[½Å°æ] °áÀýÁ¾¿¡ ÀÇÇÑ ¼Õ¹Ù´Ú ºÎÀ§¿¡¼­ ô°ñ½Å°æ ½ÉºÎ °¡Áö º´Áõ(PN of deep branch of ulnar nerve at palm level due to ganglion)
ÀÛ¼ºÀÚ : ÃÖÀçÀÍ(jic121@hanmail.net) ÀÛ¼ºÀÏ : 2019-02-18 Á¶È¸¼ö : 2279
ÆÄÀÏ÷ºÎ :

1 sex.jpg

³²ÀÚ/46¼¼


2 hx.jpg

¾à 2ÁÖÀüºÎÅÍ  ¾öÁö¿Í °ËÁö »çÀÌÀÇ ±ÙÀ°ÀÌ À§ÃøµÇ°í ¼Õ°¡¶ô ÈûÀÌ ¾àÇØÁü. 

 

3 exam.jpg

°ËÁö ¿ÜÀü T µî±ÞÀ¸·Î ¾àÈ­µÊ.

 

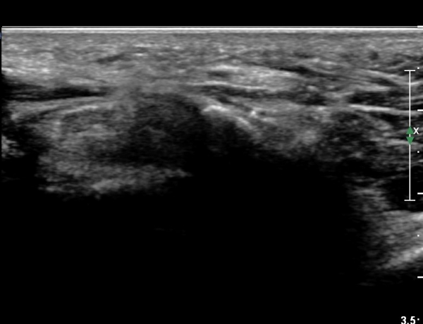
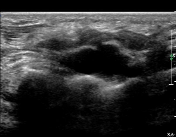
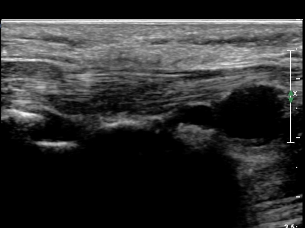
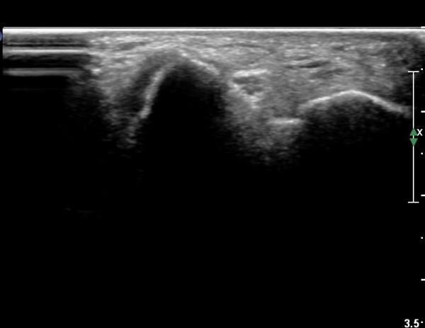
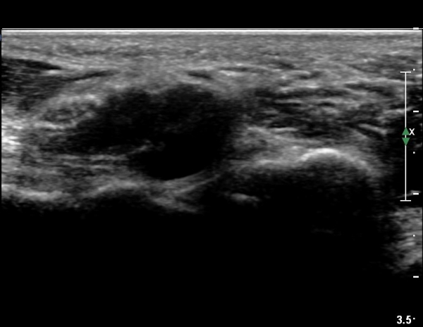
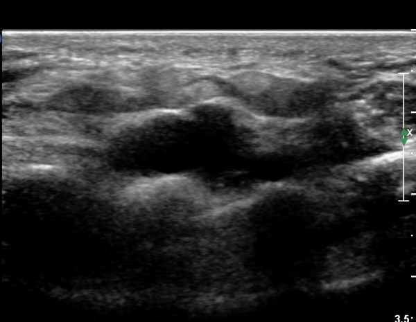
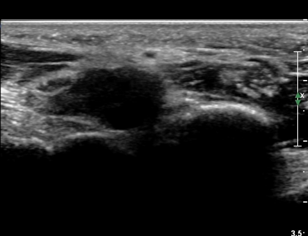
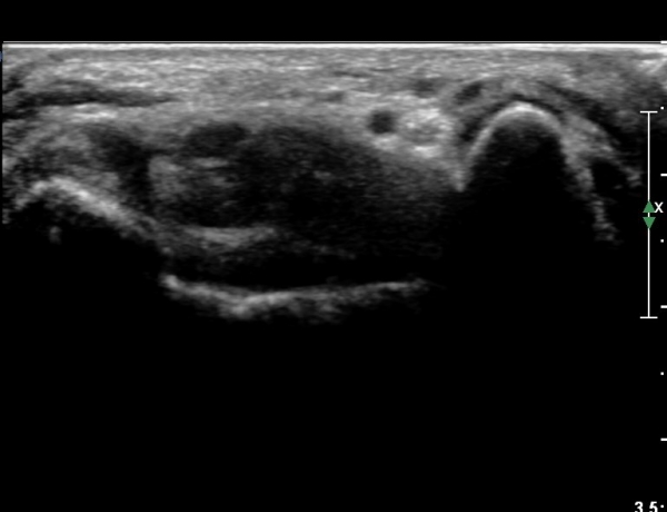
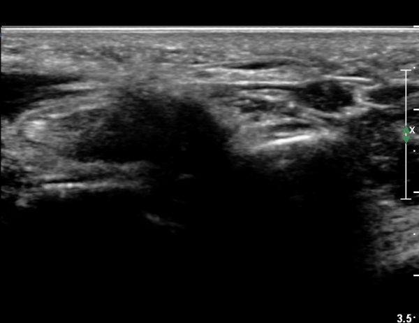
4 sono.jpg

 

 

 

 

6 tx.jpg

Àü¿ø

concl.jpg

emg.jpg

¼Õ¹Ù´Ú ºÎÀ§¿¡¼­ ô°ñ½Å°æ ½ÉºÎ °¡Áö º´Áõ

(periphral neuropathy  of  deep palmar branch of ulnar nerve at palm level).

 

ref.jpg

 

À¯»çÁõ·Ê

http://cyriax.co.kr/sub03-03.php?ptype=view&idx=5834&page=4&code=dataroom03

 

http://cyriax.co.kr/sub03-03.php?ptype=view&idx=5833&page=4&code=dataroom03

 

 


ÀÌÀü±Û ȸÀü±Ù°³ ÆÄ¿­ Áø´Ü ¹× Ä¡·á µ¿¿µ»ó
´ÙÀ½±Û Èİñ°£½Å°æ ºñƲ¸²¿¡ÀÇÇÑ Èİñ°£½Å°æ ¸¶ºñ(torsion of posterior interosseous nerve)
       
°¡¸ÍÁ¡¸í : ½Ã¸®¾Ç½ºÁ¤ÇüÀÇÇבּ¸È¸
»ç¾÷ÀÚµî·Ï¹øÈ£ : 894-81-00627 | ´ëÇ¥ÀÚ : ÀåµÎÇõ
 
ÁÖ¼Ò : °æ±âµµ ¾çÆò±º ¿ë¹®¸é ¿ë¹®·Î 375-1, 2Ãþ 1È£
TEL : 010-2323-4055
E-mail : cyriax12@naver.com
ÀԱݾȳ»
±¹¹ÎÀºÇà | ½Ã¸®¾Ç½ºÁ¤ÇüÀÇÇבּ¸È¸(ÁÖ)
220401-04-194155