[½Å°æ] °áÀýÁ¾¿¡ÀÇÇÑ Èİñ°£½Å°æ ¸¶ºñ ÁÖ»çÄ¡·á
ÀÛ¼ºÀÚ : °ü¸®ÀÚ(khu3265442@naver.com) ÀÛ¼ºÀÏ : 2017-10-25 Á¶È¸¼ö : 3421
ÆÄÀÏ÷ºÎ :

¼ºº° / ³ªÀÌ
³²ÀÚ/50¼¼


ÁÖ  Áõ  »ó
¿ÞÂÊ ¼Õ°¡¶ô ½ÅÀü ¸¶ºñ(lt. finger drop)


º´      ·Â
³»¿ø 5°³¿ù Àü Ưº°ÇÑ ÀÌÀ¯ ¾øÀÌ ¼Õ°¡¶ôÀÌ ÆìÁöÁö ¾Ê´Â´Ù., ¿Ü»ó(-)


ÀÌÇÐÀû °Ë»ç
¼Õ¸ñ ½ÅÀü G-, ¼Õ°¡¶ô ½ÅÀü zero, ¼Õ°¡¶ô ³»Àü, ¿ÜÀü G


ÃÊÀ½ÆÄ °Ë»ç
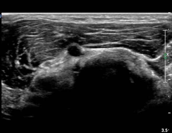
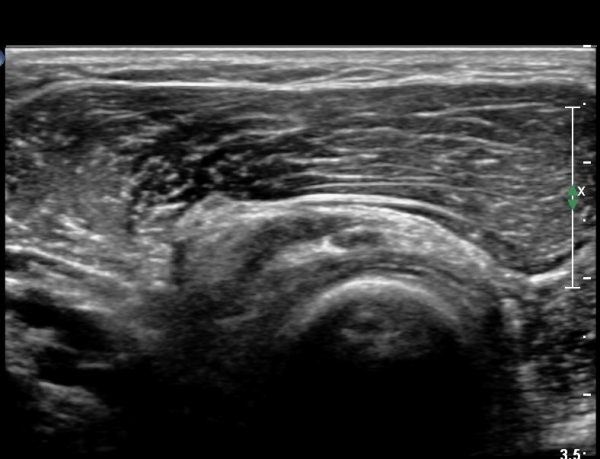
¿ä°ñµÎ ±ÙÀ§ºÎ Ⱦ´Ü¸é°Ë»ç»ó Èİñ°£ ½Å°æ ³»ÃøÀ¸·Î ÀÛÀº ³¶Á¾ÀÌ °üÂûµÈ´Ù(»çÁø 1).


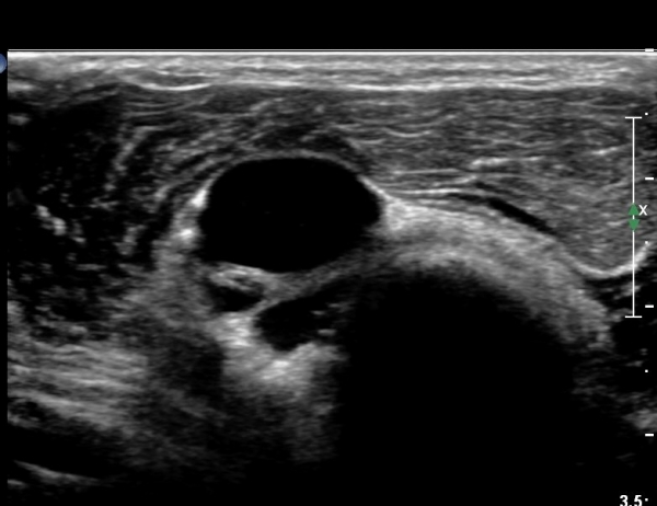
ŽÃËÀÚ¸¦ ¾à°£ ¸»´ÜÀ¸·Î À̵¿ÇÏ´Ï(¿ä°ñµÎ ºÎÀ§) Å« ³¶Á¾ÀÌ º¸ÀÌ°í ³¶Á¾ÀÇ ¿ÜÃø¿¡ Èİñ°£½Å°æÀÇ ¾Ð¹ÚÀÌ °üÂûµÈ´Ù(»çÁø 2). ³¶Á¾Àº ¿ä°ñµÎ¿¡¼­ ¿ä°ñºÎÀ§±îÁö À§Ä¡ÇØ ÀÖ´Ù(»çÁø 3)


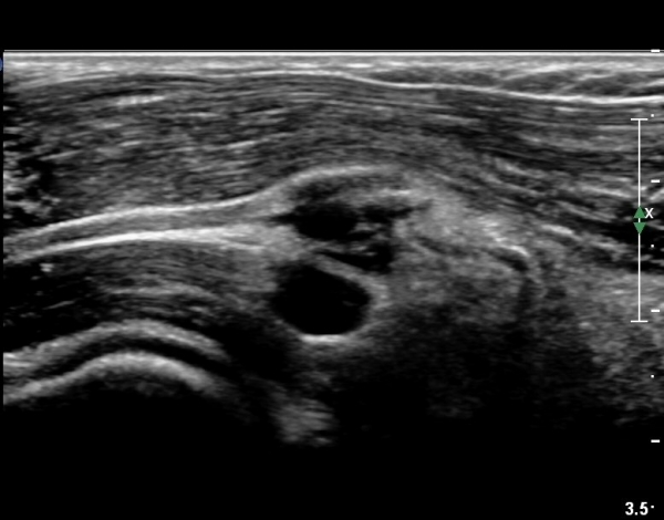
ŽÃÊÀÚ¸¦ ȸ¿Ü±Ù ºÎÀ§±îÁö À̵¿ÇÏ´Ï ³¶Á¾Àº °í³ªÂûµÇÁö ¾Ê°í µÎ ȸ¿Ü±Ù »çÀÌ¿¡ Àִ  Èİñ°£½Å°æ
 ºÎÁ¾ÀÌ °üÂûµÈ´Ù(»çÁø 4).


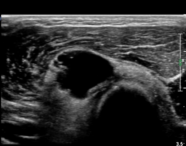
Èİñ°£½Å°æ Á¾´Ü¸é°Ë»ç¿¡¼­ ³¶Á¾°ú ÀÎÁ¢ÇÏ¿©  À§Ä¡ÇÑ Èİñ°£½Å°æÀÇ ºÎÁ¾ÀÌ °üÂûµÈ´Ù(»çÁø 5, 6).


´Ü¼ø¹æ»ç¼±°Ë»ç
±ÙÀüµµ °Ë»ç : Èİñ°£½Å°æ ¿ÏÀü¸¶ºñ


ÀÚ±â°ø¸í°Ë»ç
½ÃÇàÇÏÁö ¾ÊÀ½


Ä¡·á
¹°¸®Ä¡·á, °áÀýÁ¾ ÈíÀÎ(aspiration)



ÀÌÀü±Û ºñ°ñ½Å°æ ¸¶ºñ ¼ö¾×¹Ú¸®¼ú(hydrodissection)
´ÙÀ½±Û simultaneosus tear of GCM and achiles tendon
       
°¡¸ÍÁ¡¸í : ½Ã¸®¾Ç½ºÁ¤ÇüÀÇÇבּ¸È¸
»ç¾÷ÀÚµî·Ï¹øÈ£ : 894-81-00627 | ´ëÇ¥ÀÚ : ÀåµÎÇõ
 
ÁÖ¼Ò : °æ±âµµ ¾çÆò±º ¿ë¹®¸é ¿ë¹®·Î 375-1, 2Ãþ 1È£
TEL : 010-2323-4055
E-mail : cyriax12@naver.com
ÀԱݾȳ»
±¹¹ÎÀºÇà | ½Ã¸®¾Ç½ºÁ¤ÇüÀÇÇבּ¸È¸(ÁÖ)
220401-04-194155