[¹«¸­] ½½°³°ñ °ñÀý ¼ö¼ú ÈÄ ÅëÁõÄ¡·á; º¹Àç½Å°æ Â÷´Ü¼ú
ÀÛ¼ºÀÚ : °ü¸®ÀÚ(khu3265442@naver.com) ÀÛ¼ºÀÏ : 2015-11-19 Á¶È¸¼ö : 5281
ÆÄÀÏ÷ºÎ : [mix]DS LIM KN20151118145818476.avi

¼ºº° / ³ªÀÌ
³²ÀÚ 47¼¼


ÁÖÁõ»ó
ÁÂÃø ¹«¸­ ÅëÁõ ¹× ¿îµ¿Àå¾Ö


º´·Â
³Ñ¾îÁ® ´ÙÃÄ ½½°³°ñ°ñÀý ¹ß»ýÇÏ¿© Ÿº´¿ø¿¡¼­ ¼ö¼ú ÈÄ ½ÉÇÑÅëÁõ°ú º¸Çà Àå¾Ö¸¦ ÁÖ Áõ»óÀ¸·Î ³»¿ø


ÀÌÇÐÀû °Ë»ç
°üÀýÀÇ ºÎÁ¾À» º¸ÀÌ°í ¼ö¾×Àú·ù°¡ ÃËÁøµÊ. ¹«¸­ ±¼°îÀº 30~60µµ·Î ½ÉÇÑ Á¦ÇÑÀ» º¸ÀÓ


ÃÊÀ½ÆÄ °Ë»ç
¹«¸­ ¿ÜÃø Á¾´Ü¸é°Ë»ç¿¡¼­ °üÀý³» ¼ö¾×Àú·ù°¡ °üÂûµÊ(»çÁø 1, 2).


¹«¸­À§  ³»Ãø sartorius Ⱦ´Ü¸é°Ë»ç¿¡¼­ sartorius¿Í ³»Ãø ±¤±Ù »çÀÌ¿¡¼­ saphenous ½Å°æÀÇ ½½°üÀý ºÐÁö°¡ °üÂûµÊ(»çÁø 3).


ÃÊÀ½ÆÄ À¯µµÇÏ(»çÁø 5)¿¡ ½½°üÀý ºÐÁö ½Å°æÂ÷´Ü¼úÀ» ½ÃÇàÇÔ(»çÁø 4, ÷ºÎ µ¿¿µ»ó).


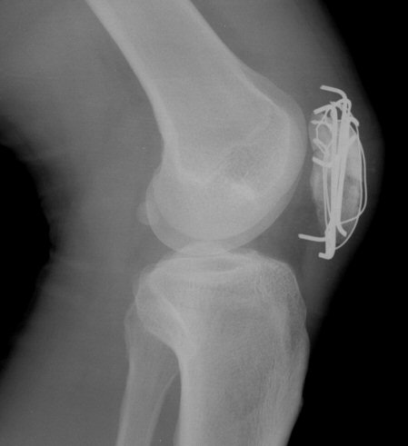
´Ü¼ø¹æ»ç¼±°Ë»ç
½½°³°ñ °ñÀý °íÁ¤ ÀåÄ¡°¡ °üÂûµÊ(»çÁø 6, 7)


ÀÚ±â°ø¸í°Ë»ç


Ä¡·á
º¹Àç½Å°æ ½½°í³ªÀýºÐÁö Â÷´Ü¼ú(»çÁø 4, 5, ÷ºÎµ¿¿µ»ó)



 


 

1893637844_DveBHMAu_20151118_145126-s.jpg

1893637844_xUfWcj7h_CR153150519-s.jpg

1893637844_tsmzWFUj_CR153151520-s.jpg

¹«¸­ ÅëÁõÀÌ ½ÉÇÑ °æ¿ì º¹Àç½Å°æ ªF°£¼ú¤·¤© ½ÃÇàÇÒ ¼ö Àִµ¥ Åë»óÀûÀÎ ½Å°æÂ÷´Ü¼ú ½ÃÇà

ºÎÀ§¿¡¼­ ½ÃÇàÇÏ¸é ½Å°ÜÂ÷´Ü¼ú ÈÄ ¾Æ·§´Ù¸® ³»ÃøÀÇ °¨°¢ÀÌ ¶³¾îÁö°Å³ª À̻󰨰¢ÀÌ ¹ß»ýÇÒ ¼ö ÀÖ´Ù.

ÃÊÀ½ÆÄ·Î º¸Àç½Å°ÜÀ» °üÂûÇÏ¿© º¹Àç½Å°æÀÌ ½½°üÀýºÐÁö¿Í ¸»´Ü°¡Áö·Î ºÐ¸®µÈ ÈÄ ½½°üÀýºÐÁö¿¡

½Å°æÂ÷´Ü¼úÀ» ½ÃÇàÇϸé Â÷´Ü¼ú ÈÄ ¾Æ·§´Ù¸®¿¡ ¹ß»ýÇÒ ¼ö ÀÖ´Â °¨°¢ÀÌ»óÀ» ¿¹¹æÇÒ ¼ö ÀÖ´Ù.

ÀÌÀü±Û ¾çÃø ÀÌµÎ¹Ú±Ù°Ç ºÎºÐ ÆÄ¿­ ÃÊÀ½ÆÄ°Ë»ç
´ÙÀ½±Û ³ëÀÎÀÇ È¸Àü±Ù°³ ÆÄ¿­¿¡ µ¿¹ÝµÈ ¾î±ú °üÀý¿°È¯ÀÚÀÇ Ä¡·á °æ°ú
       
°¡¸ÍÁ¡¸í : ½Ã¸®¾Ç½ºÁ¤ÇüÀÇÇבּ¸È¸
»ç¾÷ÀÚµî·Ï¹øÈ£ : 894-81-00627 | ´ëÇ¥ÀÚ : ÀåµÎÇõ
 
ÁÖ¼Ò : °æ±âµµ ¾çÆò±º ¿ë¹®¸é ¿ë¹®·Î 375-1, 2Ãþ 1È£
TEL : 010-2323-4055
E-mail : cyriax12@naver.com
ÀԱݾȳ»
±¹¹ÎÀºÇà | ½Ã¸®¾Ç½ºÁ¤ÇüÀÇÇבּ¸È¸(ÁÖ)
220401-04-194155