[ÆÈ²ÞÄ¡] ¾çÃø ÀÌµÎ¹Ú±Ù°Ç ÆÄ¿­ ÃÊÀ½ÆÄ°Ë»ç 2
ÀÛ¼ºÀÚ : °ü¸®ÀÚ(khu3265442@naver.com) ÀÛ¼ºÀÏ : 2016-02-23 Á¶È¸¼ö : 4290
ÆÄÀÏ÷ºÎ :

¼ºº° / ³ªÀÌ
¿©ÀÚ/70¼¼


ÁÖÁõ»ó
ÁÂÃø ÆÈÀÇ ±Ù¾àÁõ(±â°£ : 3°³¿ù)


º´·Â
Æò¼Ò ÆÈÀ» ¸¹ÀÌ ¾²´Â ÀÛ¾÷À» Çϴ ȯÀÚ´Â ¾î´À³¯ºÎÅÍ ÁÂÃø ÆÈÀÇ ÈûÀÌ ¾ø¾î ¹°°ÇÀ» µé ¼ö°¡ ¾ø¾î
Ÿº´¿ø ³»¿øÇÏ¿© ¸ñ °Ë»ç ÈÄ ±ÙÀüµµ°Ë»ç ±Ç°í ¹Þ°í ³»¿ø.


ÀÌÇÐÀû °Ë»ç
ÆÈ²ÞÄ¡ °üÀý °¡µ¿¹üÀ§ Á¦ÇÑÀº º¸ÀÌÁö ¾Ê°í ÆÈ²ÞÄ¡ ±¼°î°ú ȸ¿Ü ½Ã ½ÉÇÑ ±Ù¾àÁõÀ» º¸ÀÓ.


ÃÊÀ½ÆÄ °Ë»ç
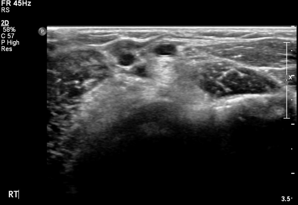
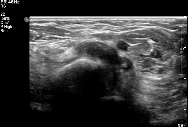
ÆÈ²ÞÄ¡ ¾Õ ÀÌµÎ¹Ú±Ù°Ç È¸´Ü¸ç°Ë»ç¿¡¼­ ÀÌµÎ¹Ú±Ù°Ç ¿ÜÃø¿¡ ¼ö¾×Àú·ù°¡ °üÂûµÊ(»çÁø 1).


ŽÃËÀÚ¸¦ ¸»´ÜºÎ·Î À̵¿ÇÏ´Ï ¿ä°ñµ¶±â ÀÌµÎ¹Ú±Ù°Ç ÂøºÎ¿¡¼­ °ÏÀÌ Àú¿¡ÄÚ ºÎÁ¾ »óÅ·Π°üÂûµÇ°í(»çÁø 2)


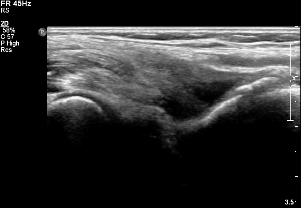
Á¶±Ý´õ ¸»´ÜÀ¸·Î À̵¿ÇÏ´Ï °ÇÀÌ °üÂûµÇÁö ¾ÊÀ½(»çÁø 3).


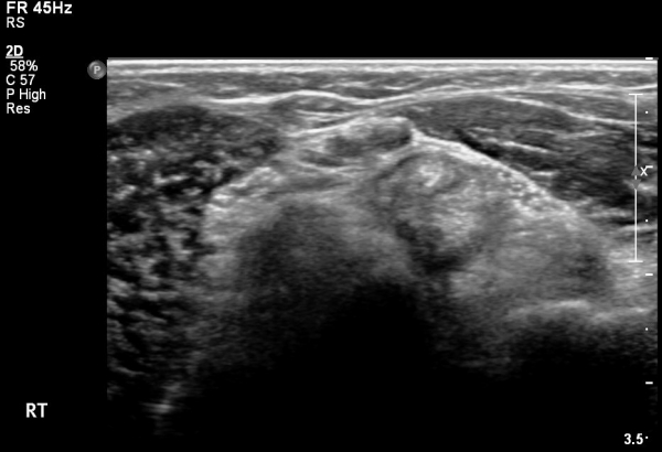
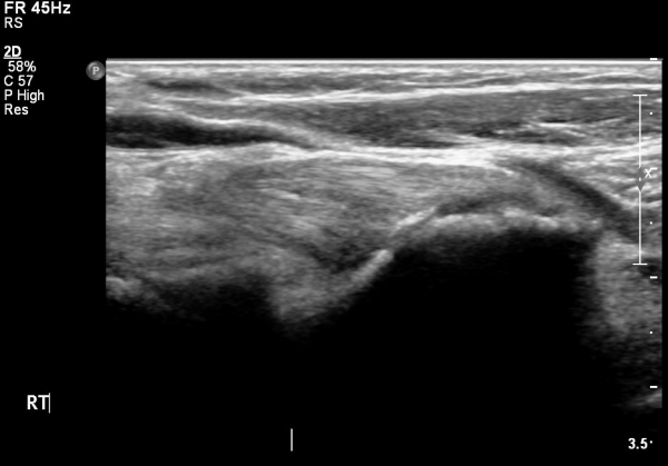
ÀÌµÎ¹Ú±Ù°Ç Á¾´Ü¸é°Ë»ç¿¡¼­ ¿ä°ñµ¹±âÀÇ µ¹Ãâ°ú °ñ±ØÀÌ °üÂûµÇ°í À̵θ·±Ù°ÇÀº Àú¿¡ÄÚ ºÎÁ¾°ú ¿¬°á ¼Ò½ÇÀÌ °üÂûµÊ(»çÁø 4, 5).


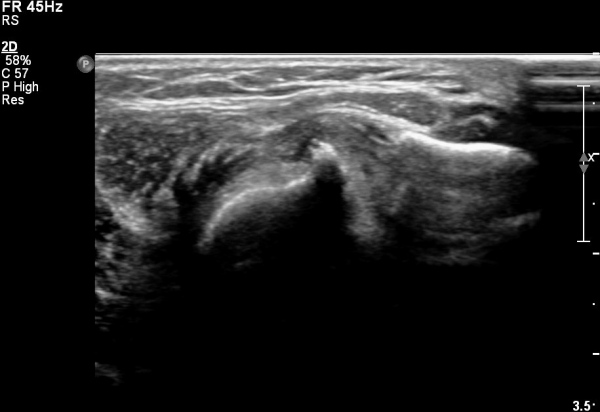
Àü¿ÏÀ» ȸ³»ÇÑ »óÅ¿¡¼­ ÆÈ²ÞÄ¡ µÚÂÊ¿¡¼­ ¿ä°ñµ¹±âÀÇ µ¹Ãâ°ú ÀÌµÎ¹Ú±Ù°Ç ºÎÂøºÎÀÇ Àú¿¡ÄÚ ºÎÁ¾ÀÌ °üÂûµÊ(»çÁø 6).


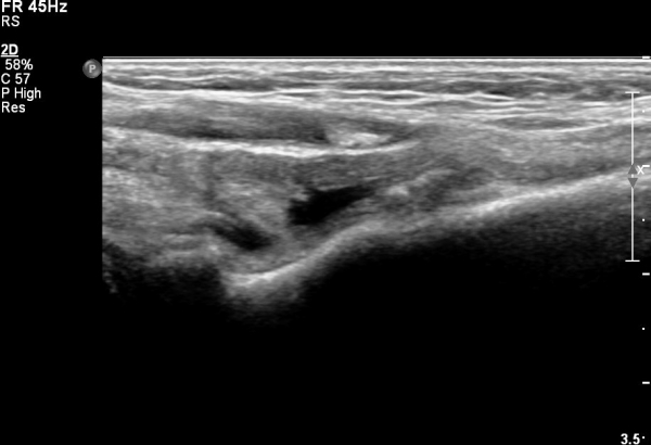
¿ìÃø ÆÈ²ÞÄ¡ ¾ÕÂÊ ÀÌµÎ¹Ú±Ù°Ç È¾´Ü¸é°Ë»ç¿¡¼­   ÀÌµÎ¹Ú±Ù°Ç ÁÖÀ§ ¼ö¾×Àú·ù¿Í ÀÌµÎ¹Ú±Ù°Ç ºÎÁ¾ÀÌ °üÂûµÊ(»çÁø 7, 8).


ÀÌµÎ¹Ú¹Ú±Ù°Ç ºÎÂøºÎ¿¡¼­ ¿ä°ñµ¹±â °ñ±Ø°ú ÀÌµÎ¹Ú±Ù°Ç Àú¿¡ÄÚ ºÎÁ¾ÀÌ °üÂûµÊ(»çÁø 9).


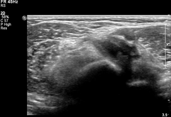
ÀÌµÎ¹Ú±Ù°Ç Á¾´Ü¸é°Ë»ç¿¡¼­ ¿ä°ñµ¹±â µ¹Ãâ, À̵ιڱٰÇÀÇ ºÎÁ¾ ¹× ¿¬°á¼º ¼Ò½ÇÀÌ °üÂûµÊ(»çÁø 10).


´Ü¼ø¹æ»ç¼±°Ë»ç
½ÃÇàÇÏÁö ¾ÊÀ½


ÀÚ±â°ø¸í°Ë»ç
½ÃÇàÇÏÁö ¾ÊÀ½


Ä¡·á
ÀÇ·ÚÇÑ º´¿øÀ¸·Î Àü¿ø



 


ȸÀü±Ù°³ ÆÄ¿­°ú ¸¶Âù°¡Áö·Î ÀÌµÎ¹Ú±Ù°Ç ÆÄ¿­µµ ¾çÃø¼ºÀ¸·Î ¹ß»ýÇÏ´Â °æ¿ì°¡ ¸¹À¸¹Ç·Î ÇÑÃø¿¡¼­ °Ç ÆÄ¿­¸®

°üÂûµÇ´Â °æ¿ì ¹Ý´ëÃøµµ ¹Ýµå½Ã °Ë»çÇÏ¿© Ä¡·áÇÏ´Â °ÍÀÌ ÇÊ¿äÇϸç,

ÀÌ·¸°Ô ¾çÃø¼ºÀ¸·Î ¹ß»ýÇÏ´Â ÁúȯÀº ¹ß»ý ±âÀüÀ¸·Î ȯÀÚÀÇ Á÷¾÷¼º Ư¡À̳ª ½À°ü µîÀ» °í·ÁÇÏ¿©
Ä¡·á¿¡ ¹Ý¿µÇÏ¿©¾ß ÇÑ´Ù.

ÀÌÀü±Û ÆÈ²ÞÄ¡ °üÀý³» ºÎÁ¾À» µ¿¹ÝÇÑ ¿Ü»ó°ú¿°
´ÙÀ½±Û ¾çÃø ÀÌµÎ¹Ú±Ù°Ç ºÎºÐ ÆÄ¿­ ÃÊÀ½ÆÄ°Ë»ç
       
°¡¸ÍÁ¡¸í : ½Ã¸®¾Ç½ºÁ¤ÇüÀÇÇבּ¸È¸
»ç¾÷ÀÚµî·Ï¹øÈ£ : 894-81-00627 | ´ëÇ¥ÀÚ : ÀåµÎÇõ
 
ÁÖ¼Ò : °æ±âµµ ¾çÆò±º ¿ë¹®¸é ¿ë¹®·Î 375-1, 2Ãþ 1È£
TEL : 010-2323-4055
E-mail : cyriax12@naver.com
ÀԱݾȳ»
±¹¹ÎÀºÇà | ½Ã¸®¾Ç½ºÁ¤ÇüÀÇÇבּ¸È¸(ÁÖ)
220401-04-194155