[¾î±ú] °ß°©ÇÏ±Ù°Ç ºÎºÐÆÄ¿­°ú µ¿¹ÝµÈ Ãæµ¹ÁõÈıº
ÀÛ¼ºÀÚ : °ü¸®ÀÚ(khu3265442@naver.com) ÀÛ¼ºÀÏ : 2015-02-09 Á¶È¸¼ö : 5096
ÆÄÀÏ÷ºÎ : [mix]JGKANG20150131102559744.avi

¼ºº° / ³ªÀÌ
³²ÀÚ/42¼¼


ÁÖÁõ»ó
ÁÂÃø ¾î±ú ÅëÁõ(±â°£ : 8°³¿ù)


º´·Â
¸ñ°ú, ÆÈ²ÞÄ¡, ¾î±úÀÇ ÅëÁõÀ¸·Î ´ëÇкμӺ´¿ø¿¡¼­ °æÃßÀÇ ÀÌ»óÀ¸·Î ÃßÁ¤Çϰí
¹æ»ç¼± °Ë»ç¿Í ±ÙÀüµµ°Ë»ç¸¦ ¹Þ¾ÒÀ¸³ª Ưº°ÇÑ Áø´ÜÀ» ¹ÞÁö ¸øÇÔ. ÆÈ²ÞÄ¡¿Í ¾î±ú´Â ÆÈÀ» µé¸é ÅëÁõÀÌ ¹ß»ý


ÀÌÇÐÀû °Ë»ç
¾î±ú ±¼°î°ú ¿ÜȸÀü °üÀý°¡µ¿¹üÀ§´Â Á¤»ó¹üÀ§À̳ª °üÀý¿îµ¿ ¸»´Ü¿¡¼­ ÅëÁõÀ» º¸¿´°í
ÀúÇ׿¡ ´ëÇÑ ³»È¸Àü¿¡ ÅëÁõÀ» º¸¿´À¸³ª ¿ÜÀü½Ã¿¡´Â ÅëÁõÀÌ ¾ø¾ú´Ù.
Neer test(+), Hwakin's test(+), lift off test(+) ¼Ò°ßÀ» º¸¿´´Ù.


ÃÊÀ½ÆÄ °Ë»ç
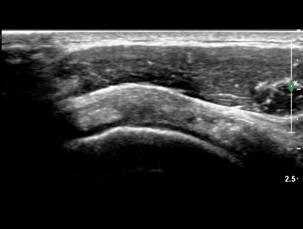
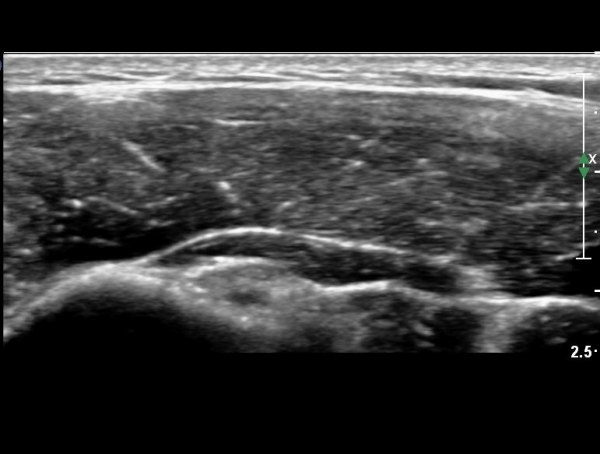
ÀÌµÎ¹Ú±Ù°Ç È¾´Ü¸é°Ë»ç¿¡¼­ °Ç ÁÖÀ§ ¼ö¾×Àú·ù µî ƯÀÌ ¼Ò°ßÀ» º¸ÀÌÁö ¾Ê¾Ò´Ù(»çÁø 1, 2)


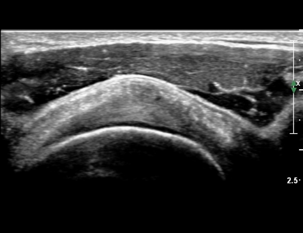
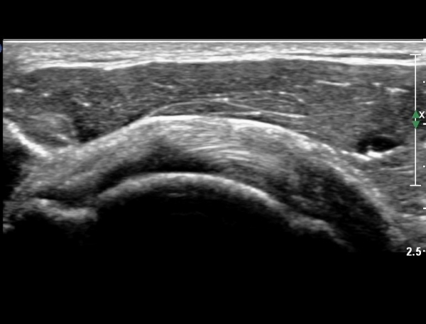
°ß°©ÇÏ±Ù°Ç Á¾´Ü¸ç°Ë»ç¿¡¼­ °Ç »óºÎ¿¡ ÀÌÁúÀûÀÎ ¿¡ÄÚ¸¦ º¸¿© °ß°©ÇÏ±Ù°Ç »óºÎ ºÎºÐÆÄ¿­ÀÌ ÃßÁ¤µÈ´Ù(»çÁø 3),


°ß°©ÇÏ±Ù°Ç ÇϺο¡¼­´Â ÀÌ»ó ¼Ò°ßÀÌ °üÂûµÇÁö ¾Ê´Â´Ù(»çÁø 4).


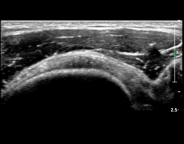
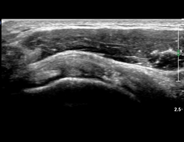
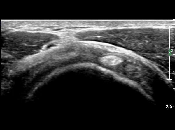
°ß°©ÇÏ±Ù°Ç È¾´Ü¸é°Ë»ç¿¡¼­ °Ç »óºÎ¿¡ ÀÌÁúÀûÀÎ ¿¡ÄÚ¸¦ º¸¿© °ß°©ÇÏ±Ù°Ç »óºÎ ºÎºÐÆÄ¿­ÀÌÃßÁ¤µÈ´Ù(»çÁø 5, 6, 7)


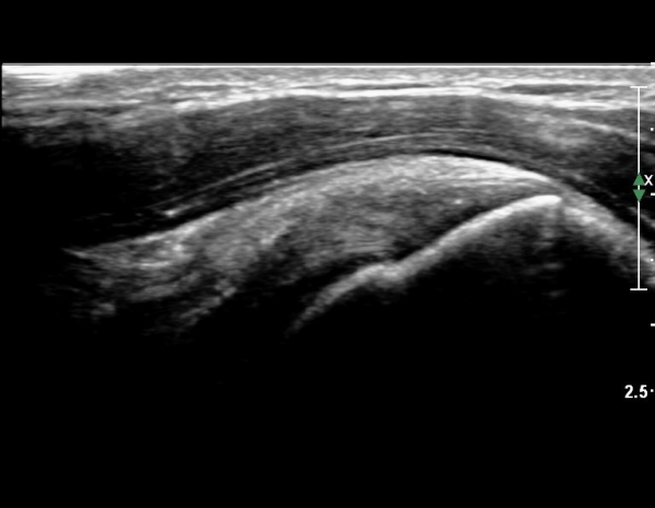
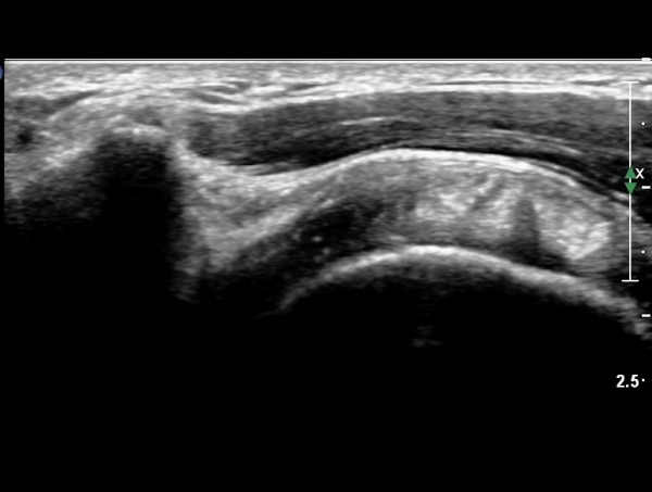
±Ø»ó°Ç Á¾´Ü¸é°Ë»ç¿¡¼­ °Ç ºÎÂøºÎ¿¡ Àú¿¡ÄÚ º¯È­°¡ °üÂûµÇ¾î ±Ø»ó°Ç ÅðÇ༺ º¯È­°¡ ÃßÁ¤µÈ´Ù(»çÁø 8).


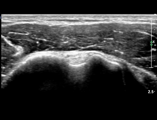
±Ø»ó°Ç Ⱦ´Ü¸é°Ë»ç¿¡¼­ ±Ø»ó°Ç Áß°£ ºÎÀ§ÀÇ Àú¿¡ÄÚ ºÎÁ¾ÀÌ °üÂûµÇ¾î ±Ø»ó°ÇÀÇ ÅðÇ༺ º¯È­³ª
ºÎºÐ ÆÄ¿­ÀÌ ÃßÁ¤µÈ´Ù(»çÁø 9, 10) ÀÌ·± ¼Ò°ßÀº Ãæµ¹ÁõÈıº ȯÀÚ¿¡°Ô¼­ ÈçÈ÷ º¼ ¼ö ÀÖ´Â ¼Ò°ßÀÌ´Ù.


´Ü¼ø¹æ»ç¼±°Ë»ç
type II °ßºÀ(°íÂû »çÁø)


ÀÚ±â°ø¸í°Ë»ç


Ä¡·á
°üÀý³» ÁÖ»çÄ¡·á(÷ºÎ µ¿¿µ»ó)



 

 


ÀÌÀü ºÎÅÍ NeerÀÇ ¿ÜÃø Ãæµ¹ÁõÈıºÀº ¾î±úÀÇ Áõ»óÀ» À¯¹ßÇϰí ȸÀü±Ù°³ ÆÄ¿­ÀÇ Áß¿äÇÑ ¿øÀÎÀ¸·Î Á¦±âµÇ¾î ¿ÔÀ¸³ª ÃÖ±ÙÀÇ ¿¬±¸¿¡¼­´Â ¿ÜÃø Ãæµ¹ÁõÈıºÀÇ º´Àμ³¿¡ Àǹ®ÀÌ Á¦±âµÇ°í ÀÖ´Ù.


ȸÀü±Ù°³ ÆÄ¿­ÀÌ ´ëºÎºÐ ȸÀü±Ù°³ÀÇ °üÀýÃø¿¡¼­ ¸ÕÀú ½ÃÀ۵ǰí, ȸÀü±Ù°³ ÆÄ¿­ ¼ö¼ú ½Ã °ßºÀ¼ºÇü¼úÀ» ½ÃÇàÇÑ °æ¿ì¿Í ½ÃÇàÇÏÁö ¾ÊÀº °æ¿ì¿¡ ±× °á°ú°¡ Â÷À̰¡ ¾ø´Ù´Â ¿¬±¸°¡ ¿ÜºÎ Ãæµ¹ÁõÈıº Ä¡·áÀÇ À¯È¿¼ºÀ» ÀǽÉÇÏ°Ô ÇÑ´Ù.


±×·¯³ª À§¿Í °°Àº °ßÇØµµ Ãæµ¹ÁõÈıºÀÌ È¸Àü±Ù°³ÆÄ¿­ÀÇ Áß¿äÇÑ ¿øÀÎÀÌ ¾Æ´Ï¶ó´Â °á·ÐÀº ¾Æ´Ï°í
ȸÀü±Ù°³ÆÄ¿­ÀÇ Áß¿äÇÑ ¿äÀÎÀº ¿ÜÃøÃæµ¹ÁõÈıºÀÌ ¾Æ´Ï°í ³»ÃøÃæµ¹ÁõÈıº(ȸÀü±Ù°³ ½ÉÃþÀÌ
°üÀý¼øÀ̳ª °üÀý¿Í¿Í ºÎµúÈ÷´Â »óÅÂ)ÀÌ°í ³»Ãø Ãæµ¹ÁõÈıºÀÇ Áß¿äÇÑ ¿øÀÎÀº °ßºÀÀÇ ¸ð¾çÀ̳ª
°ßºÀÇÏ °ñ±ØÀÌ ¾Æ´Ï¶ó ´Ù¸¥ ¿äÀεé À̶ó´Â ÁÖÀåÀÌ´Ù.


to be continued


Bigliani µîÀÇ °ßºÀ ºÐ·ù¿¡ ÀÇÇÑ Ãæµ¹ÁõÈıº ±â¿©µµµµ ÃÖ±ÙÀÇ ¿¬±¸¿¡¼­´Â ±× Á߿伺À» ÀúÆò°¡ÇÏ´Â
°æÇâÀÌ´Ù.

 

32697874_f43d06c0_Bigliani2520acromions2520web.jpg

32697874_462a021c_CR100927028.jpg

À¯»çÁõ·Ê

http://cyriax12.hosting2003.co.kr/sub03-02.php?ptype=view&idx=5781&page=7&code=dataroom02

ÀÌÀü±Û ±Ø»ó°Ç ÆÄ¿­¿¡ µ¿¹ÝµÈ ¿À±¸µ¹±âÇÏ Á¡¾×³¶¿° ÃÊÀ½ÆÄ ¼Ò°ß ¹× °íÂû
´ÙÀ½±Û ´ëÀüÀÚ Á¡¾×³¶¿°
       
°¡¸ÍÁ¡¸í : ½Ã¸®¾Ç½ºÁ¤ÇüÀÇÇבּ¸È¸
»ç¾÷ÀÚµî·Ï¹øÈ£ : 894-81-00627 | ´ëÇ¥ÀÚ : ÀåµÎÇõ
 
ÁÖ¼Ò : °æ±âµµ ¾çÆò±º ¿ë¹®¸é ¿ë¹®·Î 375-1, 2Ãþ 1È£
TEL : 010-2323-4055
E-mail : cyriax12@naver.com
ÀԱݾȳ»
±¹¹ÎÀºÇà | ½Ã¸®¾Ç½ºÁ¤ÇüÀÇÇבּ¸È¸(ÁÖ)
220401-04-194155