[ÆÈ²ÞÄ¡] ¿ä°ñ½Å°æ Èİñ°£½Å°æ°¡Áö ¸¶ºñ(PN of posterior interosseous branch of radial nerve)
ÀÛ¼ºÀÚ : °ü¸®ÀÚ(khu3265442@naver.com) ÀÛ¼ºÀÏ : 2014-12-15 Á¶È¸¼ö : 5024
ÆÄÀÏ÷ºÎ :

¼ºº° / ³ªÀÌ
³²ÀÚ/77¼¼


ÁÖÁõ»ó
2, 3, 4 ¼Õ°¡¶ôÀÌ ÆìÁöÁö ¾ÊÀ½(±â°£ 4°³¿ù)


º´·Â
¶Ñ·ÇÇÑ ÀÌÀ¯ ¾øÀÌ Ã³À½¿¡ µÎ ¹øÂ° ¼Õ°¡¶ô ÈûÀÌ ¾ø´Ù°¡ Á¡Á¡ ´Ù¸¥ ¼Õ°¡¶ô±îÁö ½ÉÇØÁö°í ÆìÁöÁö ¾ÊÀ½.


ÀÌÇÐÀû °Ë»ç
2, 4, 5 ¼Õ°¡¶ô ½ÅÀü : Zero(0), 3¹øÂ° ¼Õ°¡¶ô ½ÅÀü : Fair(3)


ÃÊÀ½ÆÄ °Ë»ç
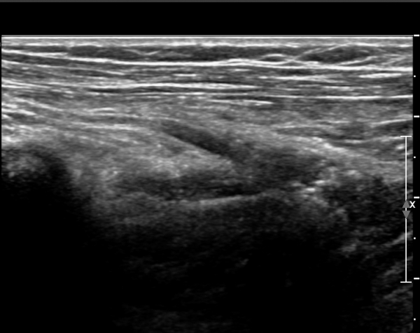
¼ÒµÎ(capitulum) À§Ä¡¿¡¼­ Èİñ°£½Å°æ Ⱦ´Ü¸é°Ë»ç»ó Èİñ°£½Å°æÀÌ Àú¿¡ÄÚ ÀÛÀº ¿øÇüÀ¸·Î
°üÂûµÈ´Ù(»çÁø 1)
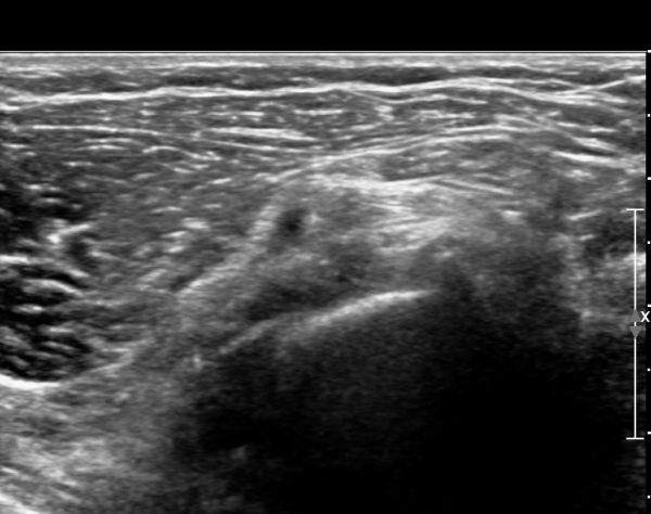
¿ä°ñ ¸ñ ºÎÀ§¿¡¼­ Èİñ°£½Å°æ Ⱦ´Ü¸é°Ë»ç»ó Èİñ°£½Å°æÀÇ Àú¿¡ÄÚ ºÎÁ¾ÀÌ °üÂûµÈ´Ù(»çÁø 2).
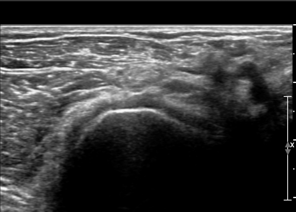
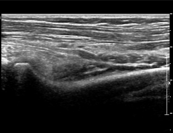
¾Æ·§ÆÈÀ» ȸ³»ÇÑ »óÅ¿¡¼­ Èİñ°£½Å°ßÁ¾´Ü¸é°Ë»ç»ó ȸ¿Ü±Ù ±ÙÀ§ºÎ¿¡¼­ Èİñ°£½Å°æÀÇ Àú¿¡ÄÚ
ºÎÁ¾ÀÌ °üÂûµÈ´Ù(»çÁø 3, 4).


´Ü¼ø¹æ»ç¼±°Ë»ç
½ÃÇàÇÏÁö ¾ÊÀ½


ÀÚ±â°ø¸í°Ë»ç
±ÙÀüµµ°Ë»ç : Èİñ°£½Å°æ º´Áõ(ÁßÁß)


Ä¡·á
Àü¿ø





Èİñ°£ ½Å°æÀº ´Ù¾çÇÑ ¿øÀÎÀ¸·Î ¼Õ»ó ¹ÞÀ» ¼ö Àִµ¥(÷ºÎ »çÁø 5) °¡Àå ÈçÇÑ ¿øÀÎÀº

°áÀýÁ¾, ȸ¿Ü±Ù±ÙÀ§ºÎ ¼¶À¯¶ì, ¹Ýº¹ÀûÀΠȸ³»¿Í ȸ¿Ü¿îµ¿¿¡ ÀÇÇÑ È¸¿Ü±ÙÀÇ ºÎÁ¾ µîÀÌ´Ù.

º» Áõ·Ê¿¡¼­´Â ȸ¿Ü±Ù Ç¥Ãþ±ÙÀÇ ±ÙÀ§ºÎ ¼¶À¯¶ì¿¡ ÀÇÇÑ ¾Ð¹ÚÀ¸·Î ÃßÁ¤µÈ´Ù.

º» Áõ·Ê¿¡¼­¿Í °°ÀÌ ÃÊÀ½ÆÄ°Ë»ç´Â ¸»ÃÊ½Å°æ ¸¶ºñÀÇ ¿øÀÎÀ» È®ÀÎÇÏ´Â À¯¿ëÇÑ Áø´Ü µµ±¸ÀÌ´Ù.

ÀÌÀü±Û ¼Õ¹Ù´Ú Á¾±«¿¡ ÀÇÇÑ Ã´°ñ½Å°æ ½ÉºÎ°¡Áö ¸¶ºñ
´ÙÀ½±Û ȸÀü±Ù°³ ÆÄ¿­ ¼ö¼ú ÈÄ ÀçÆÄ¿­ µÈ ÃÊÀ½ÆÄ ¼Ò°ß, Ä¡·á ÈÄ °æ°ú
       
°¡¸ÍÁ¡¸í : ½Ã¸®¾Ç½ºÁ¤ÇüÀÇÇבּ¸È¸
»ç¾÷ÀÚµî·Ï¹øÈ£ : 894-81-00627 | ´ëÇ¥ÀÚ : ÀåµÎÇõ
 
ÁÖ¼Ò : °æ±âµµ ¾çÆò±º ¿ë¹®¸é ¿ë¹®·Î 375-1, 2Ãþ 1È£
TEL : 010-2323-4055
E-mail : cyriax12@naver.com
ÀԱݾȳ»
±¹¹ÎÀºÇà | ½Ã¸®¾Ç½ºÁ¤ÇüÀÇÇבּ¸È¸(ÁÖ)
220401-04-194155