[¼Õ¸ñ] µåÄõ¹æÁúȯ(de quervain disease)
ÀÛ¼ºÀÚ : °ü¸®ÀÚ(khu3265442@naver.com) ÀÛ¼ºÀÏ : 2017-03-02 Á¶È¸¼ö : 8302
ÆÄÀÏ÷ºÎ :

¼ºº° / ³ªÀÌ
¿©ÀÚ/52¼¼


ÁÖÁõ»ó
¿ìÃø ¾öÁö ¼Õ°¡¶ô ÅëÁõ(1³â)


º´·Â

¿Ü»ó ¾øÀÌ ÅëÁõ ¹ß»ý


ÀÌÇÐÀû °Ë»ç
¾öÁö¼Õ°¡¶ô ±âÀúºÎ ºÎÁ¾, ¿ä°ñµÎ ÆÁ ¾ÐÅë, Finkelstein test(+)


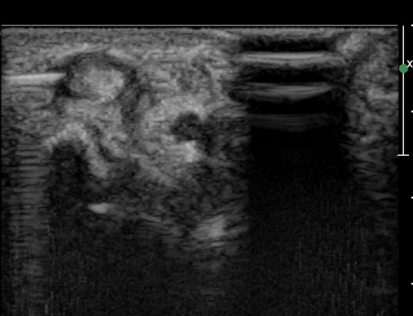
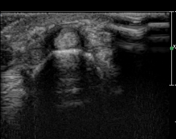
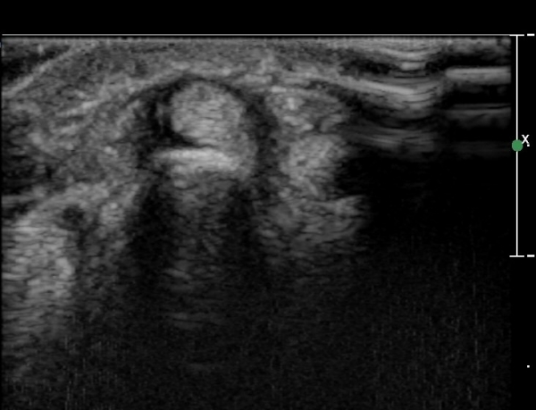
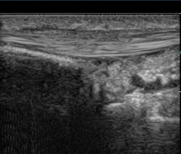
ÃÊÀ½ÆÄ °Ë»ç
¿ä°ñ °æ»óµ¹±â ºÎÀ§¿¡¼­ tunnel I Ⱦ´Ü¸é°Ë»ç¿¡¼­ ´Ü¹«Áö½ÅÀü°Ç(EPB)ÀÇ ºÎÁ¾ ¹×
°ÇÁÖÀ§ ¼ö¾×Àú·ù°¡ °üÂûµÊ(»çÁø 1, 2)


ŽÃËÀÚ¸¦ ¾à°£ ¸»´ÜÀ¸·Î À̵¿ÇÏ´Ï ´Ü¹«Áö½ÅÀü°Ç(EPB)ÀÇ ºÎÁ¾ ¹×°ÇÁÖÀ§ ¼ö¾×Àú·ù°¡ °üÂûµÊ(»çÁø 3)


´Ü¹«Áö½ÅÀü°Ç(EPB) Á¾´Ü¸é°Ë»ç¿¡¼­ °ÇÀÇ ºÎÁ¾ ¹×°ÇÁÖÀ§ ¼ö¾×Àú·ù°¡ °üÂûµÊ(»çÁø 4)


ÃÊÀ½ÆÄ À¯µµÇÏ ÁÖ»çÄ¡·á »çÁø¿¡¼­ ÁÖ»ç ¹Ù´ÃÀÌ °ÇÁÖÀ§ ºÎÁ¾ ºÎÀ§¿¡ Á¤È®È÷ À§Ä¡ÇÔ(»çÁø 5, ÷ºÎÆÄÀÏ)


´Ü¼ø¹æ»ç¼±°Ë»ç


ÀÚ±â°ø¸í°Ë»ç


Ä¡·á




ÀÌÀü±Û Èä°ñ¼â°ñ °üÀý¿°(arthritis of sternoclavicular joint)
´ÙÀ½±Û ºñ°ñ°Ç Á¾ÀÚ°ñ °ñÀý(fracture of peroneal sesamoid)(÷ºÎ ÆÄÀÏ 1, 2)
       
°¡¸ÍÁ¡¸í : ½Ã¸®¾Ç½ºÁ¤ÇüÀÇÇבּ¸È¸
»ç¾÷ÀÚµî·Ï¹øÈ£ : 894-81-00627 | ´ëÇ¥ÀÚ : ÀåµÎÇõ
 
ÁÖ¼Ò : °æ±âµµ ¾çÆò±º ¿ë¹®¸é ¿ë¹®·Î 375-1, 2Ãþ 1È£
TEL : 010-2323-4055
E-mail : cyriax12@naver.com
ÀԱݾȳ»
±¹¹ÎÀºÇà | ½Ã¸®¾Ç½ºÁ¤ÇüÀÇÇבּ¸È¸(ÁÖ)
220401-04-194155