[¾î±ú] ±Ø»ó°Ç ÆÄ¿­¿¡ µ¿¹ÝµÈ ¿À±¸µ¹±âÇÏ Á¡¾×³¶¿° ÃÊÀ½ÆÄ ¼Ò°ß ¹× °íÂû
ÀÛ¼ºÀÚ : °ü¸®ÀÚ(khu3265442@naver.com) ÀÛ¼ºÀÏ : 2015-04-02 Á¶È¸¼ö : 10422
ÆÄÀÏ÷ºÎ :

¼ºº° / ³ªÀÌ
³²ÀÚ/69¼¼


ÁÖÁõ»ó
¿ìÃø ¾î±úÀÇ ÅëÁõ(±â°£ : ÇÑ´Þ)


º´·Â
¾à 10°³¿ù ¾î±ú ȸÀü±Ù°³ ÆÄ¿­·Î ¼ö¼ú ÈÄ¿¡µµ ÅëÁõÀÌ °è¼ÓµÇ´Ù°¡ ³»¿ø ÇÑ´Þ Àü ³Ñ¾îÁø ÈÄ
ÅëÁõÀÌ ½ÉÇØÁ®¼­ Ÿº´¿ø¿¡¼­ ¹°¸ª »Ì°í Ä¡·á ÇÏ¿´À¸³ª ÅëÁõÀÌ °è¼ÓµÇ¾î ³»¿ø


ÀÌÇÐÀû °Ë»ç
¾î±ú ±¼°î 160µµ, ¿ÜȸÀü 50µµ, ¿ÜÀü 80µµ·Î °üÀý°¡µ¿¹üÀ§ Á¦ÇÑÀ» º¸À̰í
ÀúÇ׿¡ ´ëÇÑ ¿ÜÀü ½Ã ÅëÁõ°ú ±Ù¾àÁõÀ» º¸ÀÓ. ¼öµ¿Àû ¼öÆò ³»Àü ½Ã ÅëÁõÀ» º¸ÀÓ.


ÃÊÀ½ÆÄ °Ë»ç
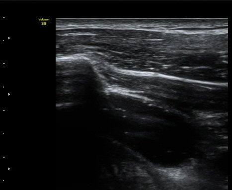
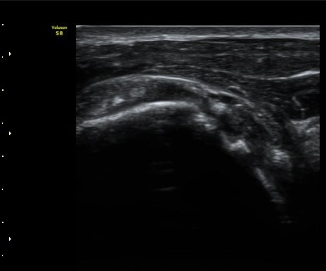
ÀÌµÎ¹Ú±Ù°Ç È¾´Ü¸é°Ë»ç¿¡¼­ °ÇÁÖÀ§¿¡ ¼Ò·®ÀÇ ¼ö¾×Àú·ù¿Í Á¡¾×³¶³» ¾×Àú·ù°¡ °üÂûµÈ´Ù(»çÁø 1, 2).


ŽÃÊÀÚ¸¦ ¾à°£ ´Ù¸®ÂÊ, ³»ÃøÀ¸·Î À̵¿ÇÏ´Ï °ß°©ÇÏ±Ù°Ç Ç¥Ãþ¿¡ ¸¹Àº ¾çÀÇ ¼ö¾×Àú·ù°¡ °üÂûµÈ´Ù(»çÁø 3).


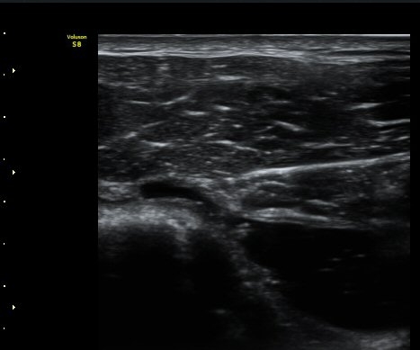
ÆÈÀ» ¿ÜȸÀüÇÏ´Ï °ß°©ÇÏ±Ù°Ç Ç¥ÃþÀÇ ¼ö¾×Àú·ù°¡ ´õ¿í È®½ÇÇÏ°Ô °üÂûµµ´Ï´Ù(»çÁø 4).


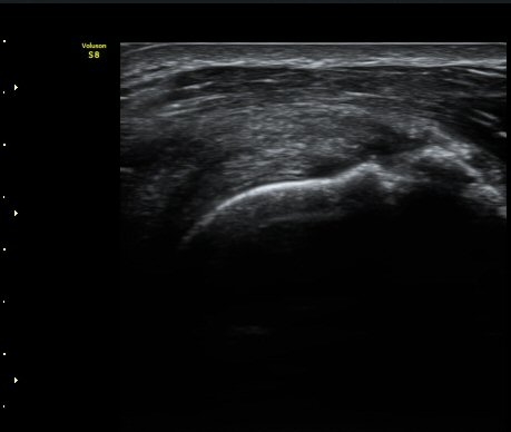
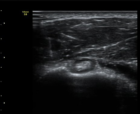
ŽÃËÀÚ¸¦ ¿À±¸µ¹±â ¾Æ·¡·Î ±æ°Ô ´ë°í °üÂûÇÏ´Ï ¿À±¸µ¹±â ¾Æ·¡, ¼ÒÈä±Ù ½ÉÃø¿¡ ¼ö¾×Àú·ù°¡
°üÂûµÇ¾î ¿À±¸µ¹±âÇÏÁ¡¾×³¶¿°À» ½Ã»çÇÑ´Ù(»çÁø 5).


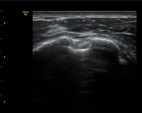
¾î±ú¸¦ ³»Àü, ³»È¸Àü, ½ÅÀüÇÏ¿© ±Ø»ó°Ç°Ë»ç¿¡¼­ ±Ø»ó°Ç ÆÄ¿­ ÈÄ ¼ö¼úÇÑ ¼Ò°ß, ±Ø»ó°ÇÀÇ
Àú¿¡ÄÚ ºÎÁ¾°ú ºÎºÐÀû ÆÄ¿­, °í¿¡ÄÚ ºÀÇÕ»ç, ´ë°áÀýÀÇ ºÒ±ÔÄ¢º¯È­,À» º¸¿©ÁØ´Ù(»çÁø 6, 7, 8, 9)


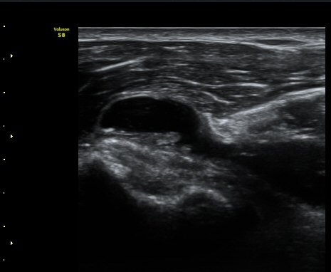
ÅëÁõÄ¡·á¸¦ À§ÇØ °üÀý³» ÁÖ»ç 2ÁÖ ÈÄ ½ÃÇàÇÑ ÃßÀû°Ë»ç¿¡¼­ ¿À±¸µ¹±âÇÏÁ¡¾×³¶³» ¼ö¾×Àú·ù°¡ ¸ðµÎ »ç¶óÁ³´Ù.
±×·¯³ª ÅëÁõÀº ¾à°£ ÁÙ¾îµç »óÅ¿¡¼­ °è¼ÓµÇ¾î 2Â÷ °üÀý³» ÁÖ»ç½ÃÇàÇÏ¿´´Ù.


2´Þ ÈÄ ½ÃÇàÇÑ ÃßÀû°Ë»ç¿¡¼­ óÀ½ º¸´Ù´Â ÀûÁö¸¸ Á¡¾×³¶ÀÇ ¼ö¾×Àú·ù Áõ°¡°¡ °üÂûµÈ´Ù
3Â÷ °üÀý³» ÁÖ»ç ½ÃÇà.


3Â÷ °üÀý³» ÁÖ»ç ½ÃÇà 1´Þ ÈÄ ºÎÅÍ 4ÁÖ°£°ÝÀ¸·Î 3ȸ Áõ½ÄÄ¡·á ½ÃÇà
À°°³¿ù ÈÄ ½ÃÇàÇÑ ÃßÀû°Ë»ç¿¡¼­ ¼Ò·®ÀÇ ¼ö¾×Àú·ù°¡ °üÂûµÇ³ª ±Ø»ó°ÇÀÇ Àú¿¡ÄÚ ºÎÁ¾ÀÌ ÁÙ¾îµé°í
¿¡ÄÚ°¡ Áõ°¡µÈ ¼Ò°ßÀ» º¼ ¼ö ÀÖ´Ù.


´Ü¼ø¹æ»ç¼±°Ë»ç


ÀÚ±â°ø¸í°Ë»ç


Ä¡·á
20mg Æ®¸®¾Ï½Ã³î·Ð °üÀý³»ÁÖ»ç 3ȸ+ Æ÷µµ´ç Áõ½ÄÄ¡·á 3ȸ



 


µå¹°°Ô °üÂûµÇ´Â ¿À±¸µ¹±âÇÏ Á¡¾×³¶¿°Àº Á¡¾×³¶³» ¼ö¾×Àú·ù°¡ °ßºÀ¿À±¸µ¹±âÀδë
¹Ù·Î ½ÉÃþ¿¡¼­ °üÂûµÇ°Å³ª °ß°©ÇÏ±Ù°Ç Ç¥Ãþ¿¡ À¯³­È÷ ¸¹Àº Á¡¾×³¶³» ¼ö¾×Àú·ù°¡ °üÂûµÇ´Â
°æ¿ì ¿À±¸µ¹±â ¾Æ·¡¿¡¼­ ÀüÇüÀûÀÎ ¼ö¾×Àú·ù¸¦ °üÂûÇϸé Áø´ÜÀÌ °¡´ÉÇÏ´Ù.


Âü°í¹®Çå¿¡¼­ º¸°íÇÏ´Â ¹Ù¿Í °°ÀÌ ¿À±¸µ¹±âÇÏÁ¡¾×³¶¿°ÀÇ °¡Àå ÈçÇÑ ¿øÀÎÀº ȸÀü±Ù°³ÆÄ¿­ÀÌ´Ù.


±×·¯¹Ç·Î ¿À±¸µ¹±âÁ¡¾×³¶¿°ÀÇ Ä¡·á´Â ȸÀü±Ù°³ÆÄ¿­À» Ä¡·áÇÏ´Â °ÍÀÌ´Ù.
Á¡¾×³¶³»ÀÇ ¼ö¾×Àú·ù°¡ ¸¹¾Æ¼­ ÁÖ»çÈíÀÎ ÈÄ Á¡¾×³¶³» Áֻ縦 ½ÃÇàÇÏ°í ½Í°í ½ÇÁ¦·Î ½ÃÇàÇØ
º¸Áö¸¸ ÀÌ·± °æ¿ì ¼ö¾×Àú·ù°¡ °è¼Ó Àç¹ßÇÏ´Â °æ¿ì°¡ ÈçÇÏ´Ù.


º»ÀÎÀÇ °æÇè¿¡ ÀÇÇϸé Á¡¾×³¶³» º¸´Ù´Â °üÀý³» Áֻ縦 ½ÃÇàÇϸé ÅëÁõ°¨¼Ò¿Í Á¡¾×³¶³» ¼ö¾×Àú·ù¸¦ ÁÙÀ̴µ¥ È¿°úÀûÀÌ´Ù.


ÅëÁõÀÌ Á¶ÀýµÇ°í ¼ö¾×Àú·ù°¡ °¨¼ÒµÇ¸é ȸÀü±Ù°³¿¡ ´ëÇÑ Áõ½ÄÄ¡·á¸¦ ½ÃÇàÇÏ¸é ¾î±úÀÇ ±â´ÉÀÌ
Çâ»óµÇ°í ÅëÁõ ¹× ¿À±¸µ¹±âÇÏÁ¡¾×³¶³» ¼ö¾×Àú·ù°¡ ¸¹ÀÌ ÁÙ¾îµé°Å³ª »ç¶óÁø´Ù.


MR anatomy of the subcoracoid bursa and the association of subcoracoid effusion with tears of the

anterior rotator cuff and the rotator interval
http://www.ajronline.org/doi/pdf/10.2214/ajr.174.5.1741377


subcoracoid bursa
http://radsource.us/subcoracoid-bursa/

 

 

À¯»çÁõ·Ê : ȸÀü±Ù°³ ÆÄ¿­°ú µ¿¹ÝµÈ ¿À±¸µ¹±âÇÏ Á¡¾×³¶¿°

http://cyriax12.hosting2003.co.kr/sub03-02.php?ptype=view&idx=5798&page=6&code=dataroom02

 

 

 


 

 

1.jpg

 

2.jpg

 

3.jpg

 

4.jpg

 

5.jpg

 


 

ÇÑ´Þ ÈÄ ÃßÀû°Ë»ç

 

1.jpg

 

2.jpg

 

 


 

µÎ´Þ ÈÄ ÃßÀû°Ë»ç

 

1.jpg

 

2.jpg

 

3.jpg

 

4.jpg

 


 

À°°³¿ù ÈÄ

 

1.jpg

2.jpg

3.jpg

4.jpg


 

ÀÌÀü±Û ±Ø»ó°ÇÆÄ¿­¿¡ µ¿¹ÝµÈ ¿À±¸µ¹±âÇÏ Á¡¾×³¶¿° 2
´ÙÀ½±Û °ß°©ÇÏ±Ù°Ç ºÎºÐÆÄ¿­°ú µ¿¹ÝµÈ Ãæµ¹ÁõÈıº
       
°¡¸ÍÁ¡¸í : ½Ã¸®¾Ç½ºÁ¤ÇüÀÇÇבּ¸È¸
»ç¾÷ÀÚµî·Ï¹øÈ£ : 894-81-00627 | ´ëÇ¥ÀÚ : ÀåµÎÇõ
 
ÁÖ¼Ò : °æ±âµµ ¾çÆò±º ¿ë¹®¸é ¿ë¹®·Î 375-1, 2Ãþ 1È£
TEL : 010-2323-4055
E-mail : cyriax12@naver.com
ÀԱݾȳ»
±¹¹ÎÀºÇà | ½Ã¸®¾Ç½ºÁ¤ÇüÀÇÇבּ¸È¸(ÁÖ)
220401-04-194155