[¹ß¸ñ] simultaneosus tear of GCM and achiles tendon
ÀÛ¼ºÀÚ : °ü¸®ÀÚ(khu3265442@naver.com) ÀÛ¼ºÀÏ : 2017-07-01 Á¶È¸¼ö : 3471
ÆÄÀÏ÷ºÎ :

¼ºº° / ³ªÀÌ
male/ 50 yrs


ÁÖÁõ»ó
pain on rt. leg( du: 1 day)


º´·Â
abrupt leg pain developed during foot volleyball


ÀÌÇÐÀû °Ë»ç
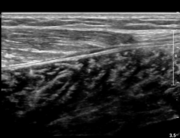
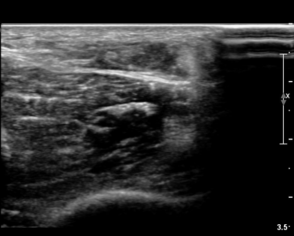
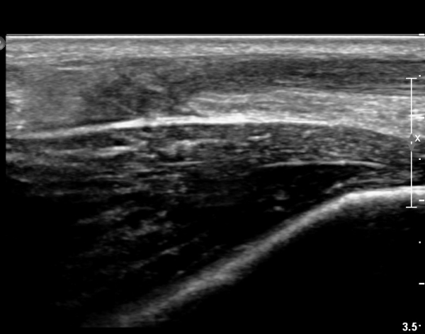
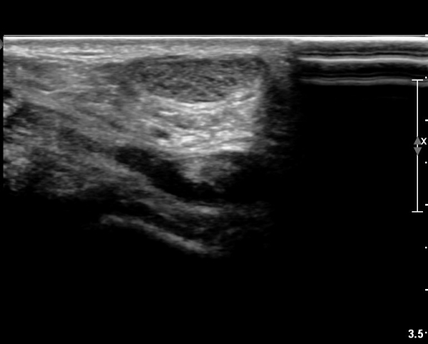
he walk with severe limping with no weight bearing on rt. leg. on examination, there is local tendernes at GCM and achiles tendon, severe pain with ankle dorsiflexion.


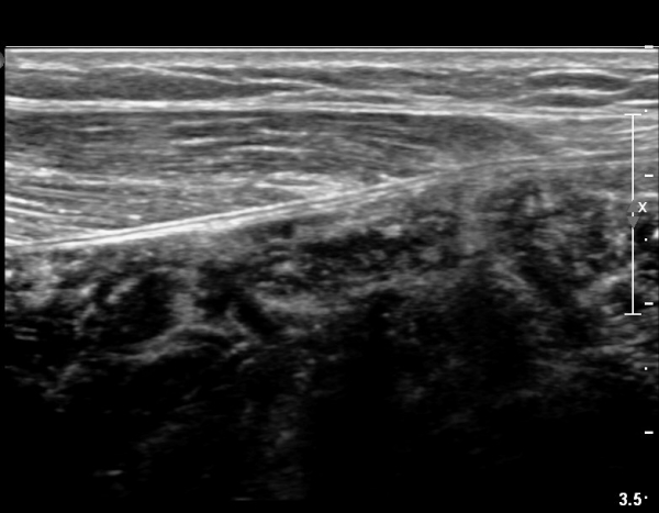
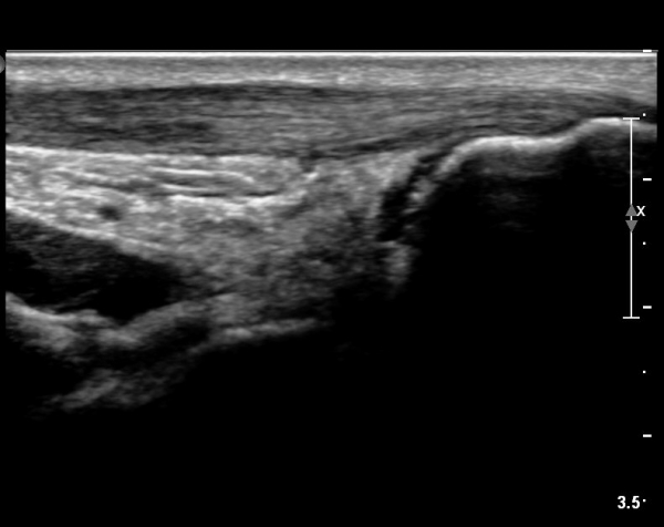
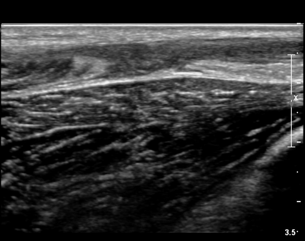
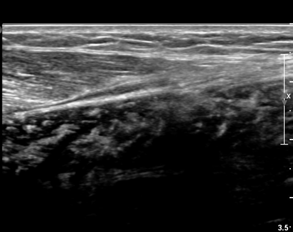
ÃÊÀ½ÆÄ °Ë»ç
g


´Ü¼ø¹æ»ç¼±°Ë»ç
no check


ÀÚ±â°ø¸í°Ë»ç
no check


Ä¡·á
rec) short leg splint with crutch gait. he refused splint, then visit other hospital and took operation.



 


ÀÌÀü±Û °áÀýÁ¾¿¡ÀÇÇÑ Èİñ°£½Å°æ ¸¶ºñ ÁÖ»çÄ¡·á
´ÙÀ½±Û distal tibiofibular ligament sprain with avulsion fracture of tibia
       
°¡¸ÍÁ¡¸í : ½Ã¸®¾Ç½ºÁ¤ÇüÀÇÇבּ¸È¸
»ç¾÷ÀÚµî·Ï¹øÈ£ : 894-81-00627 | ´ëÇ¥ÀÚ : ÀåµÎÇõ
 
ÁÖ¼Ò : °æ±âµµ ¾çÆò±º ¿ë¹®¸é ¿ë¹®·Î 375-1, 2Ãþ 1È£
TEL : 010-2323-4055
E-mail : cyriax12@naver.com
ÀԱݾȳ»
±¹¹ÎÀºÇà | ½Ã¸®¾Ç½ºÁ¤ÇüÀÇÇבּ¸È¸(ÁÖ)
220401-04-194155