[¼Õ¸ñ] ¼Õ¸ñ½ÅÀü°Ç°ú ¿ÜÃø ÃøºÎÀÎ´ë ÆÄ¿­ ÃÊÀ½ÆÄ°Ë»ç
ÀÛ¼ºÀÚ : °ü¸®ÀÚ(khu3265442@naver.com) ÀÛ¼ºÀÏ : 2016-02-23 Á¶È¸¼ö : 3722
ÆÄÀÏ÷ºÎ :

¼ºº° / ³ªÀÌ
³²ÀÚ/32


ÁÖÁõ»ó

ÁÂÃø ÆÈ²ÞÄ¡ ÅëÁõ(1ÀÏ)


º´·Â

1ÀÏÀü ÀÛ¾÷ Áß ¹°°ÇÀ» ´ç±â´Âµ¥ ÆÈ²ÞÄ¡¿¡¼­ ¿ìµÎµæ ¼Ò¸®°¡ ³­ ÈÄ ÅëÁõÀÌ ¹ß»ý


ÀÌÇÐÀû °Ë»ç
ÆÈ²ÞÄ¡ °üÀý°¡µ¿ ¹üÀ§ Á¦ÇÑÀÌ ¶Ñ·ÈÇÏ°í ºÎÁ¾ÀÌ °üÂûµÊ. ÀúÇÏ¿¡ ´ëÇÑ ¼Õ¸ñ ½ÅÀü ½Ã ±Ù¾àÁõÀ» º¸ÀÓ.


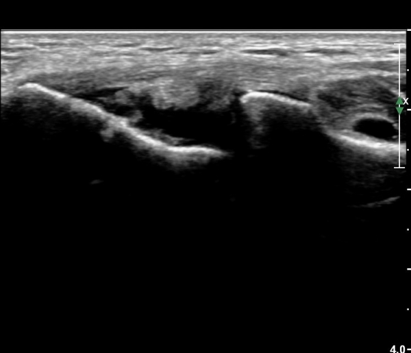
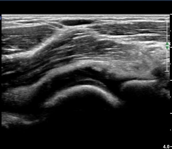
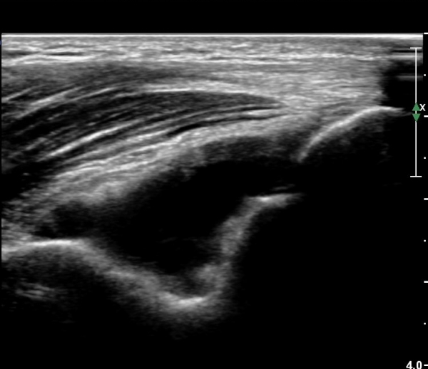
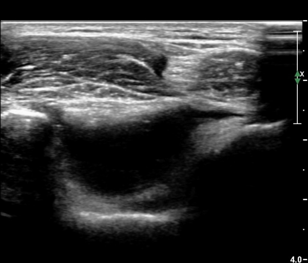
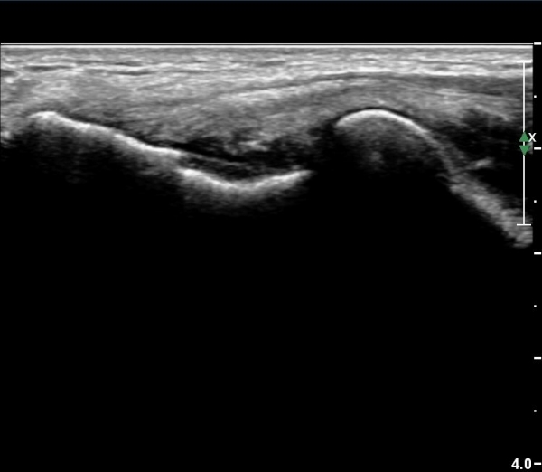
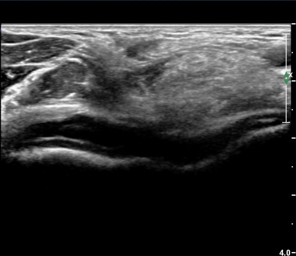
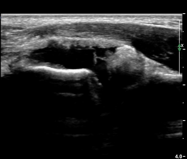
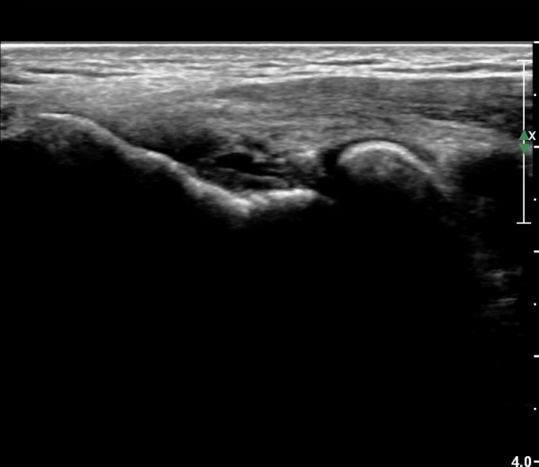
ÃÊÀ½ÆÄ °Ë»ç
ÆÈ²ÞÄ¡ ¾ÕÂÊ ¼ÒµÎ Á¾´Ü¸é°Ë»ç¿Í Ⱦ´Ü


ÀÌÀü±Û ³»»ó°ú¿° ÃÊÀ½ÆÄ°Ë»ç ¹× ÁÖ»çÄ¡·á
´ÙÀ½±Û ÆÈ²ÞÄ¡ °üÀý³» ºÎÁ¾À» µ¿¹ÝÇÑ ¿Ü»ó°ú¿°
       
°¡¸ÍÁ¡¸í : ½Ã¸®¾Ç½ºÁ¤ÇüÀÇÇבּ¸È¸
»ç¾÷ÀÚµî·Ï¹øÈ£ : 894-81-00627 | ´ëÇ¥ÀÚ : ÀåµÎÇõ
 
ÁÖ¼Ò : °æ±âµµ ¾çÆò±º ¿ë¹®¸é ¿ë¹®·Î 375-1, 2Ãþ 1È£
TEL : 010-2323-4055
E-mail : cyriax12@naver.com
ÀԱݾȳ»
±¹¹ÎÀºÇà | ½Ã¸®¾Ç½ºÁ¤ÇüÀÇÇבּ¸È¸(ÁÖ)
220401-04-194155