[ÆÈ²ÞÄ¡] ÆÈ²ÞÄ¡ °üÀý³» ºÎÁ¾À» µ¿¹ÝÇÑ ¿Ü»ó°ú¿°
ÀÛ¼ºÀÚ : °ü¸®ÀÚ(khu3265442@naver.com) ÀÛ¼ºÀÏ : 2016-02-23 Á¶È¸¼ö : 3958
ÆÄÀÏ÷ºÎ :

¼ºº° / ³ªÀÌ
³²ÀÚ/39


ÁÖÁõ»ó
¿ìÃø ÆÈ²ÞÄ¡ ÅëÁõ(±â°£ : 1ÁÖ)


º´·Â
Á÷¾÷ÀÌ ¸ñ½º·Î ÆÈÀ» ¸¹ÀÌ ¾´´Àµ¥ °©ÀÚ±â ÆÈ±ÀÄ¡ ÅëÁõÀÌ ¹ß»ý


ÀÌÇÐÀû °Ë»ç
°æ¹ÌÇÑ °üÀý°¡µ¿¹üÀ§ Á¦ÇÑÀ» º¸ÀÌ°í ¿Ü»ó°ú¿¡ ±¹¼ÒÀû ¾ÐÅëÀÌ ¶Ñ·ÈÇϰí ÀúÇ׿¡ ´ëÇÑ ÆÈ²ÞÄ¡ ½ÅÀü ½Ã ÅëÁõ°ú ±Ù¾àÁõÀ» º¸ÀÓ.


ÃÊÀ½ÆÄ °Ë»ç
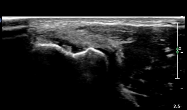
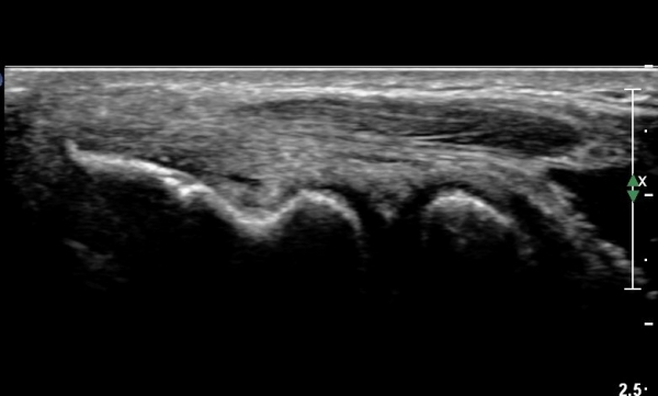
¿Ü»ó°ú Á¾´Ù¸é°Ë»ç¿¡¼­ ªÀº¼Õ¸ñ½ÅÀü°Ç ºÎÂøºÎ¿¡ ±¹¼ÒÀûÀÎ Àú¿¡ÄÚ º¯È­°¡ °üÂûµÊ(»çÁø 1, 2).


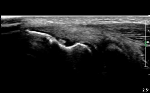
ŽÃËÀÚ¸¦ ¾à°£ ¿ÜÃøÀ¸·Î À̵¿ÇÏ´Ï °Ë ºÎÂøºÎ¿Í ÀÎ´ë ºÎÂøºÎÀÇ  ¹Ì¼¼ÇÑ ÆÄ¿­ÀÌ °üÂûµÈ´Ù(»çÁø 3).


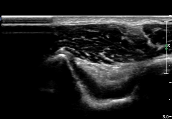
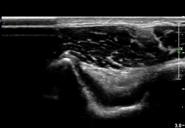
Á¶±Ý ´õ ¿ÜÃøÀ¸·Î À̵¿ÇÏ¿© °üÂûÇÏ´Ï °Ç°ú ÀδëÀÇ ÆÄ¿­ÀÌ ¶Ñ·ÈÇÏ´Ù(»çÁø 4, 5).


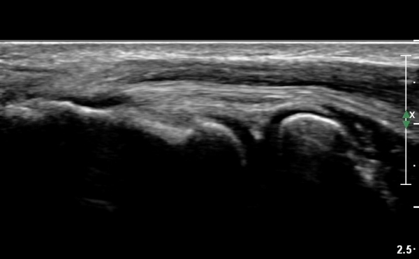
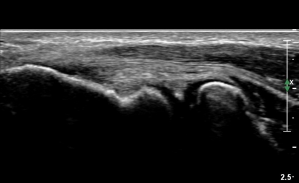
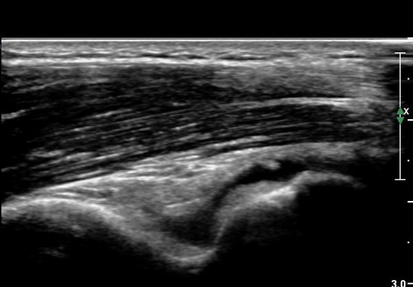
ÁÖµÎ¿Í Á¾´ã¸é°Ë»ç¿Í Ⱦ´Ü¸é°Ë»ç¿¡¼­ ÁֵοͿ¡ ¼ö¾×Àú·ù°¡ °üÂûµÊ(»çÁø 6, 7).


´Ü¼ø¹æ»ç¼±°Ë»ç
½ÃÇàÇÏÁö ¾ÊÀ½


ÀÚ±â°ø¸í°Ë»ç
½ÃÇàÇÏÁö ¾ÊÀ½


Ä¡·á
rest, ¾à¹°Ä¡·á



 


¿Ü»ó°ú¿°°ú ÆÈ²ÞÄ¡°üÀý Ȱ¾×¸·¿°ÀÌ µ¿¹ÝµÇ¾î ÀÖ´À °æ¿ì¸¦ µå¹°Áö ¾Ê°Ô º¼ ¼ö Àִµ¥
´ëºÎºÐ ½ÉÇÏ°í ¸¸¼ºÀûÀÎ ¿Ü»ó°ú¿° ½Ã  º¼ ¼öÀÖ´Ù.

º» Áß·Ê¿Í °°ÀÌ ±Þ¼º±â ¿Ü»ó°ú¿°¿¡¼­ Ȱ¸Æ¸·¿°ÀÌ µ¿¹ÝµÇ¾ú´Ù¸ç ¿ÜÃøºÎÀÎ´ë ÆÄ¿­À»
¼¼¹ÐÈ÷ È®ÀÎÇØ¾ß ÇÑ´Ù.

ÀÌÀü±Û ¼Õ¸ñ½ÅÀü°Ç°ú ¿ÜÃø ÃøºÎÀÎ´ë ÆÄ¿­ ÃÊÀ½ÆÄ°Ë»ç
´ÙÀ½±Û ¾çÃø ÀÌµÎ¹Ú±Ù°Ç ÆÄ¿­ ÃÊÀ½ÆÄ°Ë»ç 2
       
°¡¸ÍÁ¡¸í : ½Ã¸®¾Ç½ºÁ¤ÇüÀÇÇבּ¸È¸
»ç¾÷ÀÚµî·Ï¹øÈ£ : 894-81-00627 | ´ëÇ¥ÀÚ : ÀåµÎÇõ
 
ÁÖ¼Ò : °æ±âµµ ¾çÆò±º ¿ë¹®¸é ¿ë¹®·Î 375-1, 2Ãþ 1È£
TEL : 010-2323-4055
E-mail : cyriax12@naver.com
ÀԱݾȳ»
±¹¹ÎÀºÇà | ½Ã¸®¾Ç½ºÁ¤ÇüÀÇÇבּ¸È¸(ÁÖ)
220401-04-194155