¿©ÀÚ/ 39¼¼

¾à 3°³¿ù Àü ¼Õ¸ñÀ» »À¼ Ÿº´¿ø ÁøÂû °á°ú »À¿¡´Â ÀÌ»ó ¾ø´Ù´Â Áø´Ü ¹Þ°í ¾à 1ÁÖ°£ ºÎ¸ñ °íÁ¤ ÇÏ¿´À¸³ª ÅëÁõ °è¼ÓµÇ¾î ³»¿ø

¿Ü°ü»ó ¼Õ¸ñÀÇ ºÎÁ¾Àº ¶Ñ·ÈÇÏÁö ¾Ê¾ÒÀ¸³ª °æºñÇÑ °üÀý°¡µ¿¹üÀ§ Á¦ÇѰú hard endfeel À» º¸¿´°í
¼Õ¸ñ ¹èÃø, ô°ñÃøÀ¸·Î ±¹¼ÒÀû ¾ÐÅëÀ» º¸¿´´Âµ¥ »ï°¢°ñ ºÎÀ§¿¡ ±¹¼ÒÀûÀ̾ú´Ù.

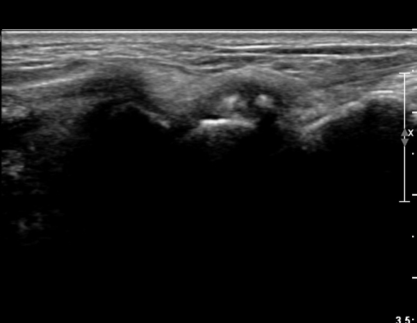
¼Õ¸ñ ¹èÃà, ̫̿ Á¾´Ü¸é°Ë»ç¿¡¼ ô°ñ¼ö±Ù°ñ °üÀý³» ¼ö¾×Àú·ù¿Í »ï°¢°ñ Ç¥Ãþ¿¡ °ñ±ØÀÌ °üÂûµÈ´Ù(»çÁø 1),
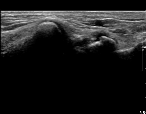
ŽÃËÀÚ¸¦ Á¶±Ù ³»ÃøÀ¸·Î À̵¿ÇÏ´Ï »ï°¢°ñ Ç¥Ãþ¿¡¼ °íÆíÀÌ °üÂûµµ´Ï´Ù(»çÁø 2).
¼Õ¸ñ Ⱦ´Ü¸é°Ë»ç»ó ÁÖ»ó°ñ¿ù»ó°ñ Àδë´Â Á¤»óÀûÀ¸·Î °üÂûµÇ³ª ¿ù»ó°ñ»ï°¢°ñ ÀÎ´ë ºÎÂøºÎ
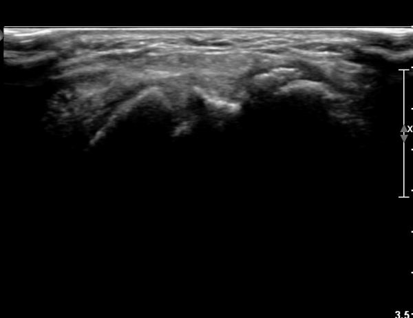
¿ù»ó°ñ ÇÇÁú°ñÀÇ ºÒ±ÔÄ¢È¿Í »ï°¢°ñ Ç¥ÃþÀÇ °ñÆíÀÌ °üÂûµÈ´Ù(»çÁø 3).

ƯÀÌ ¼Ò°ß º¸ÀÌÁö ¾ÊÀ½.

»ï°¢°ñ °ß¿ °ñÀýÀÌ °üÂûµÊ.

Ãæ°ÝÆÄÄ¡·á
Áõ½ÄÄ¡·á

 |