[¾î±ú] ¿À±¸µ¹±â°ßºÀÀÎ´ë ¼®È¸È­¿¡ µ¿¹ÝµÈ Ãæµ¹ÁõÈıº, ȸÀü±Ù°³ ÆÄ¿­(rotator cuff tear and impingement syndrome associated with calcific
ÀÛ¼ºÀÚ : °ü¸®ÀÚ(khu3265442@naver.com) ÀÛ¼ºÀÏ : 2015-06-06 Á¶È¸¼ö : 15100
ÆÄÀÏ÷ºÎ : [mix]KW PARK SH20150603120029407.avi x-ray.hwp

¼ºº° / ³ªÀÌ
³²ÀÚ/ 48¼¼


ÁÖÁõ»ó
¿ìÃø ¾î±úÀÇ ÅëÁõ°ú ¿îµ¿¹üÀ§ Á¦ÇÑ (±â°£ : 3 °³¿ù)


º´·Â
¿Ü»ó ¾øÀÌ ¾î±ú ÅëÁõ ¹ß»ý. ¾î±ú¸¦ µé ¶§ ÅëÁõ, ¹ã¿¡ ¾¥½É.


ÀÌÇÐÀû °Ë»ç
°üÀý °¡µ¿¹üÀ§ Á¦ÇÑÀº ¾øÀ¸³ª °¤¿À¹üÀ§ ¸»´Ü¿¡¼­ ÅëÁõÀ» º¸ÀÓ. ÀúÇ׿¡ ´ëÇÑ ¿ÜÀü ½Ã ÅëÁõ°ú ±Ù¾àÁõ º¸ÀÓ.


ÃÊÀ½ÆÄ °Ë»ç
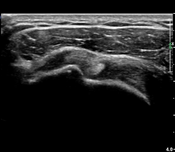
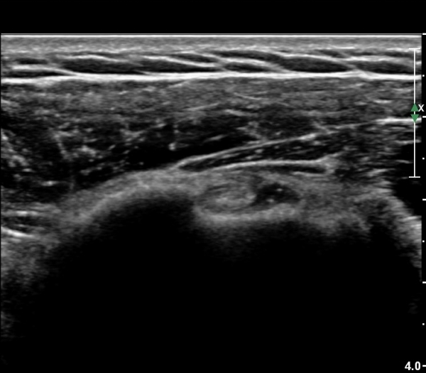
ȸÀü±Ù°³°£°Ý(rotator cuff interval) Ⱦ´Ü¸é°Ë»ç¿¡¼­ °ß°©ÇϱٰǻóºÎ¿Í ±Ø»ó°Ç ³»ÃøºÎ¿¡
ƯÀÌ ¼Ò°ßÀ» º¸ÀÌÁö ¾Ê´Â´Ù(»çÁø 1, 2).


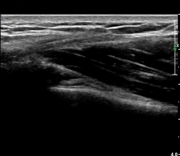
ÀÌµÎ¹Ú±Ù°Ç ÀåµÎ Ⱦ´Ü¸é°Ë»ç¿¡¼­ °ÇÁÖÀ§ ¼ö¾×Àú·ù°¡ °üÂûµÈ´Ù(»çÁø 3).


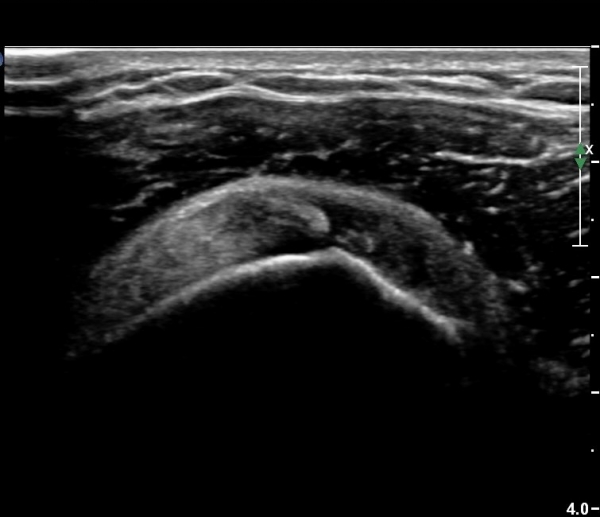
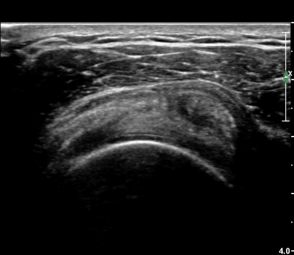
¿À±¸µ¹±â°ßºÀÀδë Á¾´Ü¸é°Ë»ç¿¡¼­ Àδ밡 Á¤»óÀûÀ¸·Î °üÂûµÇ°í(»çÁø 4)

°ßºÀ¿¡ À§Ä¡ÇÑ  ŽÃËÀÚ¸¦ ¾à°£ ¸»´Ü(caudal)À¸·Î À̵¿ÇÏ´Ï °ßºÀ ¾Æ·¡Ãø¿¡¼­ ³»ÃøÀ¸·Î °í¿¡ÄÚ ¼®È¸È­À½¿µÀÌ °üÂûµÈ´Ù(»çÁø 5).


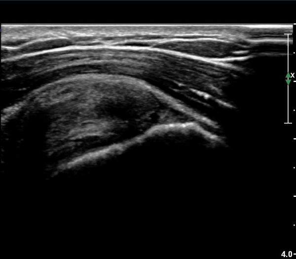
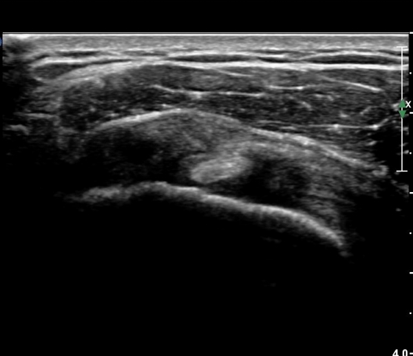
¾î±ú¸¦ ³»Àü, ³»È¸ÀüÇÑ »óÅ¿¡¼­ ±Ø»ó°ÇÁ¾´Ü¸é°Ë»ç»ó  ³»ÃøºÎ ÆÄ¿­ÀÌ °üÂûµÇ°í»çÁø 6, 7)


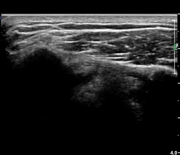
Ⱦ´Ü¸é°Ë»ç¿¡¼­ ±Ø»ó°Ç ³»ÃøºÎ ÆÄ¿­°ú ºÎÁ¾ÀÌ °üÂûµÈ´Ù(»çÁø 8), ŽÃËÀÚ¸¦ ¸»´ÜÀ¸·Î À̵¿ÇÏ´Ï
±Ø»ó°Ç ºÎÂøºÎ ÆÄ¿­ÀÌ ¶Ñ·ÈÇÏ´Ù(»çÁø 9).


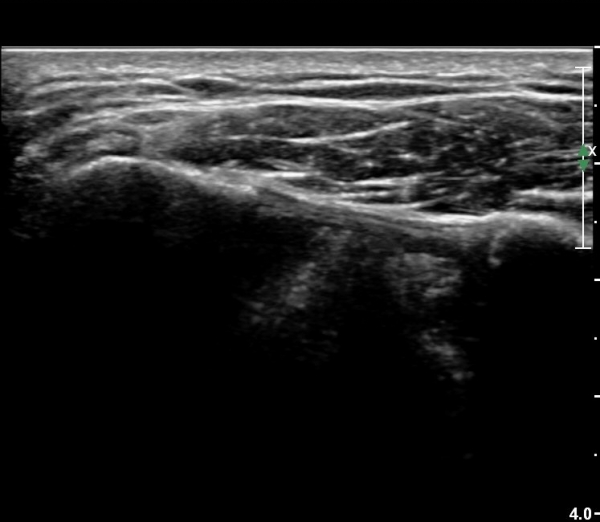
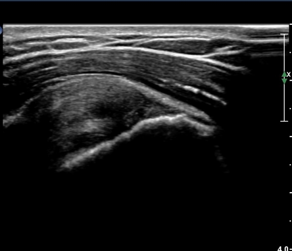
ŽÃËÀÚ¸¦ °ßºÀ ¿ÜÃø¿¡ ´ë°í ¾î±ú¸¦ ¿ÜÀüÇϸ鼭 °üÂûÇÏ´Ï ¿ÜÀü ½Ã °ßºÀ ¿ÜÃø¿¡ ¼ö¾×Àú·ù°¡
°üÂûµÇ¾î(»çÁø 10) ¿ÜÀü ½Ã °ßºÀÇÏ Ãæµ¹ÀÌ ÃßÁ¤µÈ´Ù.


´Ü¼ø¹æ»ç¼±°Ë»ç
°ßºÀ¼â°ñÀÎ´ë ¼®È¸È­


ÀÚ±â°ø¸í°Ë»ç
½ÃÇàÇÏÁö ¾ÊÀ½


Ä¡·á
°üÀý³» ÁÖ»çÄ¡·á



 


¿À±¸µ¹±â°ßºÀÀÎ´ë ¼®È¸È­¿Í µ¿¹ÝµÈ ȸÀü±Ù°³ÆÄ¿­Àº Áõ»óÀÌ ÀÚÁÖ Àç¹ßÇÏ°í ÆÄ¿­ÀÌ ÁøÇàµÇ´Â
°æ¿ì°¡ ÈçÇÏ´Ù.  ±×·¯¹Ç·Î ¿À±¸µ¹±â°ßºÀÀδ뼮ȸȭ¸¦ ¹æ»ç¼±°Ë»ç·Î È®ÀÎÇÏ´Â °ÍÀÌ Áß¿äÇѵ¥
ÃÊÀ½ÆÄ°Ë»ç¿¡¼­µµ ¿À±¸µ¹±â°ßºÀÀδ뼮ȸȭ¸¦ °üÂûÇÒ ¼ö ÀÖ´Ù.


¸ÕÀú °ßºÀ¼â°ñÀδë Á¾´Ü¸é°Ë»ç¿¡¼­ °ßºÀÀ» È®ÀÎÇÑ ÈÄ Å½ÃËÀÚ¸¦ ¸»´ÜÀ¸·Î Á¶±Ý ³»¸± ¶§
°ßºÀ ³»Ãø¿¡¼­ »Àó·³ º¸À̸鼭 ³»ÃøÀ¸·Î µ¹ÃâµÇ´Â ¿µ»óÀÌ ¿À±¸µ¹±â°ßºÀÀδ뼮ȸȭ ¿µ»óÀÌ´Ù.


º» Áõ·Ê¿Í °°ÀÌ ±Ø»ó°Ç Ⱦ´Ü¸é°Ë»ç¿¡¼­ ±Ø»ó°Ç ³»ÃøÀÇ ºÎÁ¾À» º¸À̰í Á¾´Ü¸é°Ë»ç¿¡¼­ ±Ø»ó°Ç
³»ÃøÀÇ ÆÄ¿­À» º¸ÀÌ´Â °æ¿ì°¡ ÀüÇüÀûÀÎ °ßºÀÇÏÃæµ¹¿¡ ÀÇÇÑ ±Ø»ó°Ç ÆÄ¿­ ¸ð½ÀÀÌ´Ù.

ÀÌÀü±Û ¾ûµ¢ÀÌ °üÀý¼ø ÆÄ¿­ÀÇ ÃÊÀ½ÆÄ°Ë»ç(ultrasonography of labrum tear of hip joint)
´ÙÀ½±Û Àü°ÅºñÀÎ´ë ÆÄ¿­ÀÇ ÃÊÀ½ÆÄ°Ë»ç ¹× Ä¡·á °æ°ú
       
°¡¸ÍÁ¡¸í : ½Ã¸®¾Ç½ºÁ¤ÇüÀÇÇבּ¸È¸
»ç¾÷ÀÚµî·Ï¹øÈ£ : 894-81-00627 | ´ëÇ¥ÀÚ : ÀåµÎÇõ
 
ÁÖ¼Ò : °æ±âµµ ¾çÆò±º ¿ë¹®¸é ¿ë¹®·Î 375-1, 2Ãþ 1È£
TEL : 010-2323-4055
E-mail : cyriax12@naver.com
ÀԱݾȳ»
±¹¹ÎÀºÇà | ½Ã¸®¾Ç½ºÁ¤ÇüÀÇÇבּ¸È¸(ÁÖ)
220401-04-194155