[¼Õ¸ñ] ¼Õ¹Ù´Ú Á¾±«¿¡ ÀÇÇÑ ¼ö±Ù°üÁõÈıº À¯»çÇÑ Áõ»óÀ» º¸ÀÌ´Â Áõ·Ê
ÀÛ¼ºÀÚ : °ü¸®ÀÚ(khu3265442@naver.com) ÀÛ¼ºÀÏ : 2014-12-25 Á¶È¸¼ö : 4151
ÆÄÀÏ÷ºÎ :

¼ºº° / ³ªÀÌ
³²ÀÚ / 48¼¼


ÁÖÁõ»ó
¿ìÃø µÎ¹øÂ° ¼Õ°¡¶ôÀÇ Àú¸²(±â°£ : 1ÁÖ)


º´·Â
Ưº°ÇÑ ÀÌÀ¯ ¾øÀÌ 1ÁÖÀü ºÎÅÍ µÎ¹øÂ° ¼Õ°¡¶ôÀÌ Àú¸².


ÀÌÇÐÀû °Ë»ç
¹«Áö ¿ÜÀü±ÙÀÌ Gµî±ÞÀÇ ±Ù¾àÁõÀ» º¸ÀÌ°í µÎ¹øÂ° ¼Õ°¡¶ô °¨°¢ °¨¼Ò¸¦ º¸ÀÓ.


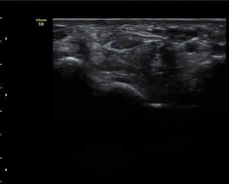
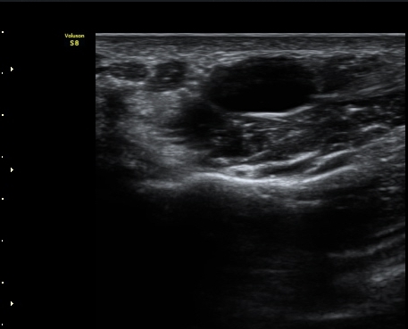
ÃÊÀ½ÆÄ °Ë»ç
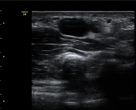
¼Õ¸ñ(lunate ±âÁØ)°ú ¼ö±Ù°ü ±ÙÀ§ºÎ(scaphoid ±âÁØ) Á¤Á߽Űæ Ⱦ´Ü¸é°Ë»ç¿¡¼­ Á¤»óÀûÀÎ
¸ð¾çÀ¸·Î °üÂûµÈ´Ù(±×¸² 1, 2).


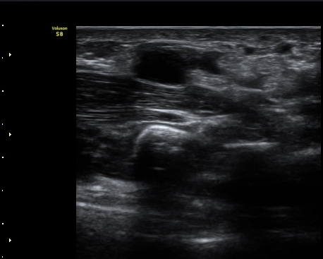
¼ö±Ù°ü¸»´Ü(trapezium ±âÁØ) Á¤Á߽Űæ Ⱦ´Ü¸é°Ë»ç¿¡¼­ Á¤Á߽ŰæÀÇ Àú¿¡ÄÚ ºÎÁ¾ÀÌ °üÂûµÈ´Ù(±×¸² 3)


ÀÌ´Â Åë»óÀûÀÎ ¼ö±Ù°üÁõÈıº¿¡¼­ º¸ÀÌ´Â ¾ç»ó°ú ´Ù¸¥ ¸ð½ÀÀÌ´Ù.

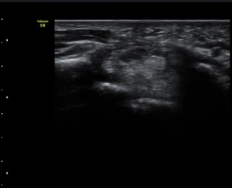
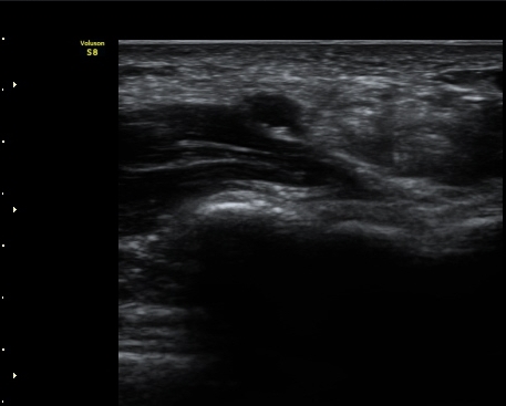
ŽÃËÀÚ¸¦ Á¶±Ý ´õ ¸»´ÜÀ¸·Î À̵¿ÇÏ´Ï Á¤Áß½Å°æ ½ÉºÎ¿¡ Àú¿¡ÄÚ ³¶Á¾ÀÌ °üÂûµÇ°í(»çÁø 4),


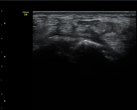
³¶Á¾ÀÌ Á¤Áß½Å°æ ¼öÁö °¡Áö¸¦ ¾Ð¹ÚÇÏ´Â ¸ð½ÀÀÌ °üÂûµÈ´Ù(»çÁø 5, 6, 7).


´Ü¼ø¹æ»ç¼±°Ë»ç


ÀÚ±â°ø¸í°Ë»ç

±ÙÀüµµ°Ë»ç : ¼Õ¸ñ¿¡¼­ Á¤Áß½Å°æ º´Áõ


Ä¡·á
Àü¿ø



 


¼Õ°¡¶ô Àú¸²ÁõÀ» È£¼ÒÇÒ ¶§ °¡Àå ÈçÇÑ ¿øÀÎÀÌ ¼ö±Ù°üÁõÈıºÀÌ°í ¼ö±Ù°üÁõÈıºÀ» Áø´ÜÇÏ´Â
°¡Àå È¿°úÀûÀ̰í Á¤È®ÇÑ Áø´Ü¹æ¹ýÀº ±ÙÀüµµ°Ë»çÀÌ´Ù.


¼ö±Ù°üÁõÈıº¿¡¼­ ±ÙÀüµµ°Ë»ç °á°ú´Â "¼Õ¸ñ ºÎÀ§¿¡¼­ Á¤Áß½Å°æ º´Áõ"ÀÌ´Ù.


±×·¯³ª ±ÙÀüµµ°Ë»ç¿¡¼­ "¼Õ¸ñ ºÎÀ§¿¡¼­ Á¤Áß½Å°æ º´Áõ" º¸ÀÌ´Â °æ¿ì ´ëºÎºÐÀº ¼ö±Ù°üÁõÈıºÀÌÁö¸¸
º» Áõ·Ê³ª ÀÌÀü¿¡ º» Áõ·Ê°Ô½ÃÆÇ¿¡¼­ Á¦½ÃÇÑ ¹Ù¿Í °°ÀÌ Á¤Á߽ŰæÀ̳ª ½Å°æ ÁÖÀ§ÀÇ Á¾±«¿¡ ÀÇÇÑ
Á¤Áß½Å°æ ¾Ð¹Úµµ µå¹°°Ô Á¸ÀçÇÑ´Ù.


±ÙÀüµµ°Ë»ç·Î´Â ½Å°æ º´ÁõÀÇ ¿øÀÎÀ» È®ÀÎÇÒ ¼ö ¾øÀ¸¹Ç·Î º´·ÂÀ̳ª ÀÌÇÐÀû°Ë»ç¿¡¼­ Åë»óÀûÀÎ
¼ö±Ù°üÁõÈıº°ú »óÀÌÇÑ ¼Ò°ßÀ» º¸ÀÌ´Â °æ¿ì¿¡´Â ½Å°æº´Áõ ¿øÀÎÀ» È®ÀÎÇϱâ À§ÇØ ÀÚ±â°ø¸í°Ë»ç³ª
ÃÊÀ½ÆÄ°Ë»ç¿Í °°Àº ¿µ»ó °Ë»ç°¡ ÇÊ¿äÇÏ´Ù.


ÃÊÀ½ÆÄ°Ë»ç´Â ½Å°æº´ÁõÀÇ ¿øÀÎÀ» È®ÀÎÇÒ ¼ö ÀÖ´Â ¸Å¿ì À¯¿ëÇϰí Á¤È®ÇÑ °Ë»çÀÌ´Ù.

ÀÌÀü±Û ÆÈ²ÞÄ¡ Ȱ¾×¸·¿° ÃÊÀ½ÆÄ°Ë»ç ¹× ÁÖ»çÄ¡·á
´ÙÀ½±Û ¼Õ¹Ù´Ú Á¾±«¿¡ ÀÇÇÑ Ã´°ñ½Å°æ ½ÉºÎ°¡Áö ¸¶ºñ
       
°¡¸ÍÁ¡¸í : ½Ã¸®¾Ç½ºÁ¤ÇüÀÇÇבּ¸È¸
»ç¾÷ÀÚµî·Ï¹øÈ£ : 894-81-00627 | ´ëÇ¥ÀÚ : ÀåµÎÇõ
 
ÁÖ¼Ò : °æ±âµµ ¾çÆò±º ¿ë¹®¸é ¿ë¹®·Î 375-1, 2Ãþ 1È£
TEL : 010-2323-4055
E-mail : cyriax12@naver.com
ÀԱݾȳ»
±¹¹ÎÀºÇà | ½Ã¸®¾Ç½ºÁ¤ÇüÀÇÇבּ¸È¸(ÁÖ)
220401-04-194155