµ¿Àû ¾î±ú ±¼°îÀº Á¤»ó¹üÀ§ ¸»´Ü¿¡¼­ ÅëÁõÀ» º¸ÀÓ


ÃÊÀ½ÆÄ °Ë»ç
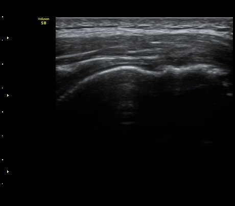
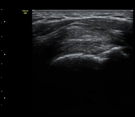
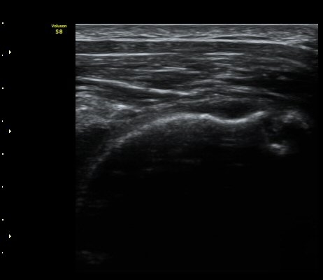
±Ø»ó°Ç Á¾´Ü¸é°Ë»ç¿¡¼­ ±Ø»ó°Ç ³»Ãø°ú ¿ÜÃø¿¡¼­ ÀüÃþÆÄ¿­ ¼Ò°ßÀ» º¸ÀÓ(½ÃÁø 1, 2).

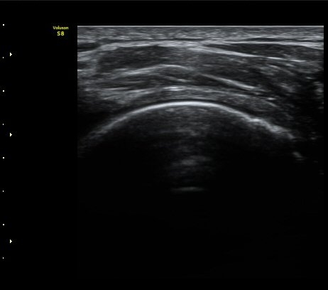
±ØÇ졂 Á¾´Ü¸é°Ë»ç¿¡¼­ ±ØÇϰÇÀº ºñ±³Àû Á¤»ó ¼Ò°ßÀ» À¯ÁöÇÔ(»çÁø 3).
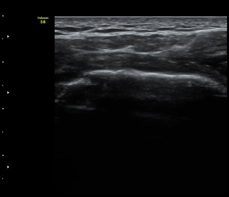
±Ø»ó°ÇȾ´Ü¸é°Ë»ç¿¡¼­ ±Ø»ó°ÇÀÇ ±¤¹üÀ§ÆÄ¿­ ¼Ò°ßÀ» º¸ÀÓ(»çÁø 4)
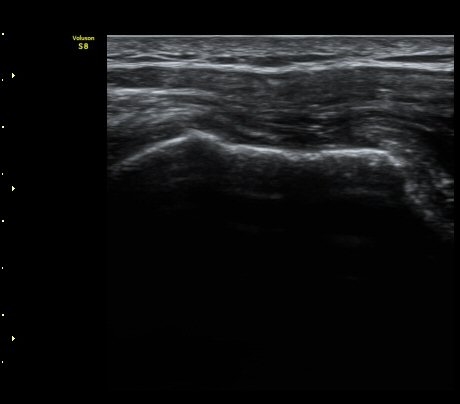
°ß°©ÇÏ±Ù°Ç Á¾´Ü¸é°Ë»ç¿Í Ⱦ´Ü¸é°Ë»ç¿¡¼­ °ß°©ÇϱٰÇÀÇ ÀüÃþÆÄ¿­ ¼Ò°ßÀ» º¸ÀÓ(»çÁø 5, 6)


´Ü¼ø¹æ»ç¼±°Ë»ç
¤·


ÀÚ±â°ø¸í°Ë»ç
±Ø»ó°Ç°ú °ß°©ÇϱٰÇÀÇ ±¤¹üÀ§ ÀüÃþÆÄ¿­¸¦ º¸ÀÓ(÷ºÎ ÆÄÀÏ 3)


Ä¡·á
Á¡¾×³¶³» ÁÖ»çÄ¡·á, ÇÁ·Ñ·ÎÄ¡·á, PRP Ä¡·á



 


¾î±ú¸¦ ´ÙÄ£ ÈÄ ¾î±ú¸¦ ¿Ã¸± ¼ö ¾ø´Â ¿øÀÎÀÇ Çϳª°¡ ±Ø»ó°ÇÆÄ¿­ÀÌ´Ù.


º» Áõ·ÊÀÇ °æ¿ì ±Ø»ó°ÇÀÇ ±¤¹üÀ§ ÆÄ¿­·Î ¾î±ú¸¦ ¿Ã¸± ¼ö ¾ø¾î¼­ ½Ä»ç¸¦ ÇÒ ¶§ ´Ù¸¥ ÆÈ·Î ¸ø ¿Ã¸®´Â ÆÈÀ»
¹ÞÈ÷°í ¼ý°¡¶ôÀ̳ª Á£°¡¶ôÀ» »ç¿ëÇØ¿© Çß´Ù.
÷ºÎ ÆÄÀÏ 1)À» º¸¸é ¾î±ú¸¦ ¿Ã¸± ¶§ ±Ø»ó°ÇÀÌ ±â´ÉÀ» ÇÏÁö ¸øÇϹǷΠ´ë°áÀýÀÌ °ßºÀ¾Æ·¡·Î µ¹¾Æ¼­
À̵¿ÇÏÁö ¸øÇÏ´Â ¿µ»óÀ» º¸¿©ÁØ´Ù. 
¾ÆÇ ÆÈ·Î ¹°ÀÜÀ» µé°Å³ª ¹°À» µû¸¦ ¼öµµ ¾ø¾ú´Ù. ÀÌ·± Áõ»óÀº Ä¡·á ÈÄ¿¡µµ 6°³¿ù°£ °è¼ÓµÇ¾ú´Ù.


¼ö»ó ÈÄ Ãʱ⿡´Â ÅëÁõ Á¶ÀýÀ» À§ÇØ Á¡¾×³¶³» ½ºÅ×·ÎÀ̵å ÁÖ»çÄ¡·á¸¦ ½ÃÇàÇÏ¿´°í,
ÅëÁõÀÌ ¾î´À Á¤µµ °¨°¨µÈ ÈÄ¿¡ Áõ½ÄÄ¡·á 1ȸ, prpÄ¡·á 3ȸ¸¦ ½ÃÇàÇÏ¿´´Ù.
¼ö»ó ÈÄ Ãʱ⠺ÎÅÍ °üÀý°¡µ¿¹üÀ§À¯Áö¿Í  °ß°©°ñ¾ÈÁ¤È­¿îµ¿, ±ØÇϰǰ­È­¿îµ¿À» ½ÃÇàÇÏ¿´´Ù.


´ÙÄ¡°í 6°³¿ù Á¤µµ °æ°úÇÑ ÈÄ ¾î±ú¸¦ µé ¼ö ÀÖ¾ù°í, ´Ù¸¥ ÆÈÀÇ µµ¿ò ¾øÀÌ ½Ä»ç¸¦ Çϰųª °¡º­¿î ¹°°ÇÀ»
µå´Â µî ÀÏ»ó»ýȰ°ú º»ÀÎÀÇ Á÷¾÷À» À¯ÁöÇϴµ¥ Å« ºÒÆíÀÌ ¾ø¾ú´Ù.
÷ºÎÆÄÀÏ 2)¿¡¼­ ¾î±ú¸¦ ¿Ã¸± ¶§ ´ë°áÀýÀÌ °ßºÀ¾Æ·¡·Î ȸÀüÇÏ¿© À̵¿ÇÏ´Â ½Ç½Ã°£ÀûÀÎ µ¿¿µ»óÀ» º¸¿©ÁÖ°í ÀÖ´Ù.


±Ø»ó°ÇÀÇ ½ÉÇÑ ÆÄ¿­ÀÌ ¹ß»ýÇÑ °æ¿ì¿¡´Â ´ë°áÀýÀ» ȸÀü½ÃŰ´Â ±Ø»ó°ÇÀÇ ±â´ÉÀÌ ¼Ò½ÇµÇ¾î ¾î±ú¸¦
¿Ã¸± ¼ö ¾øÁö¸¸ ´ëºÎºÐÀÇ ÆÄ¿­Àº ÀûÀýÇÑ Ä¡·á¸¦ ½ÃÇØÇÏ¸é ¾î±ú¸¦ ¿Ã¸± ¼ö ÀÖ´Ù.


º» Áõ·ÊÀÇ °æ¿ì¿¡µµ ½ÉÇÑ ±¤¹üÀ§ ±Ø»ó°ÇÆÄ¿­ÀÓ¿¡µµ Ä¡·á ÈÄ ¾î±ú°¡ Àß ¿Ã¶ó°¨À» º¸¿©ÁÖ°í ÀÖ´Ù.

ÀÌÀü±Û ȸÀü±Ù°³ ÆÄ¿­ ¼ö¼ú ÈÄ ÀçÆÄ¿­ µÈ ÃÊÀ½ÆÄ ¼Ò°ß, Ä¡·á ÈÄ °æ°ú
´ÙÀ½±Û ¿Ü»ó ÈÄ È¸Àü±Ù°³ ÆÄ¿­ ¾ÇÈ­¿¡ ÈñÇØ ¾î±ú°¡ ¾È¿Ã¶ó°¡´Â °æ¿ì
       
°¡¸ÍÁ¡¸í : ½Ã¸®¾Ç½ºÁ¤ÇüÀÇÇבּ¸È¸
»ç¾÷ÀÚµî·Ï¹øÈ£ : 894-81-00627 | ´ëÇ¥ÀÚ : ÀåµÎÇõ
 
ÁÖ¼Ò : °æ±âµµ ¾çÆò±º ¿ë¹®¸é ¿ë¹®·Î 375-1, 2Ãþ 1È£
TEL : 010-2323-4055
E-mail : cyriax12@naver.com
ÀԱݾȳ»
±¹¹ÎÀºÇà | ½Ã¸®¾Ç½ºÁ¤ÇüÀÇÇבּ¸È¸(ÁÖ)
220401-04-194155