[¼Õ¸ñ] Ȱ¾×¸·¿°¿¡ ÀÇÇÑ ¼Õ¸ñÅͳΠÁõÈıº
ÀÛ¼ºÀÚ : °ü¸®ÀÚ(khu3265442@naver.com) ÀÛ¼ºÀÏ : 2015-05-16 Á¶È¸¼ö : 4203
ÆÄÀÏ÷ºÎ :

¼ºº° / ³ªÀÌ
¿©ÀÚ/55¼¼


ÁÖÁõ»ó
¿ìÃø ¼Õ°¡¶ô Àú¸² (4°³¿ù)


º´·Â
Ưº°ÇÑ ÀÌÀ¯¾øÀÌ ¼Õ°¡¶ôÀÌ Àú¸®±â ½ÃÀÛÇϰí, ÃÖ±Ù ½ÉÇØÁ® ¹ã¿¡ ÀáÀ» ±ü´Ù


ÀÌÇÐÀû °Ë»ç
¾öÁö ¿ÜÀü¿¡ G- Á¤µµ·Î °¨¼ÒÇϰí 2, 3 ,4 ¼Õ°¡¶ô °¨°¢°¨¼Ò¸¦ º¸ÀÓ. Hoffman sign(-)


ÃÊÀ½ÆÄ °Ë»ç
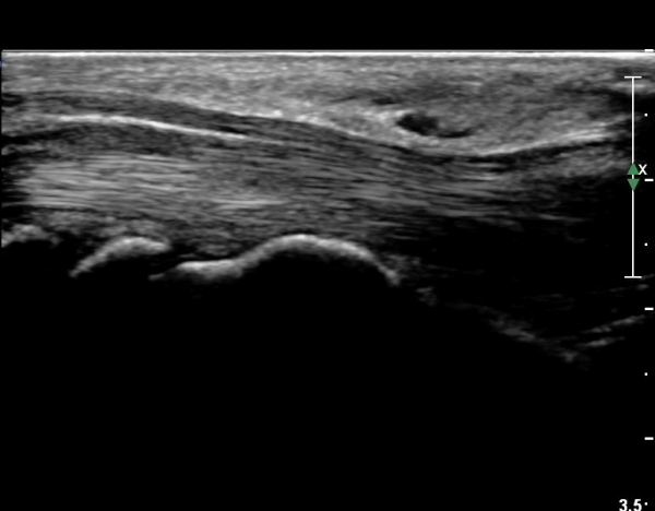
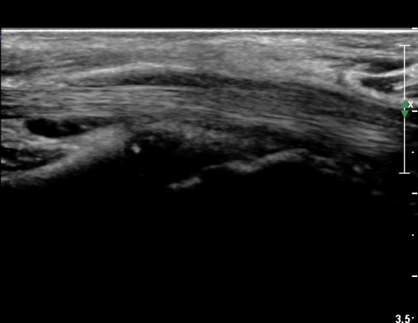
¾Æ·§ÆÈ ¸»´ÜºÎ Ⱦ´Ü¸é°Ë»ç¿¡¼­ ¼Õ°¡¶ô ±¼°î ÈûÁÙÀÇ ºñÈÄ¿Í ÈûÁÙ ½ÉºÎ¿¡ ¼ö¾×Àú·ù°¡ °üÂûµÈ´Ù(»çÁø 1).


µµÇ÷¯°Ë»ç¿¡¼­ Ç÷·ùÁõ°¡°¡ °üÂûµÈ´Ù(»çÁø 2).


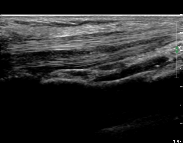
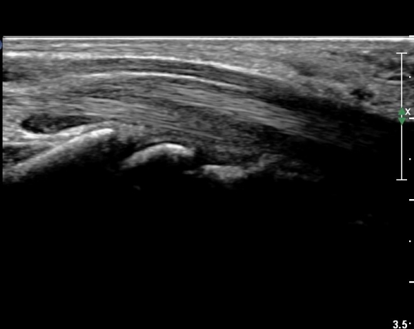
¼Õ¸ñ°ú ¼ö±Ù°ü±ÙÀ§ºÎ Ⱦ´Ü¸é°Ë»ç¿¡¼­  ÈûÁÙÀÇ ºñÈÄ¿Í ÈûÁÙ ÁÖÀ§ Ȱ¾×¸· ºñÈİ¡ °üÂûµÇ³ª
Á¤Áß½Å°æ ºÎÁ¾Àº °üÂûµÇÁö ¾Ê´Â´Ù(»çÁø 3, 4).


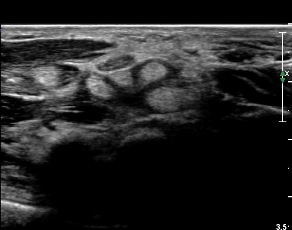
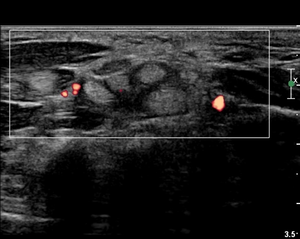
¼Õ¹Ù´Ú Ⱦ´Ü¸é°Ë»ç¿¡¼­ ÈûÁÙÀÇ ºñÈÄ¿Í ÈûÁÙ ÁÖÀ§ Ȱ¾×¸· ºñÈİ¡ °üÂûµÇ³ª
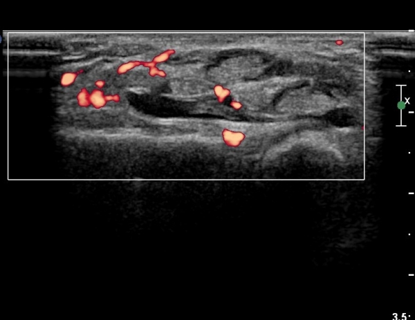
Á¤Áß½Å°æ ºÎÁ¾Àº °üÂûµÇ°í(»çÁø 5) µµÇ÷¯°Ë»ç¿¡¼­ ¼ö¾×Àú·ù°¡ °üÂûµÈ´Ù(»çÁø 6).


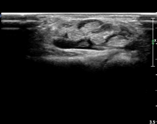
¼Õ¸ñ, ¼ö±Ù°ü, ¼Õ¹Ù´Ú¿¡¼­ Á¤Á߽Űæ°ú ¼Õ°¢¶ô ±¼°î ÈûÁÙ Á¾´Ü¸é°Ë»ç¿¡¼­ Á¤Á߽ŰæÀÇ
±¹¼ÒÀû ¾Ð¹ÚÀº °üÂûµÇÁö ¾Ê°í ÈûÁÙÀÇ ºñÈÄ, Ȱ¸·ºñÈÄ¿Í ºÎºÐÀûÀÎ ¼ö¾× Àú·ù°¡
°üÂûµÈ´Ù(»çÁø 7, 8, 9, 10).


´Ü¼ø¹æ»ç¼±°Ë»ç


ÀÚ±â°ø¸í°Ë»ç


Ä¡·á
ÀÇ·Ú º´¿øÀ¸·Î Àü¿ø



 


º» Áõ·ÊÀÇ °æ¿ì º´·Â, Áõ»ó, ÀÌÇÐÀû°Ë»ç ¼Ò°ß »ó ÀüÇüÀûÀÎ ¼Õ°¡¶ô °ú´Ù »ç¿ë¿¡ ÀÇÇÑ
¼Õ¸ñÅͳÎÁõÈıº ȯÀÚ·Î ÃßÁ¤µÇ°í ±ÙÀüµµ°Ë»ç¿¡¼­µµ ¼Õ¸ñÅͳÎÁõÈıº¿¡ ºÎÇÕÇÏ´Â
¼Ò°ßÀ» º¸¿´Áö¸¸ ¼Õ¸ñ¿¡¼­ Á¤Á߽Ű溴ÁõÀÇ ¿øÀÎÀº Åë»óÀûÀÎ ¼Õ°¡¶ô °ú´Ù »ç¿ëÀÌ
¾Æ´Ï°í ¼Õ°¡¶ôÈ®¾×¸·¿° À̾ú°í ±× ±âÀü ÁúȯÀ¸·Î ·ù¸¶Æ¼½º°üÀý¿° µî ¿°Áõ¼º ÁúȯÀ»
°¨º°Áø´Ü ÇØ¾ß ÇÑ´Ù.


¹°·Ð ÀÌ·± °æ¿ì¿¡´Â ¼Õ¸ñÅͳΠÀδë Àý°³¼úº¸´Ù´Â ¾à¹° ¹× ÁÖ»çÄ¡·á°¡ ¿ì¼±ÀûÀÎ
Ä¡·á ¹æ¹ýÀÌ´Ù.


ÀÌ¿Í °°ÀÌ ±ÙÀüµµ°Ë»ç¿¡¼­ ¸»ÃʽŰ溴ÁõÀ» º¸ÀÌ´Â °æ¿ì¿¡´Â ÃÊÀ½ÆÄ°Ë»ç³ª ÀÚ±â°ø¸í°Ë»ç¿Í
°°Àº À̹ÌÁö°Ë»ç¸¦ ½ÃÇàÇÏ¿© ¸»ÃʽŰ溴ÁõÀÇ ¿øÀÎÀ» È®ÀÎÇÏ°í ±× ¿øÀο¡ ´ëÇÑ Ä¡·á¸¦
½ÃÇàÇÏ´Â °ÍÀÌ ÀûÀýÇÑ Ä¡·á·Î ÆÇ´ÜµÈ´Ù.

ÀÌÀü±Û Àü°ÅºñÀÎ´ë ÆÄ¿­ÀÇ ÃÊÀ½ÆÄ°Ë»ç ¹× Ä¡·á °æ°ú
´ÙÀ½±Û ±Ø»ó°ÇÆÄ¿­¿¡ µ¿¹ÝµÈ ¿À±¸µ¹±âÇÏ Á¡¾×³¶¿° 2
       
°¡¸ÍÁ¡¸í : ½Ã¸®¾Ç½ºÁ¤ÇüÀÇÇבּ¸È¸
»ç¾÷ÀÚµî·Ï¹øÈ£ : 894-81-00627 | ´ëÇ¥ÀÚ : ÀåµÎÇõ
 
ÁÖ¼Ò : °æ±âµµ ¾çÆò±º ¿ë¹®¸é ¿ë¹®·Î 375-1, 2Ãþ 1È£
TEL : 010-2323-4055
E-mail : cyriax12@naver.com
ÀԱݾȳ»
±¹¹ÎÀºÇà | ½Ã¸®¾Ç½ºÁ¤ÇüÀÇÇבּ¸È¸(ÁÖ)
220401-04-194155