[¾î±ú] ¾î±úÃæµ¹ÁõÈıº¿¡ ÀÇÇÑ ±Ø»ó°Ç ºÎºÐÆÄ¿­
ÀÛ¼ºÀÚ : °ü¸®ÀÚ(khu3265442@naver.com) ÀÛ¼ºÀÏ : 2016-08-15 Á¶È¸¼ö : 7784
ÆÄÀÏ÷ºÎ :

¼ºº° / ³ªÀÌ
³²ÀÚ/52


ÁÖÁõ»ó
¿ìÃø ¾î±úÀÇ ÅëÁõ(¼ö³â)


º´·Â
3


ÀÌÇÐÀû °Ë»ç
3


ÃÊÀ½ÆÄ °Ë»ç
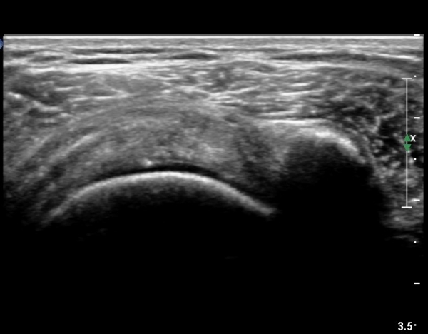
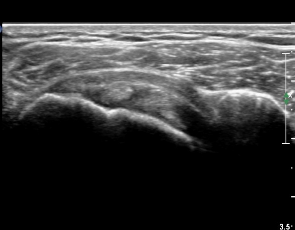
¿À±¸µ¹±â°ßºÀÀδë Á¾´Ü¸é°Ë»ç¿¡¼­ ƯÀÌ ¼Ò°ßÀ» º¸ÀÌÁö ¾ÊÀ¸³ª(»çÁø 1)


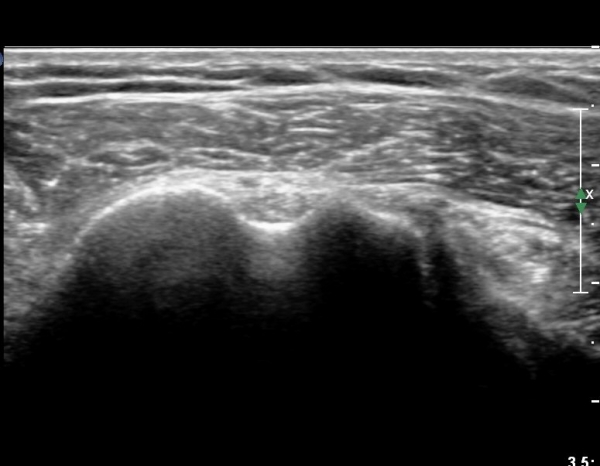
ŽÃËÀÚ¸¦ ¾à°£ °ßºÀ ¸»´ÜÀ¸·Î ³»¸®³ª ¿À±¸µ¹±â°ßºÀÀδëÀÇ ¼®È¸È­°¡ °üÂûµÈ´Ù(»çÁø 2).


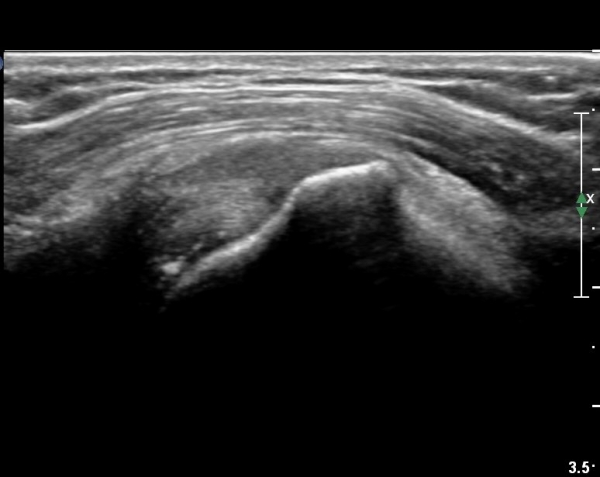
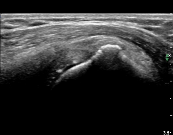
ȸÀü±Ù°³°£°Ý(rotator cuff interval) Ⱦ´Ü¸é°Ë»ç¿¡¼­ Á¡¾×³¶ÀÇ ºÎÁ¾ÀÌ °üÂûµÈ´Ù(»çÁø 3).


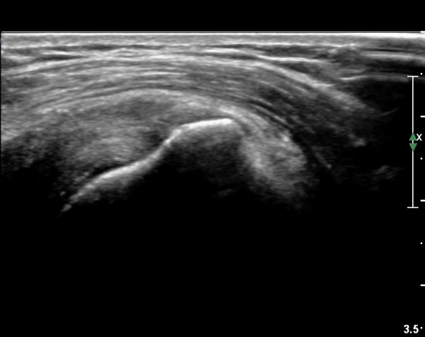
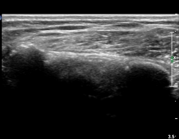
ÀÌµÎ¹Ú±Ù°Ç È¾´Ü¸é°Ë»ç¿¡¼­ ƯÀÌ ¼Ò°ßÀ» º¸ÀÌÁö ¾Ê´Â´Ù(»çÁø 4).


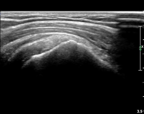
ŽÃËÀÚÀ» °ßºÀ¿ÜÃø¿¡ Á¾À¸·Î ´ë°í ¾î±ú¸¦ ¿ÜÀü ½ÃŰ¸é¼­ °üÂûÇÏ´Ï °ßºÀ¿ÜÃø¿¡ ¼ö¾×Àú·ù°¡ °üÂûµÈ´Ù(»çÁø 5).


±Ø»ó°Ç Á¶´ã¸é°Ë»ç¿¡¼­ ±Ø»ó°ÇÀÇ ÅðÇ༺º¯È­È­ ºÎºÐÀûÀÎ ÆÄ¿­ÀÌ  °üÂûµÇ¸é ´ë°áÀýÀº
ºñÈĵǾî ÀÖ´Ù(»çÁø 6, 7, 8).
 
±ØÇ졂 Á¾´Ü¸é°Ë»ç¿¡¼­ ƯÀÌ ¼Ò°ßÀ» º¸ÀÌÁö ¾Ê´Â´Ù(»çÁø 9)

.

ȸÀü±Ù°³ Ⱦ´Ü¸é°Ë»ç¿¡¼­ ȸÀü±Ù°³ ³»Ãø Áï ±Ø»ó°Ç ³»ÃøÀÇ Àú¿¡ÄÚ ºÎÁ¾ÀÌ °üÂûµÈ´Ù(»çÁø 10).


´Ü¼ø¹æ»ç¼±°Ë»ç
3


ÀÚ±â°ø¸í°Ë»ç
3


Ä¡·á
3



 


¾î±úÀÇ Ãæµ¿ÁõÈıºÀº ¾î±úÅëÁõÀÇ ¸Å¿ì ÈçÇϰí Áß¿äÇÑ ¿øÀÎÀÌ¸ç ¶ÇÇÑ È¸Àü±Ù°³ ÆÄ¿­ÀÇ ¿øÀÎÀÌ
µÇ±âµµ ÇÑ´Ù.


Ãæµ¹ÁõÈıºÀº °ßºÀÀ̳ª ¿À±¸µ¹±â°¡  ´ë°áÀý°ú ºÎµúÇÏ´Â ¿ÜÃø Ãæµ¹ÁõÈıº°ú ȸÀü±Ù°³ ½ÉºÎ°¡
°üÀý¼ø°ú ºÎµúÈ÷´Â ¿ÜÃø Ãæµ¹ÁõÈıºÀ¸·Î ºÐ·ùÇÒ ¼ö ÀÖÀ¸¸ç ¹ß»ý±âÀü, Áõ»ó, ÀÌÇÐÀû°Ë»ç¼Ò°ß,
ÃÊÀ½ÆÄ°Ë»ç ¼Ò°ßÀÌ ´Ù¸£¹Ç·Î ÀÌ µÑÀ» ±¸ºÐÇϱâ À§Çؼ­´Â ÇØºÎÇÐÀû, ¿ªÇÐÀûÀΠ ÃæºÐÇÑ ÀÌÇØ°¡
ÇÊ¿äÇÏ´Ù.


¿ÜÃø Ãæµ¹ÁõÈıº¿¡¼­ ÈçÈ÷ º¸ÀÌ´Â ÃÊÀ½ÆÄ¼Ò°ßÀº ¿À±¸µ¹±â°ßºÀÀδëÀÇ Ç¥ÃþÀ¸·Î µ¹Ãâ ¶Ç´Â ÀδëÇÏ ¼ö¾×Àú·ù, ¿À±¸µ¹±ã³àºÀÀÎ´ë ¼®È¸È­, ¿ÜÀü½Ã °ßºÀ¿ÜÃø ¼ö¾×Àú·ù, ȸÀü±Ù°³ ³»ÃøÀÇ ºÎÁ¾À̸ç
Ãæµ¹ÀÌ ÁøÇàµÊ¿¡ µû¶ó ȸÀü±Ù°³ÆÄ¿­, °üÀý³» ¼ö¾×Àú·ù°¡ ¹ß»ýÇÒ ¼ö ÀÖ´Ù.


³»ÃøÃæµ¹ÁõÈıº¿¡¼­´Â ±Ø»ó°Ç ¿ÜÃøÀ̳ª ±Ø»ó°Ç°ú ±ØÇ졂 °æ°èºÎ°¡ °üÀý¼ø°ú Ãæµ¹Çϱ⠶§¹®¿¡
±Ø»ó°Ç ¿ÜÃø(lateral)À̳ª ±ØÇ졂 ³»Ãø(nedial)ÀÇ ½ÉºÎ(articular side)ºÎÅÍ °ÇÀÇ ÆÄ¿­À̳ª ÅðÇàÀÌ
½ÃÀ۵ȴÙ. ȸÀü±Ù°³ Á¾´Ü¸é°Ë»ç¿¡¼­ ȸÀü±Ù°³ Áß¾ÓºÎÀ§ÀÇ È¸Àü±Ù°³ ºÎÁ¾ÀÌ °üÂûµÈ´Ù.
¶ÇÇÑ ÈÄ¹æ °üÀý¼ø ÆÄ¿­À̳ª ´ë°áÀý ¾Æ·§¸é(lower facet)¿¡ ÇÇÁú°ñ ÅðÇ༺ º¯È­³ª ºÒ±ÔÄ¢º¯È­(irregularity)°¡ ¹ß»ýÇÏ°í ¾î±ú¸¦ 90µµ ¿ÜÀüÇÑ »óÅ¿¡¼­ ¿ÜȸÀüÇϸ鼭 °úÂûÇÏ¸é ´ë°áÀý º´º¯ºÎÀ§¿Í ȸÀü±Ù°³ º´º¯ºÎÀ§°¡ Ãæµ¹ÇÏ´Â °ÍÀ» °üÂûÇÒ ¼ö ÀÖ´Ù(convex ÅÒÃËÀÚ·Î °üÂû).

ÀÌÀü±Û °¥ºñ»À ¹Ì¼¼°ñÀý
´ÙÀ½±Û ¹ß¸ñÀÇ ´Ù¹ß¼ºÀü°æ°ñºñ°ñÀδë, Àü°ÅºñÀδë, Á¾°ñºñ°ñÀδë) ÀÎ´ë ¼Õ»ó
       
°¡¸ÍÁ¡¸í : ½Ã¸®¾Ç½ºÁ¤ÇüÀÇÇבּ¸È¸
»ç¾÷ÀÚµî·Ï¹øÈ£ : 894-81-00627 | ´ëÇ¥ÀÚ : ÀåµÎÇõ
 
ÁÖ¼Ò : °æ±âµµ ¾çÆò±º ¿ë¹®¸é ¿ë¹®·Î 375-1, 2Ãþ 1È£
TEL : 010-2323-4055
E-mail : cyriax12@naver.com
ÀԱݾȳ»
±¹¹ÎÀºÇà | ½Ã¸®¾Ç½ºÁ¤ÇüÀÇÇבּ¸È¸(ÁÖ)
220401-04-194155