[ÆÈ²ÞÄ¡] ±Þ¼º ÆÈ²ÞÄ¡ °üÀý³» Ç÷Á¾(acute hemarthrosis of elbow)
ÀÛ¼ºÀÚ : °ü¸®ÀÚ(khu3265442@naver.com) ÀÛ¼ºÀÏ : 2015-10-05 Á¶È¸¼ö : 8766
ÆÄÀÏ÷ºÎ : [mix]SY KIM EL20150918175316045 (1).avi

¼ºº° / ³ªÀÌ
³²ÀÚ/ 49¼¼


ÁÖÁõ»ó
¿ìÃø ÆÈ²ÞÄ¡ ÅëÁõ(1ÀÏ)


º´·Â
¿ÀÀü¿¡ ¤°í ³Ñ¾îÁø ÈÄ °æ¹ÌÇÑ ÅëÁõÀÌ ÀÖÀº ÈÄ ¿ÀÈÄ¿¡ ÅëÁõÀÌ ½ÉÇØÁö°í ÆÈ²ÞÄ¡¸¦ ±¸ºÎ¸± ¼ö ¾øÀ½


ÀÌÇÐÀû °Ë»ç
ÆÈ²ÞÄ¡ ±¼°î 30µµ~100µµ Á¤µµÀÇ °üÀý°¡µ¿¹üÀ§ Á¦ÇÑÀ» º¸À̳ª ±¹¼ÒÀû ¾ÐÅëÀº ¶Ñ·ÈÇÏÁö ¾ÊÀ½.


ÃÊÀ½ÆÄ °Ë»ç
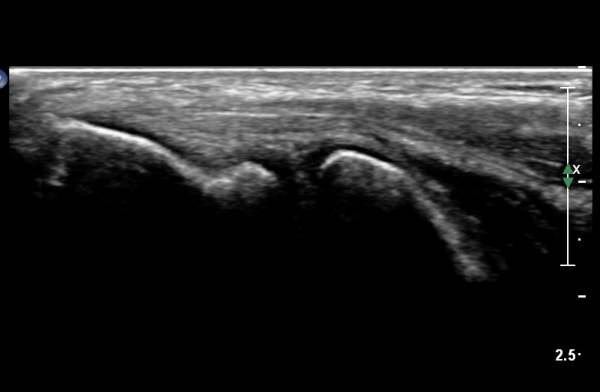
¿Ü»ó°ú¿Í ½ÅÀü°Ç Á¾´Ü¸é°Ë»ç¿¡¼­ ƯÀÌ ¼Ò°ß º¸ÀÌÁö ¾ÊÀ½(»çÁø 1)


³»»ó°ú¿Í ±¼°î°Ç Á¾´Ü¸é°Ë»ç¿¡¼­ ƯÀÌ ¼Ò°ß º¸ÀÌÁö ¾ÊÀ½(»çÁø2).


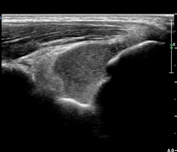
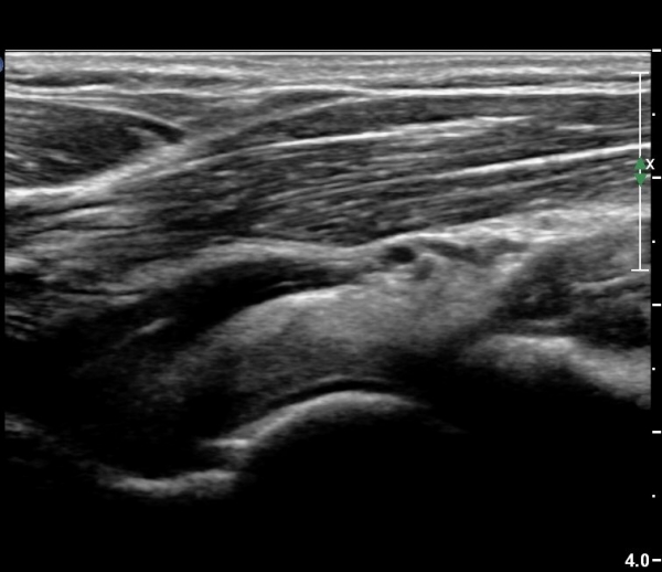
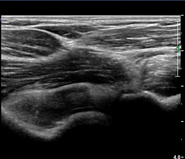
¼ÒµÎ Á¾´Ü¸é°Ë»ç¿¡¼­ ¼ÒµÎ¿Í ¿ä°ñµÎ Àü¹æ¿¡ ¼ö¾×Àú·ù°¡ °üÂûµÊ(»çÁø 3, 4).


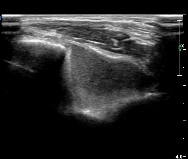
ÁÖµÎ¿Í Á¾´Ü¸é°Ë»ç¿Í Ⱦ´Ü¸é°Ë»ç¿¡¼­ ÁֵοͿ¡ ÀÌÁúÀû¿¡ÄÚ¸¦ º¸ÀÌ´Â

´Ù·®ÀÇ ¼ö¾×Àú·ù°¡ °üÂûµÊ(»çÁø 5, 6).


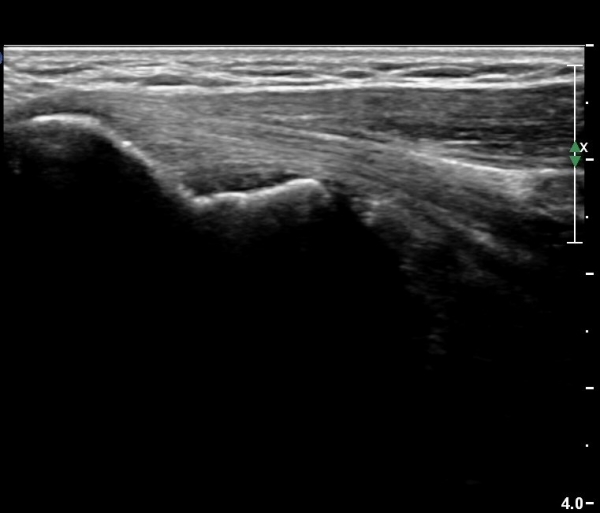
¿ä°ñµÎ Ⱦ´Ü¸é°Ë»ç¿Í Á¾´Ü¸é°Ë»ç¿¡¼­ ƯÀÌ ¼Ò°ß º¸ÀÌÁö ¾ÊÀ½(»çÁø ¾øÀ½)


´Ü¼ø¹æ»ç¼±°Ë»ç
ÀÌ»ó ¼Ò°ß ¾øÀ½


ÀÚ±â°ø¸í°Ë»ç


Ä¡·á
ÃÊÀ½ÆÄ À¯µµÇÏ(»çÁø 7)¿¡ ¾à 17cc Ç÷¾× ÈíÀÎ(»çÁø 8)ÇÑ ÈÄ ºÎ¸ñ °íÁ¤ ¹× Åõ¾à



 


¹«¸­, ¹ß¸ñ, ÆÈ²ÞÄ¡¿¡ ´ÙÄ£ ÈÄ Áï°¢ÀûÀÎ ºÎÁ¾ÀÌ ¹ß»ýÇÏÁö ¾Ê°í ÇÏ·ç Á¤µµ Áö³ª ½ÉÇÑ ÅëÁõ°ú

±â´ÉÀå¾Ö°¡ ¹ß»ýÇÏ´Â °æ¿ì´Â °üÀý³» ÃâÇ÷ º¸´Ù´Â Ȱ¾×¸·¿°¿¡ ÀÇÇÑ ÅëÁõÀÏ °¡´É¼ºÀÌ ³ô´Ù.

º» Áõ·Ê¿¡¼­´Â ´ÙÄ£ ÈÄ Áï°¢ÀûÀ¸·Î ½ÉÇÑ ÅëÁõÀÌ ¹ß»ýÇÏÁö ¾Ê°í ¼ö½Ã°£ Áö³­ ÈÄ ÅëÁõÀÌ

½ÉÇØÁö°í ±â´ÉÀå¾Ö°¡ ¹ß»ýÇÏ¿© °üÀý³» ¼Õ»ó¿¡ ÀÇÇÑ °üÀý³» ÃâÇ÷ÀÌ ÀǽɵǴ »óÅ·ΠÆÇ´ÜÇÒ ¼ö

ÀÖ´Ù.


ÃÊÀ½ÆÄ°Ë»ç¿¡¼­ ÀÌÁúÀûÀÎ °í¿¡ÄÚ ¼ö¾×Àú·ù´Â ÀüÇüÀûÀÎ ±Þ¼º °üÀý³» ÃâÇ÷ ¼Ò°ßÀÌ´Ù.

ÀÌ·± ¼Ò°ßÀ» º¸ÀÌ´Â °æ¿ì¿¡´Â °üÀý³» °ñÀýÀ» ÀǽÉÇÏ°í °ñÀý È£¹ß ºÎÀ§¸¦ ¼¼½ÉÇÏ°Ô °Ë»çÇØ¾ß

Çϴµ¥ ÆÈ²ÞÄ¡¿¡¼­´Â ¿ä°ñµÎ, ¼ÒµÎ, ±¸»óµ¹±â(coronoid process), ÁÖµÎ, ³»»ç°ú, ¿Ü»ó°ú¸¦

öÀúÈ÷ È®ÀÎÇØ¾ß ÇÑ´Ù.


ÃÊÀ½ÆÄ°Ë»ç¿¡¼­ °ñÀýÀÌ È®ÀεÇÁö ¾Ê´õ¶óµµ °ñÀý ÃßÁ¤ÇÏ¿¡ ºÎ¸ñ°íÁ¤ ÈÄ °æ°ú¸¦ °üÂûÇØ¾ß ÇÑ´Ù.

º» Áõ·Ê¿¡¼­´Â 1ÁÖ ÈÄ °üÀý°¡µ¿¹üÀ§°¡ °ÅÀÇ È¸º¹µÇ°í Ãß°¡ÀûÀÎ ÃâÇ÷µµ ¾ø¾úÀ¸³ª 2ÁÖ°£

ºÎ¸ñ°íÁ¤À» ½ÃÇàÇÏ¿´´Ù.


2ÁÖ ÈÄ ÃßÀû°Ë»ç¿¡¼­ ¿ä°ñµÎ¿¡ ¹Ì¼¼ÇÑ °ß¿­°ñÀýÀÌ ÀǽɵǾúÀ¸³ª ȯÀÚ°¡ Ãß°¡ÀûÀÎ °Ë»ç¸¦

°ÅºÎÇÏ¿© °æ°ú°üÂû ÇÏ¿´´Ù.



ÀÌÀü±Û ³ëÀÎÀÇ È¸Àü±Ù°³ ÆÄ¿­¿¡ µ¿¹ÝµÈ ¾î±ú °üÀý¿°È¯ÀÚÀÇ Ä¡·á °æ°ú
´ÙÀ½±Û °í°üÀý ÅðÇ༺°üÀý¿°°ú º´º°µÈ ¼®È¸È­¼º ¿ä±ÙÁ¡¾×³¶¿°
       
°¡¸ÍÁ¡¸í : ½Ã¸®¾Ç½ºÁ¤ÇüÀÇÇבּ¸È¸
»ç¾÷ÀÚµî·Ï¹øÈ£ : 894-81-00627 | ´ëÇ¥ÀÚ : ÀåµÎÇõ
 
ÁÖ¼Ò : °æ±âµµ ¾çÆò±º ¿ë¹®¸é ¿ë¹®·Î 375-1, 2Ãþ 1È£
TEL : 010-2323-4055
E-mail : cyriax12@naver.com
ÀԱݾȳ»
±¹¹ÎÀºÇà | ½Ã¸®¾Ç½ºÁ¤ÇüÀÇÇבּ¸È¸(ÁÖ)
220401-04-194155