
¿©ÀÚ /38¼¼

¾à 1³âÀüºÎÅÍ ¾öÁö ¼Õ°¡랃 ÈûÀÌ ¾ø¾îÁ®¼ ÇöÀç´Â ¾öÁö¸¦ ÀüÇô ¿òÀÍÀÏ ¼ö ¾ø´Ù°í ÇÔ.
Áö¹æ¿¡¼ ¿¢½º·¹ÀÌ °Ë»ç °á°ú ¼Õ¸ñ¿¡ ¼®È¸°¡ ³¢¾ú´Ù´Â ¼Ò°ß°ú Å« º´¿ø Áø·á ±Ç°í ¹Þ°í
¼¿ï ¼ÒÀç ´ëÇк´¿ø ÁøÂû¹Þ¾ÒÀ¸³ª Ưº°ÇÑ ¼Ò°ß ¾øÀÌ MRI ÃÔ¿µ ±Ç°í ¹Þ¾ÑÀ¸³ª °Ë»ç¸¦ ¹ÞÁö ¾Ê¾ÒÀ½.
ÃÖ±Ù ±Ù¾àÁõ ½ÉÇØÁ® ¼Õ Àü¹®º´¿ø ³»¿ø ÈÄ ±ÙÀüµµ°Ë»ç ÀÇ·ÚµÊ.
¼ÕÀú¸²ÁõÀº °ÅÀÇ ¾ø´Ù°í ÇÔ.
¹«Áö±¸(Thenar) ±ÙÀ§ÃàÀÌ ¶Ñ·ÈÇÏ°í ¾öÁö ¿ÜÀü 0 µî±ÞÀÇ ±Ù¾àÁõÀ» º¸ÀÓ.
1, 2, 3, ¼Õ°¡¶ô °¨°¢ °¨¼Ò¸¦ º¸ÀÓ.
Hoffman sign µî º´Àû¹Ý»ç º¸ÁöÁö ¾Ê°í ½ÉºÎ°Ç¹Ý»ç Á¤»ó ¼Ò°ß.
¸ñ ½ÅÀü°Ë»ç, spuring test Á¤»ó ¼Ò°ßÀÓ.

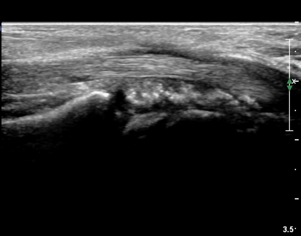
¼Õ¸ñ ºÎÀ§ Ⱦ´Ü¸é°Ë»ç¿¡¼ ¿ä°ñ°ú ¿ù»ó°ñ Àü¹æ¿¡ ¼®È¸È¼º À½¿µÀÌ Á¸ÀçÇϰí Àü¹ÝÀûÀÎ ¼öÁö ±¼°î°ÇÀÇ ºñÈÄ, Á¤Á߽ŰæÀÇ ºÎÁ¾°ú
ÈûÁÙ ¹× Á¤Á߽ŰæÀÇ Ç¥ÃþÀ¸·Î ÀüÀ§°¡ °üÂûµÈ´Ù, (»çÁø 1 ), ÆÄ¿öµµÇ÷¯°Ë»ç¿¡¼ Ç÷·ùÁõ°¡°¡ °üÂûµÊ´Ù(»çÁø 2)..
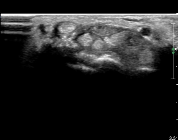
¼ö±Ù°ü ±ÙÀ§ºÎ Ⱦ´Ü¸é°Ë»ç¿¡¼ ±¼°î°Ç ½ÉºÎ¿¡ ¼®È¸È¼º À½¿µÀÌ Á¸ÀçÇϰí Àü¹ÝÀûÀÎ ¼öÁö ±¼°î°ÇÀÇ ºñÈÄ, Á¤Á߽ŰæÀÇ ºÎÁ¾°ú
ÈûÁÙ ¹× Á¤Á߽ŰæÀÇ Ç¥ÃþÀ¸·Î ÀüÀ§°¡ °üÂûµÈ´Ù, (»çÁø 3, 4,).
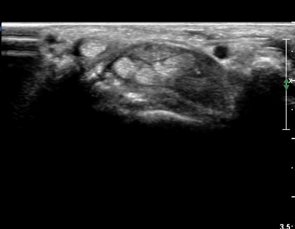
¼ö±Ù°ü Á¾´Ü¸é°Ë»ç¿¡¼ ±¼°î°Ç ½ÉºÎ¿¡ ¼®È¸È¼º À½¿µÀÌ Á¸ÀçÇϰí Àü¹ÝÀûÀÎ ¼öÁö ±¼°î°ÇÀÇ ºñÈÄ, Á¤Á߽ŰæÀÇ ºÎÁ¾°ú
ÈûÁÙ ¹× Á¤Á߽ŰæÀÇ Ç¥ÃþÀ¸·Î ÀüÀ§°¡ °üÂûµÈ´Ù, (»çÁø 5, 6,). ÆÄ¿öµµÇ÷¯°Ë»ç¿¡¼ Ç÷·ùÁõ°¡°¡ °üÂûµÊ´Ù(»çÁø 6).
¼Õ¸ñ µîÃø Á¾´Ü¸é°Å»ç¿¡¼ ¼Õ¸ñ°üÀý³»¿¡¼ ¼®È¸È¼º À½¿µÀÌ °üÂûµÈ´Ù(»çÁø 7).

¼Õ¸ñ ºÎÀ§¿¡ Á¤Á߽ŰæÀÇ ºÒ¿ÏÁ¤ º´Áõ ¼Ò°ß(peripheral neuropathy of median nerve at wrist level)..


±ÙÀüµµ ÀÇ·Ú º´¿øÀ¸·Î ȸ¼Û

¼Õ¸ñÅͳÎÁõÈıºÀÇ ÁÖµÈ ¿øÀÎÀº ¼Õ°¡¶ôÀÇ °úµµÇÑ »ç¿ë¿¡ ÀÇÇÑ ¼Õ°¡¶ô ±¼°î°ÇÀÇ °ÇÃÊ¿°À¸·Î ÀÎÇÑ ¼ö±Ù°ü³» ¾Ð·ÂÀÇ Áõ°¡ÀÌÁö¸¸
ÀϺο¡¼´Â ½Å°æÁ¾, Ȱ¸·Á¾¾ç, ¼¶À¯Á¾, , Ȱ¸ÆºñÈÄ, ³¶Á¾, °ñÀý¿¡ ÀÇÇÑ °ñÆí, ¶Ç´Â º» Áõ·Ê¿Í °°ÀÌ ¼®È¸Ä§Âø µî ´Ù¾çÇÑ ¿øÀο¡ ÀÇÇØ ¹ß»ýÇÒ ¼ö ÀÕÀ¸¹Ç·Î
¼Õ¸ñÅͳΠÁõÈıº Áø´Ü ½Ã ÇØºÎÇÐÀû ¿øÀÎÀ» ±Ô¸íÇÏ´Â °ÍÀÌ ÇÊ¿äÇÒ ¼ö ÀÖ´Ù.
|