[¹«¸­] °æ°ñ ÇǷΰñÀý ÃÊÀ½ÆÄ¼Ò°ß(sonographic findings of stress fracture of tibia)
ÀÛ¼ºÀÚ : °ü¸®ÀÚ(khu3265442@naver.com) ÀÛ¼ºÀÏ : 2016-12-11 Á¶È¸¼ö : 7642
ÆÄÀÏ÷ºÎ :

¼ºº° / ³ªÀÌ
³²ÀÚ/22¼¼


ÁÖÁõ»ó
¿ìÃø ¹ß¸ñ°ú ¾Æ·§´Ù¸® ÅëÁõ(±â°£ 2ÁÖ)


º´·Â
±º´ë¿¡ ÀÔ´ëÇÏ¿© ÈÆ·ÃÀ» ¹ÞÀº º´·ÂÀÌ Àִ ȯÀÚ´Â ¾à 2ÁÖ ÀüºÎÅÍ ¹ß¸ñ ºÎÀ§ÀÇ ÅëÁõÀÌ ÀÖ´ø Áß
ÃÖ±Ù¿¡´Â ¹ß¸ñ À§ ¾Æ·§´Ù¸®¿¡ ÅëÁõÀÌ ¹ß»ýÇÏ°í ½ÉÇÏ°Ô °ÉÀ¸¸é ½ÉÇØÁö´Â ¾ç»óÀÓ


ÀÌÇÐÀû °Ë»ç
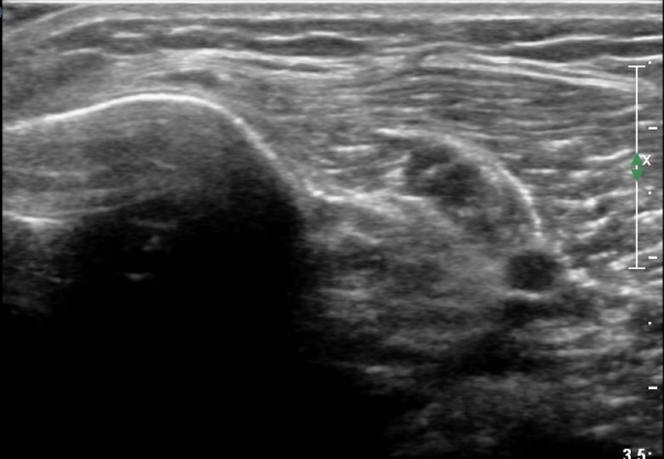
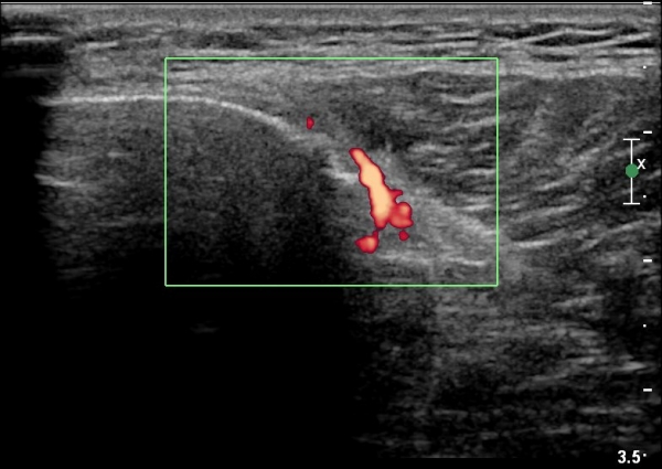
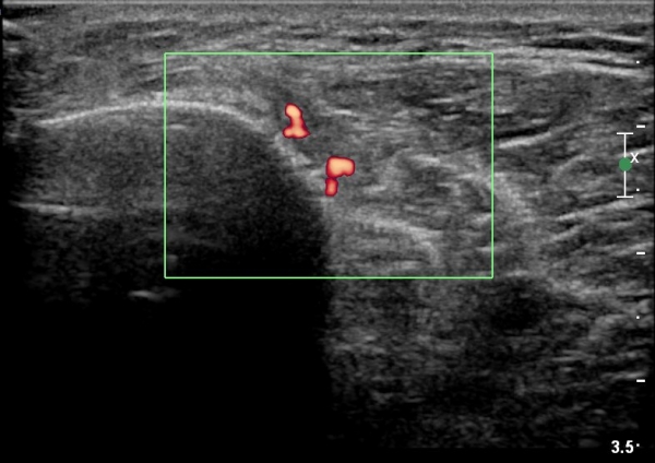
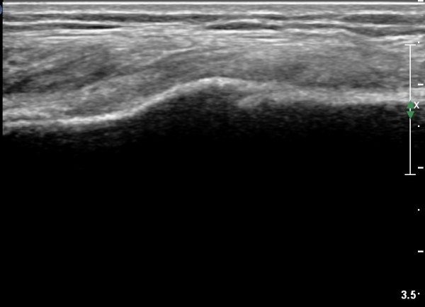
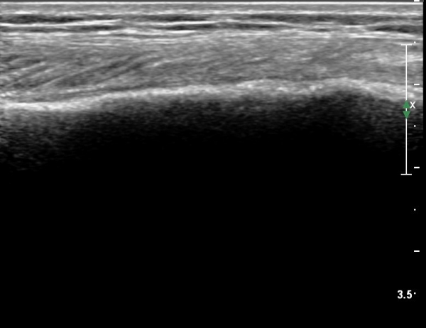
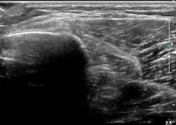
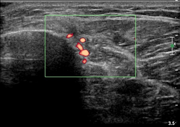
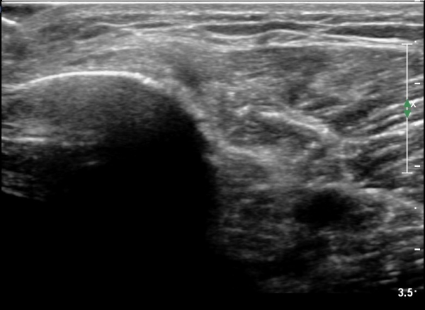
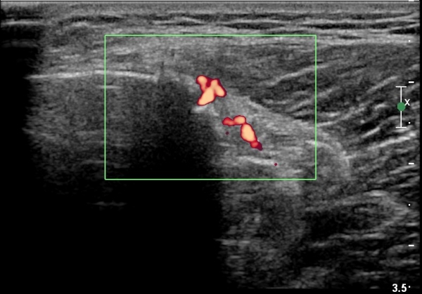
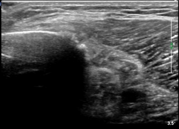
¾Æ·§´Ù¸® Áß°£ ºÎÀ§¿¡ °æ¹ÌÇÑ ¿¬ºÎÁ¶Á÷ ºÎÁ¾ÀÌ °üÂûµÇ°í ¾à°£ÀÇ ±¹¼ÒÀû ¾ÐÅëÀ» º¸ÀÓ.
¹ß¸ñÀÇ °Ë»ç¿¡¼­´ÂƯÀÌ ¼Ò°ßÀ» º¸ÀÌÁö ¾ÊÀ½.


ÃÊÀ½ÆÄ °Ë»ç
¤·


´Ü¼ø¹æ»ç¼±°Ë»ç
¹Ì¼¼ÇÏ°Ô ¿¬ºÎÁ¶Á÷ ºÎÁ¾°ú °¡°ñ Çü¼ºÀÌ °üÂûµÊ.


ÀÚ±â°ø¸í°Ë»ç
½ÃÇà ¾ÊÀ½


Ä¡·á
±ººÎ´ë ȸ¼Û



 


Âü°í ¹®Çå
Bilateral stress fracture of the tibia diagnosed by ultrasound. A case report
https://www.ncbi.nlm.nih.gov/pmc/articles/PMC3558228/pdf/main.pdf

ÀÌÀü±Û Á¾±«¿¡ ÀÇÇÑ ¼±ÅÃÀûÀÎ Á¤Áß½Å°æ ¹«Áö±ÙÀ° ½Å°æ¸¶ºñ(selective nueropathy of muscular branch to thenar muscle of median nerve)
´ÙÀ½±Û ¾ûµ¢ÀÌ ´ëÀüÀÚ ¼®È¸È­¼º °ÇÃÊ¿°(¼ÒµÐ±Ù)
       
°¡¸ÍÁ¡¸í : ½Ã¸®¾Ç½ºÁ¤ÇüÀÇÇבּ¸È¸
»ç¾÷ÀÚµî·Ï¹øÈ£ : 894-81-00627 | ´ëÇ¥ÀÚ : ÀåµÎÇõ
 
ÁÖ¼Ò : °æ±âµµ ¾çÆò±º ¿ë¹®¸é ¿ë¹®·Î 375-1, 2Ãþ 1È£
TEL : 010-2323-4055
E-mail : cyriax12@naver.com
ÀԱݾȳ»
±¹¹ÎÀºÇà | ½Ã¸®¾Ç½ºÁ¤ÇüÀÇÇבּ¸È¸(ÁÖ)
220401-04-194155