[ôÃß] Ãʹ̼¼ °¥ºñ»À °ñÀýÀÇ ÃÊÀ½ÆÄ ¼Ò°ß
ÀÛ¼ºÀÚ : ÃÖÀçÀÍ(jic121@hanmail.net) ÀÛ¼ºÀÏ : 2019-07-19 Á¶È¸¼ö : 3122
ÆÄÀÏ÷ºÎ :

1 sex.jpg

³²ÀÚ/38¼¼

 

2 hx.jpg

¾à 1ÁÖÀü °ñÇÁ ¿¬½À ÈÄ ÁÂÃø ¿·±¸¸® ÅëÁõ ¹ß»ýÇÏ¿© Ÿº´¿ø ³»¿øÇÏ¿© ¹æ»ç¼± ÃÔ¿µ °á°ú

ƯÀÌ ¼Ò°ß º¸ÀÌÁö ¾Ê¾ÒÀ¸³ª ÁÖ»çÄ¡·ã¸£ ¹Þ¾ÒÀ¸³ª ÅëÁõÀº °è¼ÓµÊ.

¼û½¯ ¶§ ÅëÁõÀº ¾øÀ¸³ª ±âħÇÏ¸é ¿ï¸°´Ù°í ÇÔ.

 

3 exam.jpg

ÁÂÃø 6, 7, 8 °¥ºñ»À¿¡ ±¹¼ÒÀû ¾ÐÅëÀ» º¸ÀÓ.

 

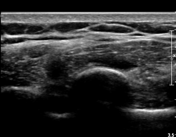
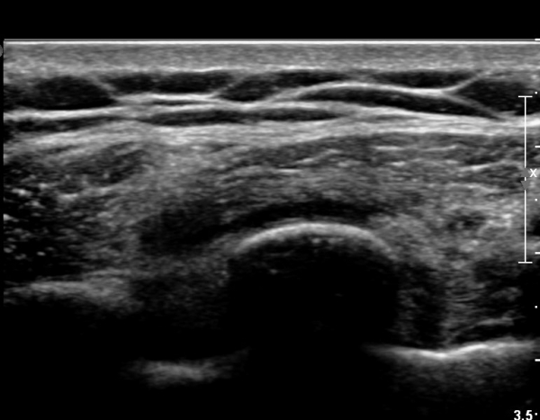
4 sono.jpg

8¹øÂ° °¥ºñ»À Á¾´Ü¸é°Ë»ç»ó °¥ºñ»À Ç¥ÃþÀ¸·Î Àú¿¡ÄÚ ºÎÁ¾°ú °¥ºñ»À Ç¥Ãþ¿¡ ÀÖ´Â

±Ù¼¶À¯µéÀÌ Ç¥ÃþÀ¸·Î ¹Ð·ÁÀÖ´Â °ÍÀÌ °üÂûµÇ°í(»çÁø 1, 2)  °¥ºñ»À ÇÇÁú°ñ ¿¬¼Ó¼º

´ÜÀýÀÌ ÀǽɵȴÙ(»çÁø 2).

 

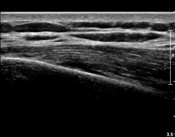
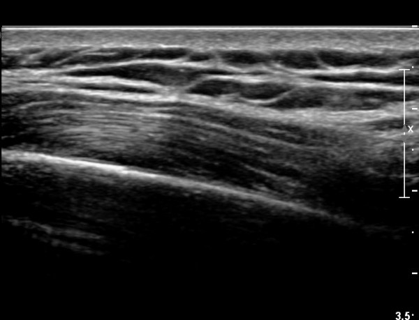
8¹øÂ° °¥ºñ»À ¾ÕÂÊ  Á¾´Ü¸é°Ë»ç»ó  Æ¯ÀÌ ¼Ò°ßÀ» º¸ÀÌÁö ¾ÊÀ¸¸¶(»çÁø 4)

ŽÃËÀÚ¸¦ µÚÂÊÀ¸·Î À̵¿ ÇÏ´Ï °¥ºñ»À Ç¥ÃþÀ¸·Î Àú¿¡ÄÚ ºÎÁ¾ÀÌ °üÂûµÈ´Ù(»çÁø 3).

5 rad.jpg

Ÿ º´¿ö ½ÃÇà °Ë»ç»ó ƯÀÌ ¼Ò°ß ¾øÀ½.

 

6 tx.jpg



concl.jpg

¿¢½º·¹ÀÌ¿¡¼­ º¸ÀÌÁö ¾Ê´Â °¥ºñ»À °ñÀýÀº ´ëºÎºÐ ÃÊÀ½ÆÄ °Ë»ç½Ã ÇÇÁú°ñ ¿¬¼Ó¼º ¼Ò½Ç·Î Áø´ÜÀÌ °¡´ÉÇϳª 

 

¾ÆÁÖ ¹Ì¼¼ÇÑ °ñÀýÀº ÇÇÁú°ñ ¿¬¼Ó¼º ¼Ò½ÇÀ» º¸ÀÌÁö ¾Ê±â ¶§¹®¿¡ °¥ºñ»À ÃÊÀ½ÆÄ °Ë»ç¿¡ °æÇèÀÌ ¸¹Áö ¾ÊÀ¸¸é

 

Áø´ÜÀÌ ¾î·Æ´Ù,

ÀÌ·± Ãʹ̼¼ °ñÀý¿¡¼­´Â º» Áõ·Ê¿¡¼­¿Í °°ÀÌ 

1) °¥ºñ»À Ç¥ÃþÀÇ Àú¿¡ÄÚ ºÎÁ¾

2) ±æºñ»À Ç¥ÃþÀÇ ±ÙÀ° ¼¶À¯ ¹Ð¸²(Ç¥ÃþÀ¸·Î µ¹Ãâ)À¸·Î Áø´ÜÀÌ °¡´ÉÇÏ´Ù.

3) 2ÁÖ ÈÄ ÃßÀû°Ë»ç¿¡¼­ °¡°ñ(CALLUS)Çü¼ºÀ» È®ÀÎÇÏ¿© È®ÁøÀÌ °¡´ÉÇÏ´Ù.


ÀÌÀü±Û ±¹¼ÒÀû ÇùÂø¿¡ ÀÇÇÑ ¿ä°ñ½Å°æ ¸¶ºñ¿¡ µû¸¥ ¼Õ¸ñ Çϼö(wrist drop due tp radial nerve neuropathy with focal constricture, soc
´ÙÀ½±Û ¾ûµ¢ÀÌ °üÀý ÃÊÀ½ÆÄ Áø´Ü ¹× ÁÖ»çÄ¡·á µ¿¿µ»ó(2019³â 6¿ù 9ÀÏ °­ÀÇÀÚ·á)
       
°¡¸ÍÁ¡¸í : ½Ã¸®¾Ç½ºÁ¤ÇüÀÇÇבּ¸È¸
»ç¾÷ÀÚµî·Ï¹øÈ£ : 894-81-00627 | ´ëÇ¥ÀÚ : ÀåµÎÇõ
 
ÁÖ¼Ò : °æ±âµµ ¾çÆò±º ¿ë¹®¸é ¿ë¹®·Î 375-1, 2Ãþ 1È£
TEL : 010-2323-4055
E-mail : cyriax12@naver.com
ÀԱݾȳ»
±¹¹ÎÀºÇà | ½Ã¸®¾Ç½ºÁ¤ÇüÀÇÇבּ¸È¸(ÁÖ)
220401-04-194155