
³²ÀÚ/35¼¼

¾à 3ÁÖ ÀüºÎÅÍ Æ¯º°ÇÑ ¿øÀÎ ¾øÀÌ ÁÂÃø ¼Õ°¡¶ôÀÇ ±Ù¾àÁõÀÌ ¹ß»ýÇÏ¿© ¼Õ°¡¶ôÀ» Æì±â ¾î·Æ´Ù.

¼Õ°¡¶ô ½ÅÀü ±Ù¾àÁõ(T grade), ¼Õ¸ñ ½ÅÀü (G grade). ÆÈ²ÞÄ¡ ½ÅÀü( G grade)
¾öÁö, ¼Õ°¡¶ô ¿ÜÀü (G grade)

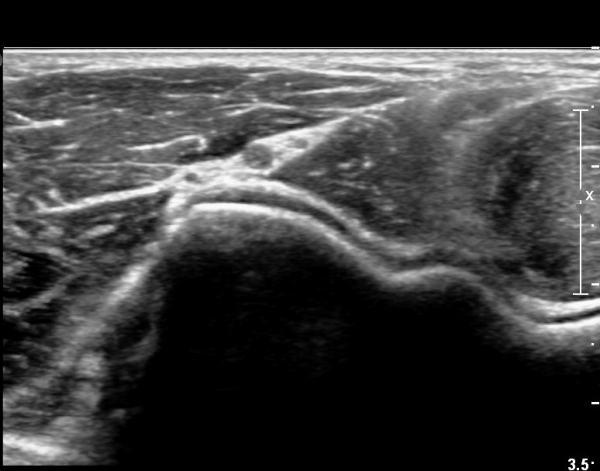
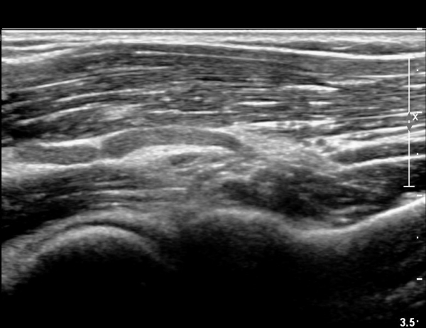
ÆÈ²ÞÄ¡ ¾Õ, Èİñ°£½Å°æ Ⱦ´Ü¸é °Ë»ç¿¡¼ Èİñ°£½Å°æÀÇ ºÎÁ¾ÀÌ °üÂûµÇ°í (»çÁø 1),
ŽÃËÀÚ¸¦ ¸»´ÜÀ¸·Î Á¶±Ý À̵¿ÇÏ´Ï Èİñ°£ ½Å°æÀÌ ÀÛ¾ÆÁö°í(»çÁø 2),
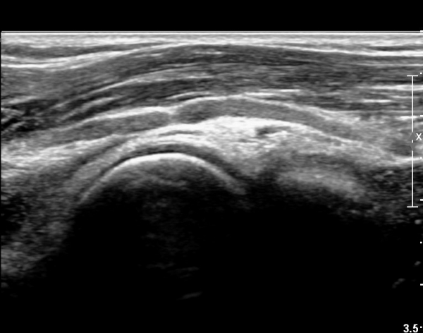
ŽÃËÀÚ¸¦ Á¶±Ý ´õ À̵¿ÇÏ´Ï Èİñ°£ ½Å°æÀÇ ºÎÁ¾ÀÌ ´Ù½Ã °üÂûµÈ´Ù(»çÁø 3).
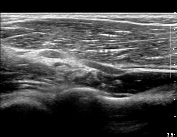
ÆÈ²ÞÄ¡ ¾Õ Èİñ°£½Å°æ Á¾´Ü¸é°Ë»ç¿¡¼ Èİñ±ä»ê°æÀÌ ºÎ¾îÀÖ°í ±¹¼ÒÀûÇùÂøÀÌ °üÂûµÈ´Ù(»çÁø 4)..
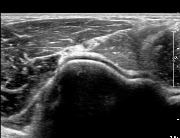
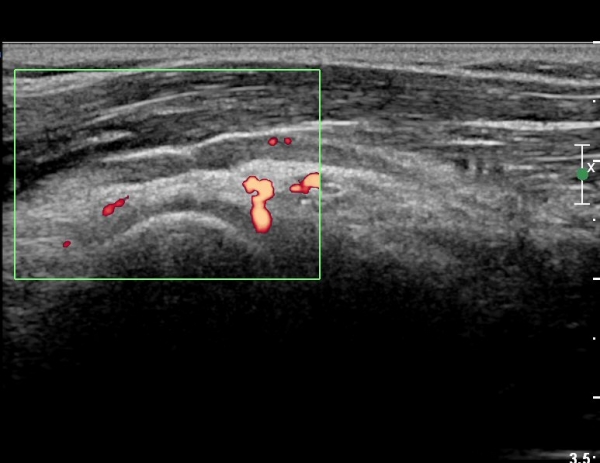
µµÇ÷¯°Ë»ç¿¡¼ ÇùÂø ºÎÀ§¿¡ Ç÷·ùÁõ°¡¸¦ º¸ÀÌÁö ¾Ê¾Æ Ç÷°ü(leash of Henry)¿¡ ÀÇÇÑ ÇùÂøÀº ¹èÁ¦µÈ´Ù(»çÁø 5)
ȸ¿Ü±Ù »çÀÌ ÁøÀԺο¡¼ Èİñ°£½Å°æÀÇ ±¹¼ÒÀû ¾Ð¹ÚÀÌ °üÂûµÇÁö ¾Ê¾Æ¼ supinator arch(arcade of Frohse) ¿¡¼
¾Ð¹Úµµ ¹èÁ¦µÈ´Ù(»çÁø 6, 7).

Èİñ°£½Å°æ ºÒ¿ÏÀü ¸¶ºñ, ÁßÁõ(peripheral neuropathy of posterior interosseous nerve, severe)

Àü¿ø

À¯»çÁõ·Ê
1) http://cyriax.co.kr/sub03-03.php?ptype=view&idx=5832&page=1&code=dataroom03&searchopt=subject&searchkey=posterior
2) http://cyriax.co.kr/sub03-03.php?ptype=view&idx=5882&page=1&code=dataroom03&searchopt=subject&searchkey
3) http://cyriax.co.kr/sub03-03.php?ptype=view&idx=5816&page=1&code=dataroom03&searchopt=subject&searchkey=Èİñ°£
4) http://cyriax.co.kr/sub03-03.php?ptype=view&idx=5813&page=1&code=dataroom03&searchopt=subject&searchkey=Èİñ°£
5) http://cyriax.co.kr/sub03-03.php?ptype=view&idx=5802&page=1&code=dataroom03&searchopt=subject&searchkey=Èİñ°£
6) http://cyriax.co.kr/sub03-03.php?ptype=view&idx=5823&page=4&code=dataroom03 |