[¾ûµ¢ÀÌ] ÀüÇÏÀå°ñ±Ø °ß¿­°ñÀý(avulsion fracture of anterior inferior iliac spine)
ÀÛ¼ºÀÚ : °ü¸®ÀÚ(khu3265442@naver.com) ÀÛ¼ºÀÏ : 2015-08-01 Á¶È¸¼ö : 3931
ÆÄÀÏ÷ºÎ :

¼ºº° / ³ªÀÌ
¿©ÀÚ/49¼¼


ÁÖÁõ»ó
Ç㸮¿Í ¾ûµ¢ÀÌ ÅëÁõ°ú ¿ìÃø ´Ù¸® ¶¯±è (±ÝÀÏ)


º´·Â
±ÝÀÏ ³Ñ¾îÁø ÈÄ ¸ñ, Ç㸮, ´Ù¸®ÀÇ ÅëÁõÀÌ ¹ß»ý. °ÉÀ» ¶§ ´Ù¸®°¡ ¾Èµé¸°´Ù.


ÀÌÇÐÀû °Ë»ç
´Éµ¿Àû SLR ¾ÈµÊ. ÀúÇ׿¡ ´ëÇÑ °í°üÀý ±¼°î°ú ¹«¸­ ½ÅÀü ½Ã ÅëÁõ°ú ±Ù¾àÁõÀ» º¸ÀÓ.


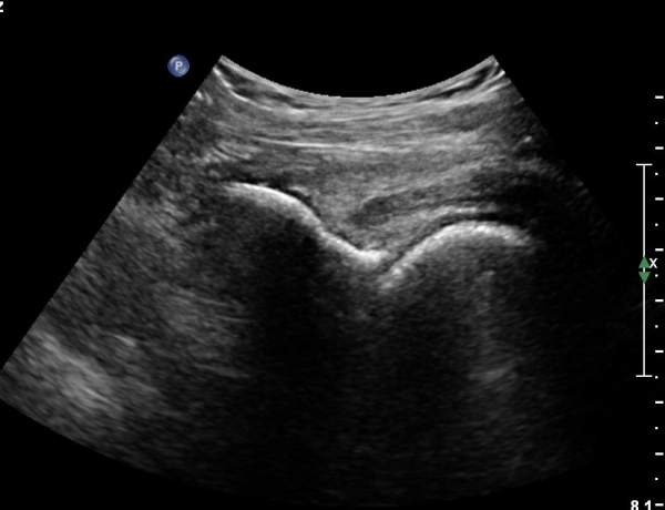
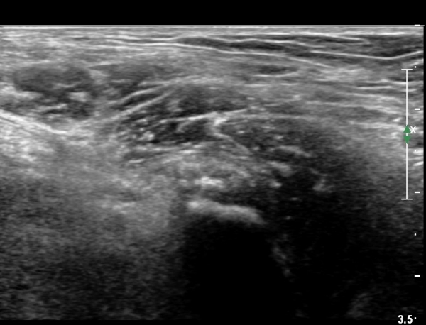
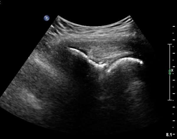
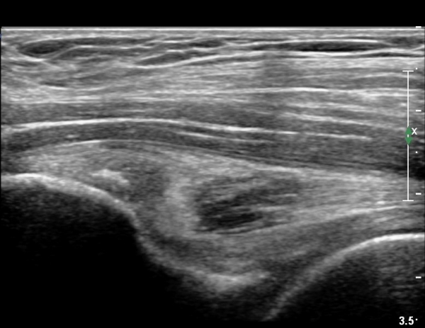
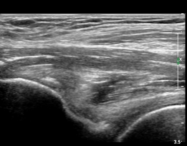
ÃÊÀ½ÆÄ °Ë»ç
¤·


´Ü¼ø¹æ»ç¼±°Ë»ç
¤·


ÀÚ±â°ø¸í°Ë»ç
¤·


Ä¡·á
¤·




ÀÌÀü±Û °æ°ñ ¾Ð¹Ú°ñÀý¿¡ ÀÇÇÑ ¹«¸­ °üÀý³» Ç÷Á¾
´ÙÀ½±Û ¼ÒµÐ±Ù ¼®È¸È­¼º °ÇÃÊ¿°¿¡ ÀÇÇÑ ´ëÀüÀÚ Á¡¾×³¶¿°(trochanteric bursitis due to calcaific tendinitis of gluteus minumus)
       
°¡¸ÍÁ¡¸í : ½Ã¸®¾Ç½ºÁ¤ÇüÀÇÇבּ¸È¸
»ç¾÷ÀÚµî·Ï¹øÈ£ : 894-81-00627 | ´ëÇ¥ÀÚ : ÀåµÎÇõ
 
ÁÖ¼Ò : °æ±âµµ ¾çÆò±º ¿ë¹®¸é ¿ë¹®·Î 375-1, 2Ãþ 1È£
TEL : 010-2323-4055
E-mail : cyriax12@naver.com
ÀԱݾȳ»
±¹¹ÎÀºÇà | ½Ã¸®¾Ç½ºÁ¤ÇüÀÇÇבּ¸È¸(ÁÖ)
220401-04-194155