[¾ûµ¢ÀÌ] ´ëÀüÀÚ Á¡¾×³¶¿°
ÀÛ¼ºÀÚ : °ü¸®ÀÚ(khu3265442@naver.com) ÀÛ¼ºÀÏ : 2015-02-09 Á¶È¸¼ö : 4591
ÆÄÀÏ÷ºÎ : [mix]HSWON20150131124714781.avi

¼ºº° / ³ªÀÌ
³²ÀÚ/55


ÁÖÁõ»ó
¿ìÃø °í°üÀý ¿ÜÃøºÎ ÅëÁõ(3ÀÏ)


º´·Â
´Þ¸®±â¸¦ ½ÉÇÏ°Ô Çϰí ÀÌÀÏ ÈĺÎÅÍ ÀϾ°í ¾ÉÀ» ¶§ ÅëÁõÀÌ ¹ß»ýÇϰí Á¡Á¡ ½ÉÇØÁø´Ù.


ÀÌÇÐÀû °Ë»ç
°í°üÀý ±¼°îÀº Á¤»ó ¹üÀ§, ±¼°î ³»Àü ½Ã ÅëÁõ ¹ß»ý, patric °Ë»ç ¾ç¼º ¼Ò°ß. ´ëÀüÀÚ ¾Æ·¡ ÂÊ ±¹¼ÒÀû ¾ÐÅëÀÌ ¶Ñ·ÈÇÔ.


ÃÊÀ½ÆÄ °Ë»ç
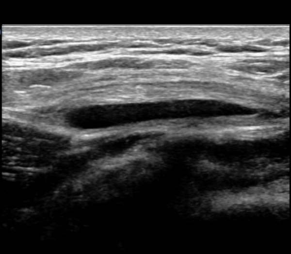
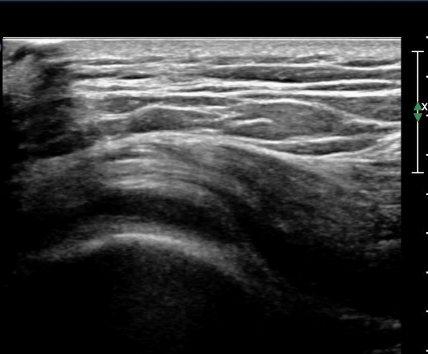
´ëÀüÀÚ µÚÂÊ È¾´Ü¸é°Ë»ç¿¡¼­ ÁߵбÙÈûÁÙ°ú Àå°æÀÎ´ë »çÀÌ¿¡ ·®ÀÇ ¼ö¾×Àú·ù°¡ °üÂûµÇ°í(»çÁø 1)


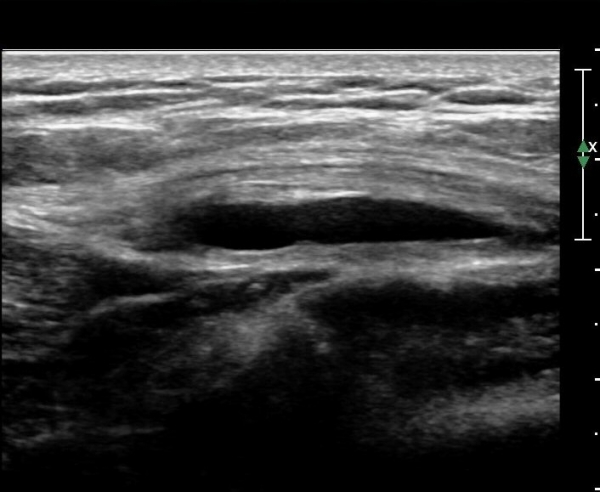
ŽÃËÀÚ¸¦ ¸Ó¸®ÂÊÀ¸·Î À̵¿ÇÏ´Ï ¼ö¾×Àú·ù°¡ ´õ ¸¹ÀÌ °üÂûµÈ´Ù(»çÁø 2, 3).


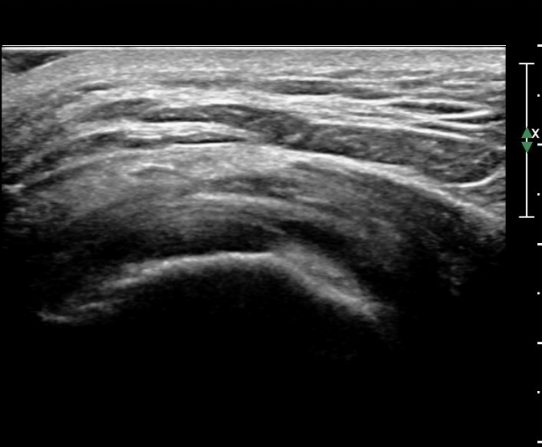
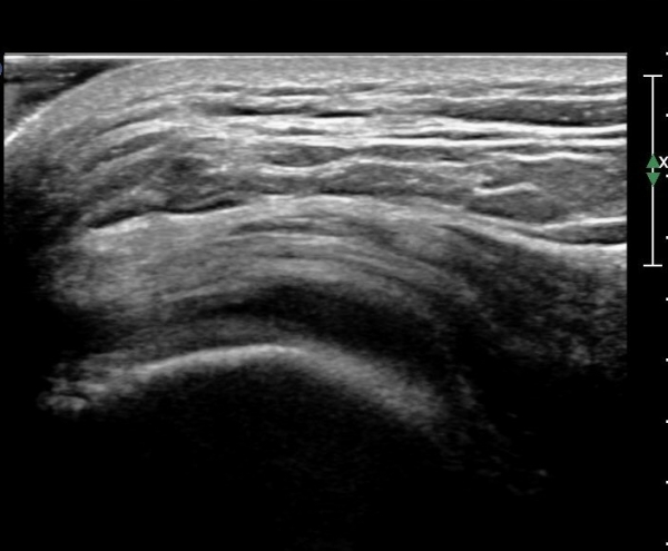
ŽÃËÀÚ¸¦ ¾ÕÂÊÀ¸·Î À̵¿ÇÏ¿© ´ëÀüÀÚ ¾ÕÂÊ È¾´Ü¸é°Ë»ç¿¡¼­ ¼ÒµÐ±ÙÈûÁÙ°ú Àå°æÀÎ´ë »çÀÌ¿¡
¼Ò·®ÀÇ ¼ö¾×Àú·ù°¡ °üÂûµÇ°í(»çÁø 4)


ŽÃËÀÚ¸¦ ¸Ó¸®ÂÊÀ¸·Î À̵¿ÇÏ´Ï ¼ö¾×Àú·ù°¡ ´õ ¸¹ÀÌ °üÂûµÈ´Ù(»çÁø 5).


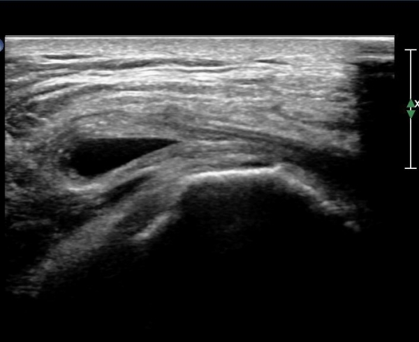
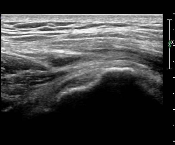
´ëÀüÀÚ ¾ÕÂÊ Á¾´Ü¸é°Ë»ç¿¡¼­ ¼ÒµÐ±ÙÈûÁÙ°ú Àå°æÀÎ´ë »çÀÌ¿¡ ¼ö¾×Àú·ù°¡ ¶Ñ·ÈÈ÷ °üÂûµÈ´Ù(»çÁø 6, 7).


´Ü¼ø¹æ»ç¼±°Ë»ç


ÀÚ±â°ø¸í°Ë»ç


Ä¡·á
¾à¹°Ä¡·á



 


¾ûµ¢À̳ª ´ëÅðºÎ ¿ÜÃøÀÇ ÅëÁõÀÇ ¸¹Àº ºÎºÐÀº ¿äÃߺΠº´º¯¿¡ ÀÇÇÑ ÅëÁõÀÎ °æ¿ì°¡ ¸¹À¸³ª

õÀå°üÀýº´º¯À̳ª ¾ûµ¢ÀÌ °üÀý ¶Ç´Â ´ëÀüÀÚ Á¡¾×³¶¿°, µÐºÎ±Ù °ÇÃÊ¿°¿¡ ÀÇÇÑ °æ¿ìµµ

»ó´çÈ÷ ¸¹À¸¹Ç·Î öÀúÇÑ °¨º° Áø´ÜÀÌ ÇÊ¿äÇÏ´Ù.

º» Áõ·Ê¿Í °°ÀÌ °È±â³ª ´Þ¸®±â ÈÄ Áõ»óÀÌ ¹ß»ýÇÑ °æ¿ì¿¡´Â ¾ûµ¢ÀÌ °üÀý º´º¯À̳ª ´ëÀüÀÚ ÁÖÀ§

°ÇÃÊ¿°, Á¡¾×³¶¿° °¡´É¼ºÀÌ ³ô´Ù.

°¨º°Áø´ÜÀº ½Ã¸®¾Ç½º °³³ä¿¡ µû¸¥ ÀÌÇÐÀû°Ë»ç°¡ ¸Å¿ì À¯¿ëÇÏ°í °Ë»ç ¼Ò°ßÀÌ ¾Ö¸ÅÇÑ °æ¿ì¿¡´Â

ÃÊÀ½ÆÄ°Ë»ç¸¦ ½ÃÇàÇÏ¸é ´ëºÎºÐ °¨º°Áø´ÜÀÌ °¡´ÉÇÏ´Ù.

º» Áõ·Ê¿Í °°ÀÌ ±Þ¼ºÀ¸·Î Á¡¾×³¶¿°ÀÌ ¹ß»ýÇÑ °æ¿ì¿¡´Â ¸î Àϰ£ Åõ¾à¸¸À¸·Îµµ ¿ÏÀüÇÑ È¸º¹À»

º¸ÀδÙ.

ÀÌÀü±Û °ß°©ÇÏ±Ù°Ç ºÎºÐÆÄ¿­°ú µ¿¹ÝµÈ Ãæµ¹ÁõÈıº
´ÙÀ½±Û ÆÈ²ÞÄ¡ Ȱ¾×¸·¿° ÃÊÀ½ÆÄ°Ë»ç ¹× ÁÖ»çÄ¡·á
       
°¡¸ÍÁ¡¸í : ½Ã¸®¾Ç½ºÁ¤ÇüÀÇÇבּ¸È¸
»ç¾÷ÀÚµî·Ï¹øÈ£ : 894-81-00627 | ´ëÇ¥ÀÚ : ÀåµÎÇõ
 
ÁÖ¼Ò : °æ±âµµ ¾çÆò±º ¿ë¹®¸é ¿ë¹®·Î 375-1, 2Ãþ 1È£
TEL : 010-2323-4055
E-mail : cyriax12@naver.com
ÀԱݾȳ»
±¹¹ÎÀºÇà | ½Ã¸®¾Ç½ºÁ¤ÇüÀÇÇבּ¸È¸(ÁÖ)
220401-04-194155