
³²ÀÚ/58¼¼

Ưº°ÇÑ ÀÌÀ¯ ¾øÀÌ ¾à 10ÀÏ ÀüºÎÅÍ ¹ßµîÀÌ Àú¸²

¹ßµî °¨°¡ °¨¼Ò, ¹ß°¡¶ô ½ÅÀü, ¹ß¸ñ ½ÅÀü Á¤»ó ±Ù·Â µî±Þ

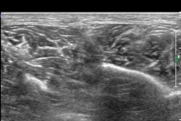
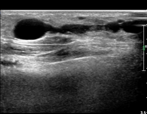
¾Æ·§´Ù¸® ¿ÜÃø Ⱦ´Ü¸é°Ë»ç¿¡¼ Àåºñ°ñ±Ù°ú ¹ß°¡¶ô½ÅÀü±Ù »çÀÌ¿¡¼ õºñ°ñ½Å°æÀÌ Á¤»óÀûÀ¸·Î °üÂûµÈ´Ù(»çÁø 1, , 2, 3, 4, 5).
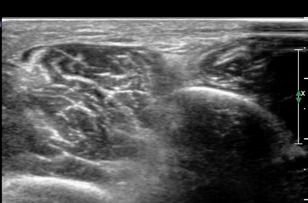
¾ÕÂÊ ¸»´Ü °æ°ñºñ°ñ°üÀý ¾à 5cm ±ÙÀ§ºÎ Ⱦ´Ü몀°Ë»ç ½Ã õºñ°ñ½Å°æ Àü¸é¿¡ Àú¿¡ÄÚ ³¶Á¾¿¡ ÀÇÇÑ ½Å°æ ¾Ð¹ÚÀÌ °üÂûµÈ´Ù(ÀÌ °üÂûµÈ´Ù(»çÁø 6, 7).
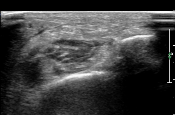
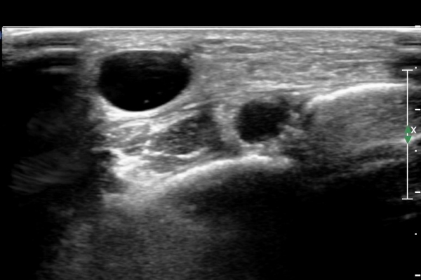
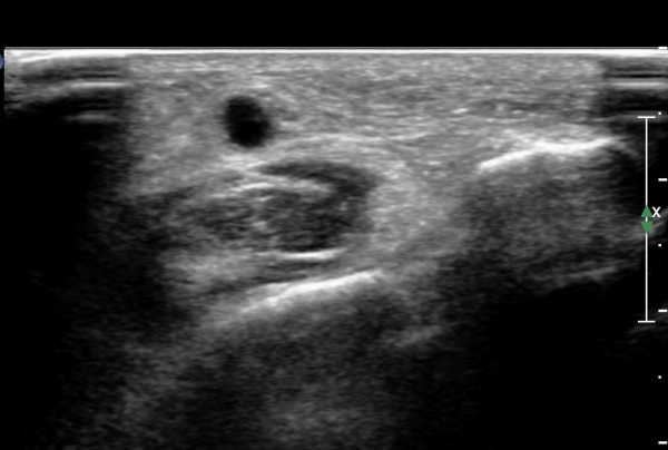
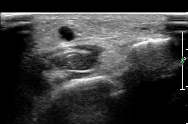
¸»´ÜÀ¸·Î °¥ ¼ö ·Ï ³¶Á¾ÀÌ Ä¿Áø°í õºñ°ñ½Å°æ ¾Ð¹ÚÀº ½ÉÇØÁø´Ù(»çÁø 8).
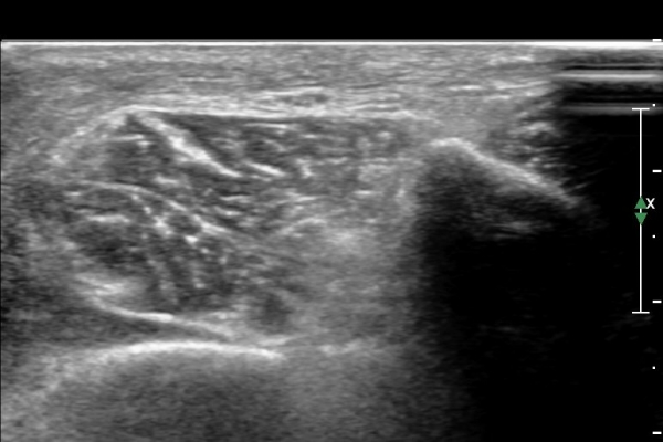
³¶Á¾À» Á¾´Ü¸éÀ¸·Î °üÂûÇÏ´Ï ³¶Á¾ÀÌ ¸»´Ü °æ°ñºñ°ñ°üÀý¿¡¼ À¯·¡µÊÀÌ È®ÀεȴÙ(»çÁø 9).

õºñ°ñ °¨°¢½Å°æÀÌ Àü±âÀû Àڱؿ¡ ¹ÝÀÀÀ» º¸ÀÌÁö ¾ÊÀ½.
|