[¾ûµ¢ÀÌ] ÀüÇÏÀå°ñ±Ø¿¡¼­ ´ëÅðÁ÷±Ù ÈûÁÙ ÆÄ¿­(tear of rectus femoris tendon at AIIS)
ÀÛ¼ºÀÚ : °ü¸®ÀÚ(khu3265442@naver.com) ÀÛ¼ºÀÏ : 2015-07-29 Á¶È¸¼ö : 5362
ÆÄÀÏ÷ºÎ :

¼ºº° / ³ªÀÌ
³²ÀÚ/42¼¼


ÁÖÁõ»ó
¿ìÃø ´ëÅðºÎ ÅëÁõ


º´·Â
³»¿ø ÇÑ´Þ Àü ¸öÀ» µÚ·Î Á¦³¥ ¶§ °í°üÀý¿¡¼­ ¶ß²ûÇÑ ÈÄ ÅëÁõÀÌ °è¼Ó µÊ,

¿ìÃøÀ¸·Î ´©¿ì¸é ¾ÆÇÁ´Ù


ÀÌÇÐÀû °Ë»ç
´ëÀüÀÚºÎ¿Í °í°üÀý ¾ÕÂÊ¿¡¼­ ±¹¼ÒÀû ¾ÐÅëÀ» º¸ÀÓ. ÀúÇ׿¡ ´ëÇÑ ÇÏÁö ¿ÜÀü½Ã ÅëÁõ°ú ±Ù¾àÁõÀ» º¸À̰í
´Éµ¿Àû °í°üÀý ±¼°î ½Ã ÅëÁõ, ÀúÇ׿¡ ´ëÇÑ ±¼°î ½Ã ÅëÁõ°ú ½ÉÇÑ ±Ù¾àÁõÀ» º¸ÀÓ.


ÃÊÀ½ÆÄ °Ë»ç
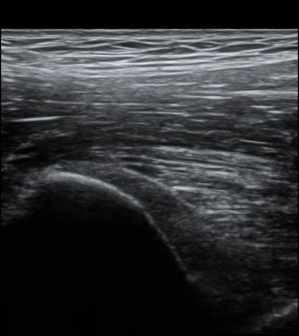
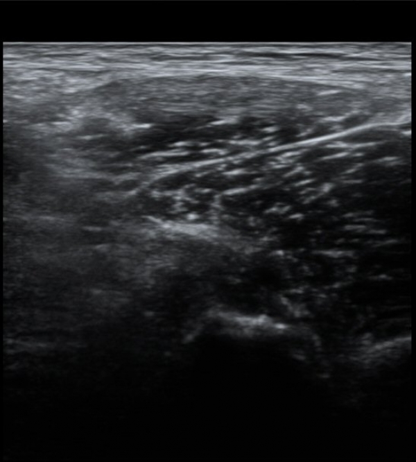
Àü»óÀå°ñ±Ø(ASIS) ¿¡¼­ 2~3cm ¾Æ·¡, 1~2cm ³»Ãø  ÀüÇÏÀå°ñ±Ø(AIIS) Á¾´Ü¸é°Ë»ç¿¡¼­

´ëÅðÁ÷±Ù ÈûÁÙÀÌ °í¿¡ÄÚ·Î Á¤»óÀûÀ¸·Î °üÂûµÇ³ª »À ºÎÂøºÎ¿¡ Àú¿¡ÄÚ º¯È­¸¦ º¸ÀδÙ(»çÁø 1).

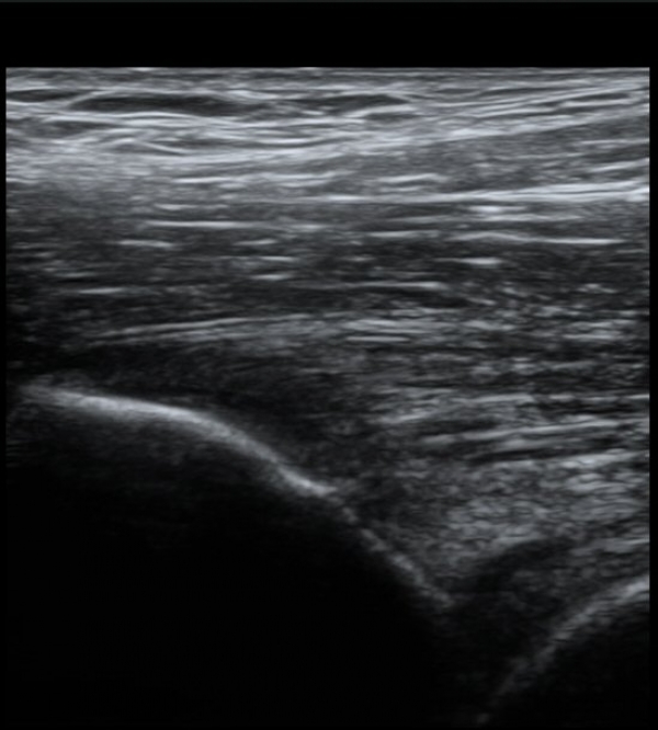
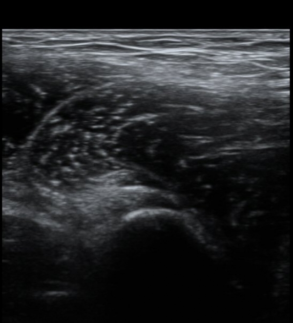
ŽÃËÀÚ¸¦ Á¶±Ý ³»ÃøÀ¸·Î À̵¿ÇÏ´Ï ÈûÁÙÀÇ °í¿¡ÄÚ°¡ ¼Ò½ÇµÇ¾î º¸ÀδÙ(»çÁø 2, 3)

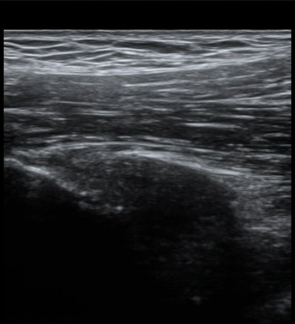
ÀÌ º´Àû º¯È­´Â Á¤»óÃø(»çÁø 6, 7)°ú ºñ±³ÇÏ¸é ¶Ñ·ÈÇÏ´Ù.)

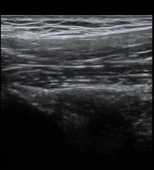
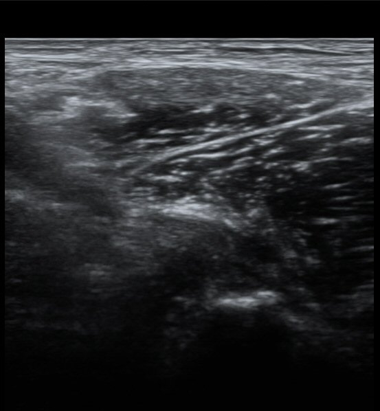
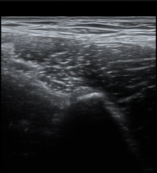
´ëÅðÁ÷±Ù ÈûÁ٠Ⱦ´Ü¸é °Ë»ç¿¡¼­µµ ÈûÁÙÀÇ Àú¿¡ÄÚ º¯È­¸¦ º¸À̰í(»çÁø 4, 5) ÀÌ º´Àû º¯È­µµ

°ÇÃø(»çÁø 6, 7)°ú ºñ±³ÇÏ¸é ½±°Ô ÆÇ´ÜµÈ´Ù.


´Ü¼ø¹æ»ç¼±°Ë»ç
ƯÀÌ ¼Ò°ß ¾øÀ½.


ÀÚ±â°ø¸í°Ë»ç
ÀüÇÏÀå°ñ±Ø ´ëÅðÁ÷±Ù ±â½ÃºÎ¿¡ ½ÅÈ£°­µµ Áõ°¡


Ä¡·á
º¸Á¸Àû Ä¡·á



 


¿îµ¿ ¶Ç´Â ¿Ü»ó ÈÄ ´Ù¸®¸¦ µé ¼ö ¾øÀ» ¶§, ÀúÇ׿¡ ´ëÇÑ °í°üÀý ±¼°î°ú ¹«¸­°üÀý ½ÅÀü ½Ã

ÅëÁõ°ú ±Ù¾àÁõÀ» º¸ÀÌ´Â °ÍÀ¸·Î Áø´ÜÇÒ ¼ö ÀÖ´Ù.
 
¾à 4°³¿ù °æ°ú ÈÄ ÅëÁõ ¾ø°í ±Ù·Â Á¤»ó »óÅ·Π¿ÏÀü ȸº¹ µÊ.

 


À¯»ç Áõ·Ê

ÀÌÀü±Û ¼ÒµÐ±Ù ¼®È¸È­¼º °ÇÃÊ¿°¿¡ ÀÇÇÑ ´ëÀüÀÚ Á¡¾×³¶¿°(trochanteric bursitis due to calcaific tendinitis of gluteus minumus)
´ÙÀ½±Û °áÀýÁ¾¿¡ ÀÇÇÑ ¿ÜÃø Á·Àú½Å°æ ¾Ð¹Ú(¹ß¸ñÅͳÎÁõÈıº)
       
°¡¸ÍÁ¡¸í : ½Ã¸®¾Ç½ºÁ¤ÇüÀÇÇבּ¸È¸
»ç¾÷ÀÚµî·Ï¹øÈ£ : 894-81-00627 | ´ëÇ¥ÀÚ : ÀåµÎÇõ
 
ÁÖ¼Ò : °æ±âµµ ¾çÆò±º ¿ë¹®¸é ¿ë¹®·Î 375-1, 2Ãþ 1È£
TEL : 010-2323-4055
E-mail : cyriax12@naver.com
ÀԱݾȳ»
±¹¹ÎÀºÇà | ½Ã¸®¾Ç½ºÁ¤ÇüÀÇÇבּ¸È¸(ÁÖ)
220401-04-194155