[¾î±ú] ´Ü¼ø¹æ»ç¼± ÃÔ¿µ¿¡¼­ º¸ÀÌ´Â µå¹® Ãæµ¹ÁõÈıº Áõ·Ê
ÀÛ¼ºÀÚ : °ü¸®ÀÚ(khu3265442@naver.com) ÀÛ¼ºÀÏ : 2016-04-27 Á¶È¸¼ö : 6296
ÆÄÀÏ÷ºÎ :

¼ºº° / ³ªÀÌ
¿©ÀÚ/ 42¼¼


ÁÖÁõ»ó
¿ìÃø ¾î±ú ÅëÁõ( ÇÑ´Þ)


º´·Â
¿Ü»ó(-). ÆÈÀ» µî±â ¾î·Æ´Ù, µÚ·Î µ¹¸®¸é ¾ÆÇÁ´Ù


ÀÌÇÐÀû °Ë»ç
°í³ªÀý°¡µ¿¹üÀ§ Á¦ÇÑ ¾ø´Ù. ¼öµ¿Àû, ´Éµ¿Àû ¿ÜÀü ½Ã ¾î±ú¿¡¼­ ÀâÀ½ÀÌ ´À²¸Áø´Ù.

ÀúÇ׿¡ ´ëÇÑ ¿ÜÀü ½Ã ÅëÁõÀÌ ÀÖ´Ù.


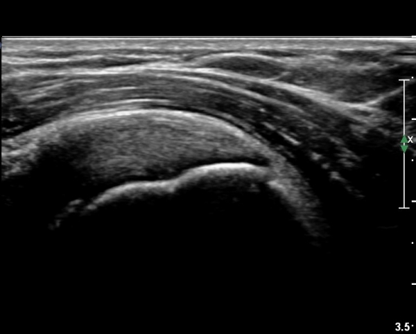
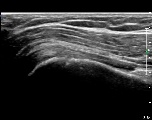
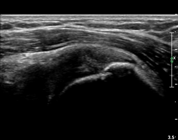
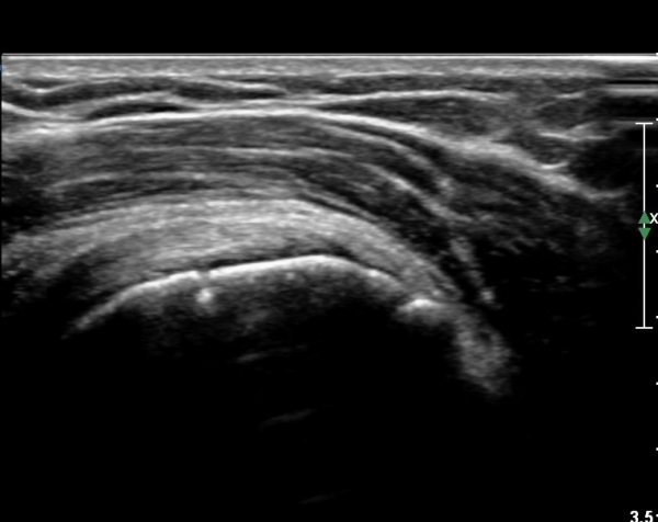
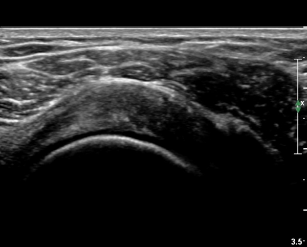
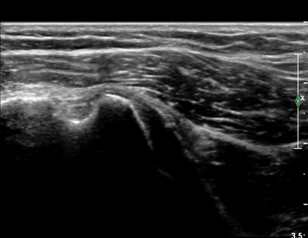
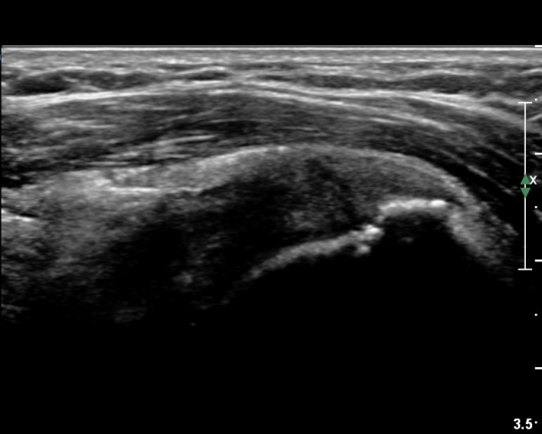
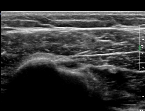
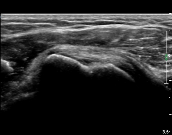
ÃÊÀ½ÆÄ °Ë»ç
¤¿


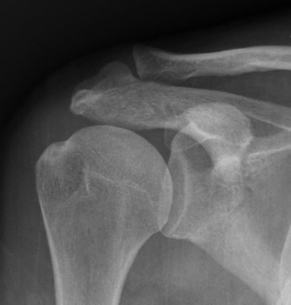
´Ü¼ø¹æ»ç¼±°Ë»ç
´ë°áÀý°ú °ßºÀÇϺο¡ ¹æ»ç¼± Åõ°ú¼º °¨¼Ò(sclerosis)°¡ °üÂûµÈ´Ù(÷ºÎÆÄÀÏ).


ÀÚ±â°ø¸í°Ë»ç


Ä¡·á
Áõ½ÄÄ¡·á, Ãæ°ÝÆÄÄ¡·á, ¿îµ¿Ä¡·á



 


ÀÌÀü±Û ¹ß¸ñÀÇ ´Ù¹ß¼ºÀü°æ°ñºñ°ñÀδë, Àü°ÅºñÀδë, Á¾°ñºñ°ñÀδë) ÀÎ´ë ¼Õ»ó
´ÙÀ½±Û ¹ß¸ñÀÇ ´Ù¹ß¼º ÀδëÆÄ¿­(¸»´Ü °æ°ñºñ°ñÀδë, Àü°ÅºñÀδë, Á¾°ñÀÔ¹æ°ñÀδë) ÃÊÀ½ÆÄ°Ë»ç
       
°¡¸ÍÁ¡¸í : ½Ã¸®¾Ç½ºÁ¤ÇüÀÇÇבּ¸È¸
»ç¾÷ÀÚµî·Ï¹øÈ£ : 894-81-00627 | ´ëÇ¥ÀÚ : ÀåµÎÇõ
 
ÁÖ¼Ò : °æ±âµµ ¾çÆò±º ¿ë¹®¸é ¿ë¹®·Î 375-1, 2Ãþ 1È£
TEL : 010-2323-4055
E-mail : cyriax12@naver.com
ÀԱݾȳ»
±¹¹ÎÀºÇà | ½Ã¸®¾Ç½ºÁ¤ÇüÀÇÇבּ¸È¸(ÁÖ)
220401-04-194155