[¹«¸­] °æ°ñ ¾Ð¹Ú°ñÀý¿¡ ÀÇÇÑ ¹«¸­ °üÀý³» Ç÷Á¾
ÀÛ¼ºÀÚ : °ü¸®ÀÚ(khu3265442@naver.com) ÀÛ¼ºÀÏ : 2015-08-18 Á¶È¸¼ö : 9011
ÆÄÀÏ÷ºÎ :

¼ºº° / ³ªÀÌ
³²ÀÚ/57¼¼


ÁÖÁõ»ó
ÁÂÃø ¹«¸­ÀÇ ÅëÁõ(1ÀÏ)


º´·Â
±³Åë »ç°í·Î ¹«¸­ÀÇ ÅëÁõÀÌ ¹ß»ýÇÏ¿© Á¾ÇÕº´¿ø ÀÀ±Þ½Ç ³»¿øÇÏ¿© ¹æ»ç¼±°Ë»ç ½ÃÇà ÈÄ Æ¯ÀÌ ¼Ò°ß ¾ø¾î ³»¿ø


ÀÌÇÐÀû °Ë»ç
¹«¸­ÀÇ ½ÉÇÑ ºÎÁ¾, Àü¹ÝÀûÀÎ ¾ÐÅë, ±¼°îÁ¦ÇÑ, üÁß ÁöÁö°¡ ¾ÈµÇ¾î °ÉÀ» ¼ö ¾øÀ½


ÃÊÀ½ÆÄ °Ë»ç
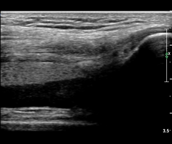
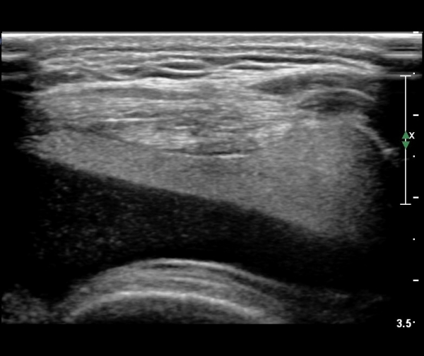
¹«¸­ ÃøºÎ Á¾´Ü¸é°Ë»ç¿¡¼­ °í¿¡ÄÚ ¼ö¾×Àý·ù°¡ °üÂûµÊ( »çÁø 1).


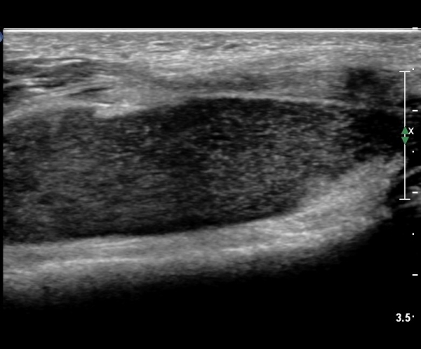
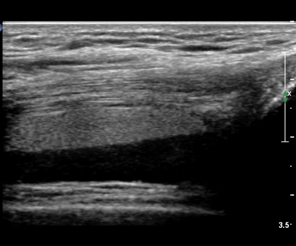
¹«¸­ Àü¸éºÎ Á¾´Ü¸é°Ë»ç¿¡¼­ °üÀý³» ¼ö¾×Àú·ù°¡ °üÂûµÇ´Âµ¥ ¼ö¾×Àú·ù Ç¥Ãþ¿¡ °í¿¡ÄÚ Áö¹æÃþÀÌ °üÂûµÊ(»çÁø 2, 3)


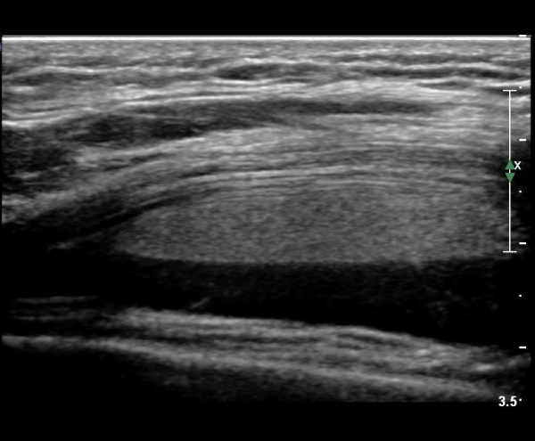
¹«¸­ Àü¸éºÎ Ⱦ´Ü¸é°Ë»ç¿¡¼­ °üÀý³» ¼ö¾×Àú·ù°¡ °üÂûµÇ´Âµ¥ ¼ö¾×Àú·ù Ç¥Ãþ¿¡ °í¿¡ÄÚ Áö¹æÃþÀÌ °üÂûµÊ(»çÁø 4, 5)


´Ü¼ø¹æ»ç¼±°Ë»ç
ƯÀÌ ¼Ò°ß ¾øÀ½, 1ÁÖ ÈÄ ÃßÀû°Ë»ç »çÁø¿¡¼­ ¹æ»ç¼±°¨¼âÀ½¿µÀ» º¸ÀÓ(»çÁø 6, 7)


ÀÚ±â°ø¸í°Ë»ç
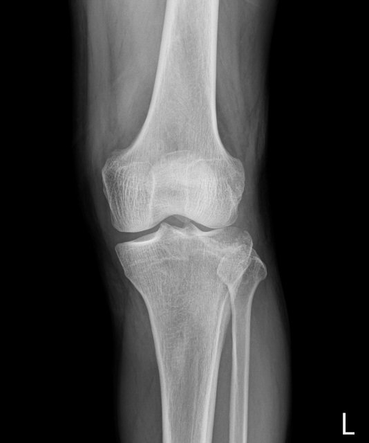
°æ°ñ ¿ÜÃøºÎ ¾Ð¹Ú°ñÀýÀÌ °üÂûµÊ(»çÁø 8, 9, 10)


Ä¡·á
Ç÷Á¾ ÈíÀÎ(°íÂû »çÁø ) ÈÄ ÀÚ±â°ø¸í°Ë»ç·Î °ñÀý È®ÀÎÇÏ¿© ¼ö¼úÄ¡·á À§ÇØ Àü¿ø



 



2049205267_HmgA7r1R_ap3Ds.jpg


2049205267_NBiMocFs_lat-s.jpg


2049205267_8CFPLBfD_MR175411182.jpg


2049205267_MLfl4aE9_MR175411184.jpg


2049205267_fOYphWd7_MR175429223.jpg


½ÉÇÑ °üÀý³» ºÎÁ¾¿¡ ÀÇÇÑ ÅëÁõ °æ°¨ ¹× °üÀý³» ¼ö¾×ÀÇ Á¾·ù¸¦ È®ÀÎÇϱâ À§ÇØ ÈíÀÎÀ» ½ÃÇàÇÏ¿´´Ù.

°üÀý ÈíÀÎ °á°ú ´Ù·®ÀÇ Ç÷¾×¼ººÐÀ» ÈíÀÎÇÏ¿© ÃÊÀ½ÆÄ¿¡¼­ º¸¿©ÁØ Ç÷Á¾À» È®ÀÎÇϰí

°üÀý³» ÃâÇ÷ÀÇ ¿øÀÎÀ» ±Ô¸íÇϱâ À§ÇØ ÀÚ±â°ø¸í°Ë»ç¸¦ ½ÃÇàÇÑ °á°ú °æ°ñÀÇ °üÀý³» ¾Ð¹Ú°ñÀýÀ»

È®ÀÎÇÏ°í ¼ö¼úÄ¡·á¸¦ À§ÇØ Àü¿øÇÏ¿´´Ù.

¿Ü»ó ÈÄ °üÀý³» ºÎÁ¾À» º¸ÀÌ´Â °æ¿ì ÃÊÀ½ÆÄ°Ë»ç¸¦ ½ÃÇàÇÏ¿© °üÀý ¼ö¾×¿¡¼­  Áö¹æÃþÀÌ º¸ÀÌ´Â °æ¿ì´Â

°üÀý³» °ñÀýÀ» ¾Ï½ÃÇÏ´Â °­·ÂÇѼҰßÀ̹ǷΠÁï°¢ÀûÀ¸·Î ÀÚ±â°ø¸í°Ë»ç¸¦ ½ÃÇàÇÏ¿© °ñÀý È®ÀÎ ÈÄ

°ñÀýÀÌ È®ÀεǸé Áï½Ã ¼ö¼úÄ¡·á¸¦ ½ÃÇàÇÏ¿©¾ß ÇÑ´Ù.

 

 

2049205267_5c94c151_2049205267_XZNFAQg4_20150811_151917-s.jpg

2049205267_99864f45_2049205267_UBNfeG0P_20150811_152040-s.jpg


ÀÌÀü±Û °í°üÀý ÅðÇ༺°üÀý¿°°ú º´º°µÈ ¼®È¸È­¼º ¿ä±ÙÁ¡¾×³¶¿°
´ÙÀ½±Û ÀüÇÏÀå°ñ±Ø °ß¿­°ñÀý(avulsion fracture of anterior inferior iliac spine)
       
°¡¸ÍÁ¡¸í : ½Ã¸®¾Ç½ºÁ¤ÇüÀÇÇבּ¸È¸
»ç¾÷ÀÚµî·Ï¹øÈ£ : 894-81-00627 | ´ëÇ¥ÀÚ : ÀåµÎÇõ
 
ÁÖ¼Ò : °æ±âµµ ¾çÆò±º ¿ë¹®¸é ¿ë¹®·Î 375-1, 2Ãþ 1È£
TEL : 010-2323-4055
E-mail : cyriax12@naver.com
ÀԱݾȳ»
±¹¹ÎÀºÇà | ½Ã¸®¾Ç½ºÁ¤ÇüÀÇÇבּ¸È¸(ÁÖ)
220401-04-194155