[½Å°æ] ºñ°ñ½Å°æ ¸¶ºñ ¼ö¾×¹Ú¸®¼ú(hydrodissection)
ÀÛ¼ºÀÚ : °ü¸®ÀÚ(khu3265442@naver.com) ÀÛ¼ºÀÏ : 2017-12-19 Á¶È¸¼ö : 4121
ÆÄÀÏ÷ºÎ :

¼ºº° / ³ªÀÌ
¿©ÀÚ/61¼¼


ÁÖÁõ»ó
Á·Çϼö(foot drop)


º´·Â
¹«¸­°üÀý Àΰø°üÀý ġȯ¼ú ÈÄ Á·Çϼö ¹ß»ý


ÀÌÇÐÀû °Ë»ç
¹ß¸ñ, ¹ß°¡¶ô ½ÅÀü [zero]


ÃÊÀ½ÆÄ °Ë»ç
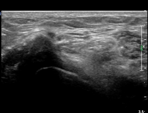
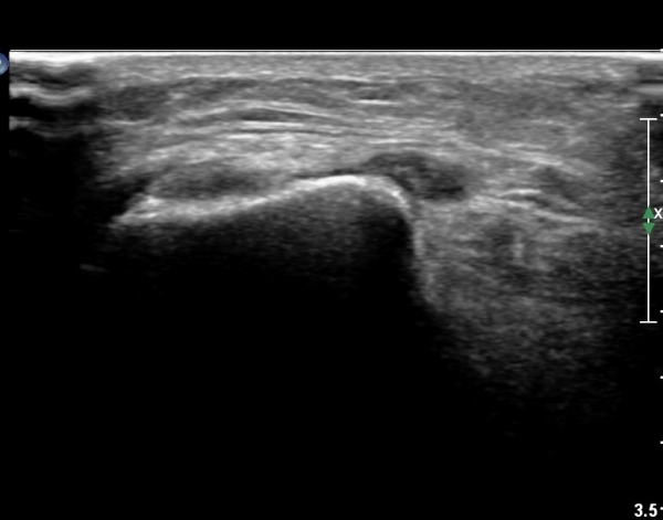
¹«¸­ ¿À±Ý ºÎÀ§ Ⱦ´Ü¸é°Ë»ç¿¡¼­ °æ°ñµ¿¸Æ Ç¥Ãþ¿¡ ºñ°ñ½Å°æ°ú °æ°ñ½Å°æÀÌ ºÐ¸®µÇ¾î °üÂûµÈ´Ù(»çÁø 1).


ŽÃËÀÚ¸¦ ¸»´ÜÀ¸·Î À̵¿ÇÏ´Ï À̵ιڱ٠³»Ãø¿¡¼­ ºñ°ñ½Å°æ¿Í °üÂûµÈ´Ù(»çÁø 2).


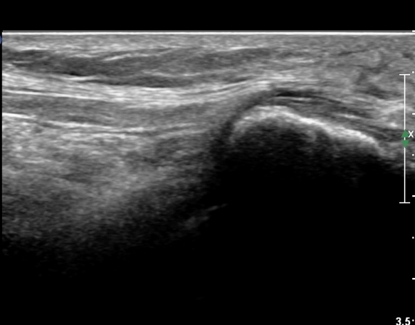
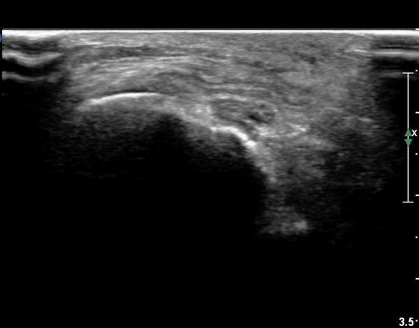
ŽÃËÀÚ¸¦ Á» ´õ ¸»´Ü, ¿ÜÃøÀ¸·Î À̵¿ÇÏ´Ï ºñ°ñµÎ Ç¥Ãþ¿¡¼­ ºñ°ñ½Å°æÀÌ Àú¿¡ÄÚ·Î °üÂûµÈ´Ù(»çÁø 3, 4, 5).


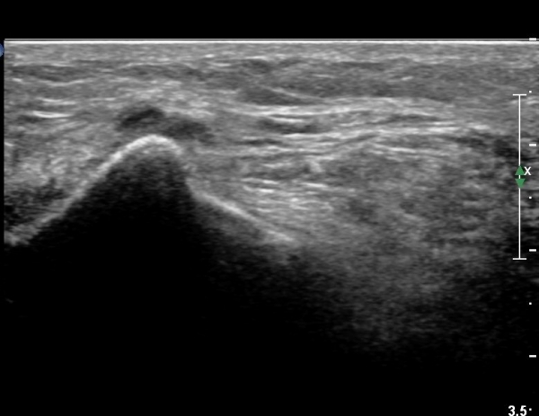
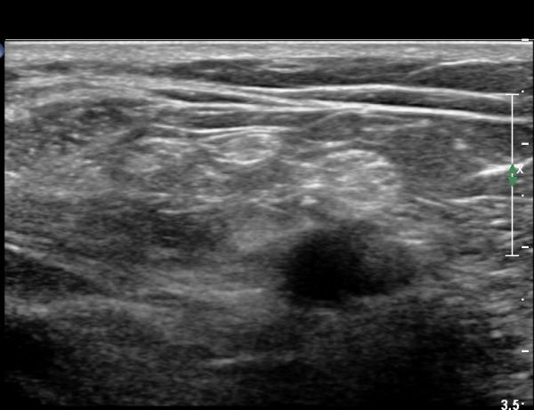
ŽÃËÀÚ¸¦ Á» ´õ ¸»´ÜÀ¸·Î À̵¿ÇÏ´Ï ºñ°ñ °æºÎ Ç¥Ãþ¿¡¼­ ºñ°ñ½Å°æÀÌ °üÂûµÇ°í(»çÁø 6, 7),


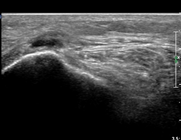
ºñ°ñ±Ù ½ÉºÎÀÇ ºñ°ñ °æºÎ¿¡¼­ °üÂûµÈ´Ù(»çÁø 8).


ºñ°ñ½Å°æ Á¾´Ü¸é°Ë»ç¿¡¼­ Àü¹ÝÀûÀ¸·Î ºñ°ñ½Å°æÀÇ Àú¿¡ÄÚºÎÁ¾ÀÌ °üÂûµÈ´Ù(»çÁø 9).


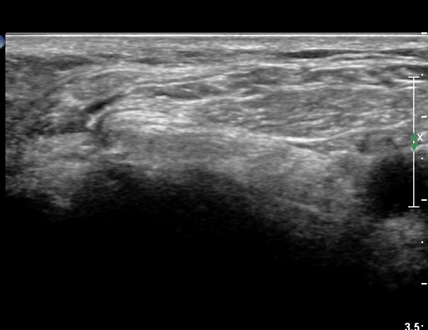
ºñ°ñ °æºÎ ºÎÀ§¿¡¼­ ºñ°ñ½Å°æ ¼ö¾× ¹Ú¸®¼ú ½Ã ÁÖ»ç¹Ù´ÃÀÌ ºñ°ñ½Å°æ Ç¥Ãþ¿¡ À§Ä¡ÇÏ°í ¼ö¾×ÀÌ
Á¶±Ý ÁÖ»çµÈ ¸ð½ÀÀÌ´Ù(»çÁø 10).


ºñ°ñ½Å°æ Ç¥Ãþ°ú ½ÉÃþ¿¡¼­ ¼ö¾×¹Ú¸®¼ú ¿µ»ó(÷ºÎµ¿¿µ»ó).
https://www.youtube.com/watch?v=fKFfo4ZkHoc&feature=youtu.be
À¯Æ©ºÎ :


´Ü¼ø¹æ»ç¼±°Ë»ç
±ÙÀüµµ°Ë»ç : ¹«¸­ ÁÖº¯¿¡¼­ ºñ°ñ½Å°æ ºÒ¿ÏÀü ¸¶ºñ(°ÅÀÇ ¿ÏÀü¸¶ºñ)


ÀÚ±â°ø¸í°Ë»ç


Ä¡·á
0.5 % Æ÷µµ´ç ¿ë¾×À¸·Î ºñ°ñ °æºÎ ºÎÀ§¿¡¼­ ºñ°ñ½Å°æ ¼ö¾× ¹Ú¸®¼ú(÷ºÎ µ¿¿µ»ó Âü°í)




ÀÌÀü±Û ½ÉÇÏÁö ¾ÊÀº ¾î±ú Ãæµ¹ÁõÈıº¿¡ ÀÇÇÑ Á¡¾×³¶¿°
´ÙÀ½±Û °áÀýÁ¾¿¡ÀÇÇÑ Èİñ°£½Å°æ ¸¶ºñ ÁÖ»çÄ¡·á
       
°¡¸ÍÁ¡¸í : ½Ã¸®¾Ç½ºÁ¤ÇüÀÇÇבּ¸È¸
»ç¾÷ÀÚµî·Ï¹øÈ£ : 894-81-00627 | ´ëÇ¥ÀÚ : ÀåµÎÇõ
 
ÁÖ¼Ò : °æ±âµµ ¾çÆò±º ¿ë¹®¸é ¿ë¹®·Î 375-1, 2Ãþ 1È£
TEL : 010-2323-4055
E-mail : cyriax12@naver.com
ÀԱݾȳ»
±¹¹ÎÀºÇà | ½Ã¸®¾Ç½ºÁ¤ÇüÀÇÇבּ¸È¸(ÁÖ)
220401-04-194155