¼Õ¸ñÅͳΠÁõÈűº ÁÖ»çÄ¡·á(hydrodissection of median nerve) ÃÊÀ½ÆÄ ¼Ò°ß
ÀÛ¼ºÀÚ : ÃÖÀçÀÍ(jic121@hanmail.net) ÀÛ¼ºÀÏ : 2019-05-27 Á¶È¸¼ö : 2132
ÆÄÀÏ÷ºÎ : [mix]HO LIM20190522162451159.avi

1 sex.jpg

 ¿©ÀÚ/63¼¼

 

2 hx.jpg

 ¾à 6°³¿ù ÀüºÎÅÍ ¹ß»ýÇÑ ¾çÃø ¼Õ°¡¶ôÀÇ Àú¸² ¹æ»ý. ¹ã¿¡ ½ÉÇϰí ÀÚ´Ù ±ü´Ù.

 Á£°¡¶ôÁú ÇÏ¸é ½ÉÇØÁ®¼­ ½¬¾ú´Ù ¸Ô´Â´Ù, ÀüÈ­¸¦ °è¼Ó ¹Þ±â ¾î·Æ´Ù.

 

3 exam.jpg

 ¾öÁö µÎµ¢¿¡ ±ÙÀ§ÃàÀº º¸ÀÌÁö ¾Ê´Â´Ù. ¾öÁö ¼Õ°¡¶ô ¿ÜÀü ½Ã ±Ù¾àÁõÀº ¾ø´Ù.

 2, 3, 4¹øÂ° ¼Õ°¡¶ô¿¡ °¨°¢ °¨¼Ò¸¦ º¸ÀδÙ. 

 phallen test(+/+)  

 

4 sono.jpg

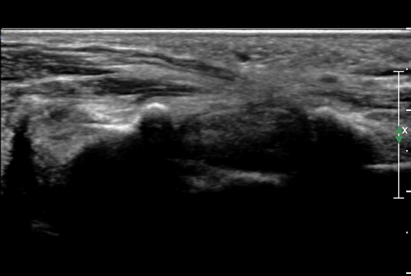
 ¼Õ¸ñ ºÎÀ§¿¡¼­ Á¤Á߽Űæ Ⱦ´Ü¸é°Ë»ç»ó Á¤Á߽ŰÜÀÇ Àú¿¡ÄÚ ºÎÁ¾ÀÌ °üÂûµÊ(»çÁø 1).

 

 ¼ö±Ù°ü ±ÙÀ§ºÎ(scaphoid, lunate level)¿¡¼­ Á¤Á߽Űæ Ⱦ´Ü¸é°Ë»ç»ó Á¤Á߽ŰæÀÇ Àú¿¡ÄÚ ºÎÁ¾ÀÌ °üÂûµÊ.(»çÁø 2).

 

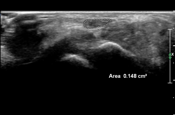
 ¼ö±Ù°ü ¸»´ÜºÎÀ§(trapezium, capitate level)¿¡¼­ Á¤Á߽Űæ Ⱦ´Ü¸é°Ë»ç»ó Á¤Á߽ŰßÀÇ ÆíÆòÈ­°¡ °üÂûµÊ(»çÁø 3).

 

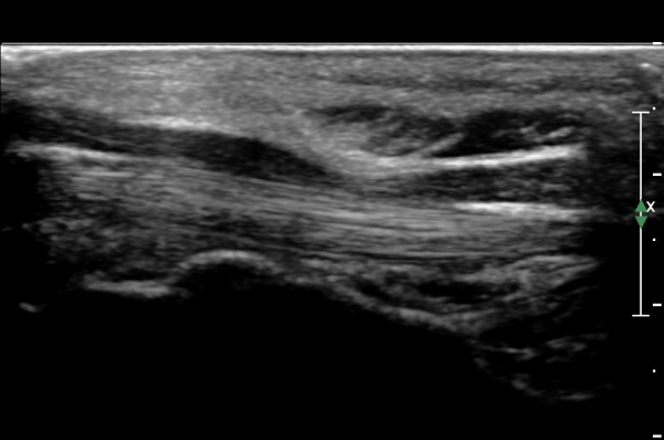
 Á¤Á߽Űæ Á¾´Ü¸é°Ë»ç»ó ¼ö±Ù°ü ¸»´Ü(trapezium, capitate level)  µÎ²¨¿öÁø È¾¼ö±ÙÀδë(transverse carpal ligament)¿¡

 

 ÀÇÇÑ Á¤Á߽ŰæÀÇ ±¹¼ÒÀû ¾Ð¹ÚÀÌ °üÂûµÊ(»çÁø 4, 5).

 

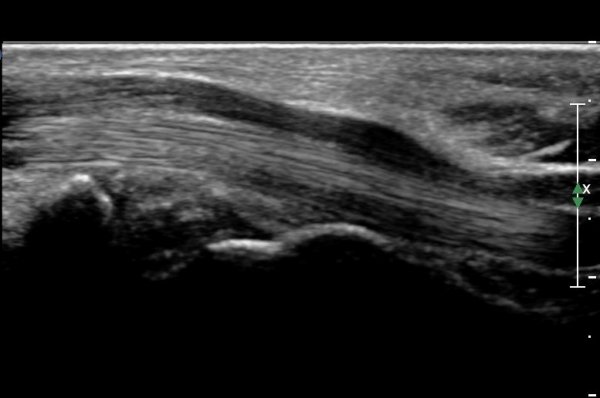
 ÃÊÀ½ÆÄÀ¯µµÇÏ Á¤Áß½Å°æ ¼ö¾×¹Ú¸®¼ú(÷ºÎ »çÁø Âü°í)  »çÁø¿¡¼­ Á¤Á߽ŰæÀÇ Ç¥Ãþ¿¡ ÁÖ»ç¹Ù´ÃÀÌ À§Ä¡Çϰí

 

 ÁÖ»çµÈ ¼ö¾×¿¡ ÀÇÇÑ È¾¼ø±Ù Àδ밡 Á¤Á߽Űæ°ú ºÐ¸®µÇ´Â ¸ð½ÀÀÌ º¸ÀÓ(»çÁø 6, 7, ÷ºÎÆÄÀÏ µ¿¿µ»ó). ½ÃÇàÇÏÁö ¾ÊÀ½.

 

5 rad.jpg

 Æ¯ÀÌ ¼Ò°ß ¾øÀ½.

 

emg.jpg

 ¼Õ¸ñ ºÎÀ§¿¡¼­ Á¤Áß½Å°æ º´Áõ ¼Ò°ß

 

6 tx.jpg

 ¾à¹°Ä¡·á¿Í ¹°¸®Ä¡·á¸¦ ½ÃÇàÇϸ鼭

 ÃÊÀ½ÆÄ À¯µµÇÏ Á¤Áß½Å°æ ¼ö¾×¹Ú¸®¼ú ½ÃÇà ÈÄ Triamcinolne 20 mg ÁÖ»ç.

 

concl.jpg

 

 

 

 

 

ref.jpg

 

20190510_121146-s.jpg




ÀÌÀü±Û ¼Õ¸ñÅͳÎÁõÈıº Áø´Ü ¹× Ä¡·á °­ÀÇ µ¿¿µ»ó
´ÙÀ½±Û 2019³â 5¿ù 12ÀÏ Á¤·Ê¼¼¹Ì³ª °­ÀÇ ³»¿ë Áß ÀϺÎ(¼Õ¸ñ, ¾öÁö¿Í ¼Õ°¡¶ô) µ¿¿µ»ó
       
°¡¸ÍÁ¡¸í : ½Ã¸®¾Ç½ºÁ¤ÇüÀÇÇבּ¸È¸
»ç¾÷ÀÚµî·Ï¹øÈ£ : 894-81-00627 | ´ëÇ¥ÀÚ : ÀåµÎÇõ
 
ÁÖ¼Ò : °æ±âµµ ¾çÆò±º ¿ë¹®¸é ¿ë¹®·Î 375-1, 2Ãþ 1È£
TEL : 010-2323-4055
E-mail : cyriax12@naver.com
ÀԱݾȳ»
±¹¹ÎÀºÇà | ½Ã¸®¾Ç½ºÁ¤ÇüÀÇÇבּ¸È¸(ÁÖ)
220401-04-194155