ôÃßºÎ½Å°æ ¼Õ»ó ÃÊÀ½ÆÄ ¼Ò°ß(sonography of spinal accessory nerve injury)
ÀÛ¼ºÀÚ : ÃÖÀçÀÍ(jic121@hanmail.net) ÀÛ¼ºÀÏ : 2020-01-22 Á¶È¸¼ö : 1855
ÆÄÀÏ÷ºÎ :

³ªÀÌ   ¼ºº°  : 25¼¼ / ³²ÀÚ

 

ÁÖ   Áõ   »ó  : ¿ìÃø ¾î±ú ¿ÜÀü µ¿ÀÛ ½Ã ÈûÀÌ ¾Èµé¾î°¨, ¿ÜÀüÀÌ ¾î·Æ´Ù(2´Þ).

º´          ·Â  : ¾à 2°³¿ù Àü ¸ñ ¿ÜÃø¿¡ ¾àr 2cm Å©±âÀÇ µ¢¾î¸®°¡ ¸¸Á®¼­ ÀýÁ¦ ¹× Á¶Á÷ °Ë»ç ÈÄ Áõ»ó ¹ß»ý..

 

ÀÌÇÐÀû °Ë»ç : ¾î±ú ±¼°î ¹× ¿ÜȸÀü¿¡ ƯÀÌ ¼Ò°ß º¸ÀÌÁö ¾ÊÀ½..

                    ¾î±ú ¿ÜÀüÀÌ ±Ù·Â 3µî±Þ(fair) Á¤µµÀÇ ¾àÈ­¸¦ º¸ÀÓ.

                    ¾î±ú À¸¾³ÇϱⰡ ºÒ¿ÏÀü ÇÔ.

 

¹æ»ç¼± °Ë»ç : ½ÃÇàÇÏÁö ¾ÊÀ½..

±ÙÀüµµ°Ë»ç ôÃß ºÎ½Å°æ º´Áõ(peripheral neuropathy of spinal accessory nerve)

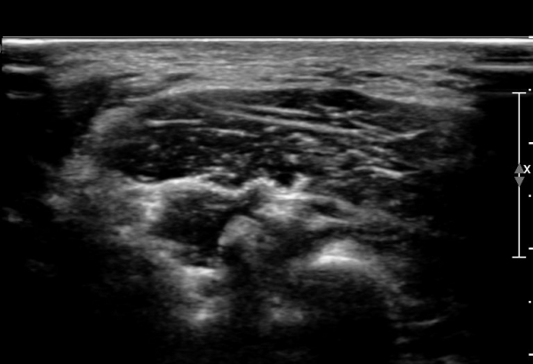
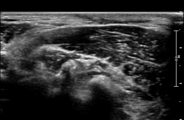
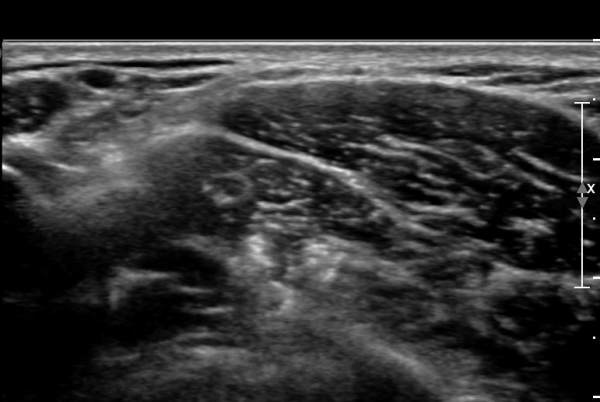
ÃÊÀ½ÆÄ ¼Ò°ß : ¸ñ ¿ÜÃø Á߾ӺΠȾ´Ü¸é°Ë»ç»ó Èä¼âÀ¯µ¹±Ù ÈÄ¹Ý °ß°©°Å±Ù Ç¥Ãþ¿¡¼­ ôÃߺνŰæÀÌ Àú¿¡ÄÚ

                  ¿øÇü ±¸Á¶¹°·Î °üÂûµÈ´Ù(»çÁø 1, 2, 3).

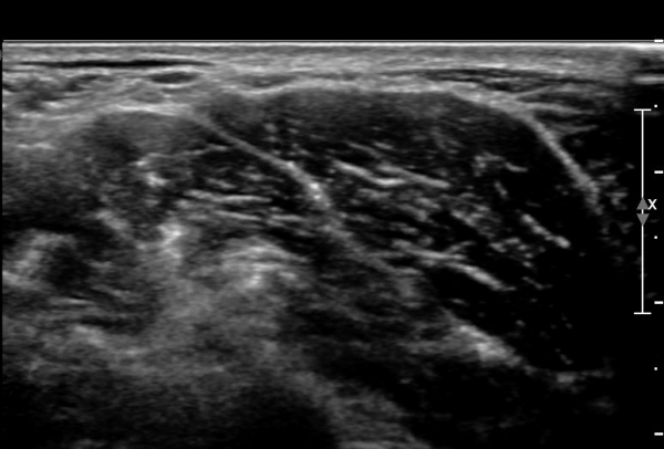
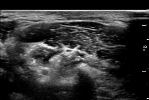
                  ŽÃÊÀÚ¸¦ ¾à°£ ¸»´ÜÀ¸·Î À̵¿ÇÏ´Ï ¼ö¼ú ¹ÝÈçÀÌ °üÂûµÇ°í  ¼ö¼ú¹ÝÈç ÈÄ¹æ ½ÉºÎ¿¡¼­

                  ôÃߺνŰæÀÌ °üÂûµÇ´Âµ¥ ½Å°æÀÇ ¿¬¼Ó¼ºÀº À¯ÁöµÇ¾î ÀÖ´Ù(»çÁø 4, 5).

 

Ä¡         ·á  : ÀÇ·Ú º´¿ø ȸ¼Û

 

°í         Âû ôÃß ºÎ½Å°æ ¼Õ»óÀº ¸ñ ºÎÀ§ ¼ö¼ú ƯÈ÷ Àӯļ± ÀýÁ¦¼úÀ̳ª Á¶Á÷°Ë»ç ½Ã ¹æ»ý ÇÒ ¼öÀÖ°í

                   ±ÙÀüµµ°Ë»ç·Î È®ÁøÇÒ ¼ö ÀÖ´Ù.

                   ÃÊÀ½ÆÄ°Ë»ç¸¦ ½ÃÇàÇÏ¸é ½Å°æ ¿¬°á¼º ¼Ò½Ç ¿©ºÎ(loss of continuity)¸¦ È®ÀÎ ÇÏ¿© ½Å°æ ºÀÇÕ¼úÀÌ

                   ÇÊ¿äÇÑÁö ¿©ºÎ¸¦ ÆÇ´ÜÇÒ ¼ö ÀÖ´Ù.

                      º» Áõ·ÊÀÇ °æ¿ì ôÃߺνŰæÀÇ ¿¬¼Ó¼ºÀº À¯ÁöµÇ¾î ÀÖÀ¸¹Ç·Î °æ°ú °üÂûÀÌ °£´ÉÇÒ °ÍÀ¸·Î »ç·áµÈ´Ù.


ÀÌÀü±Û ¼Õ¸ñ¿¡¼­ Á¤Áß½Å°æ ½Å°æ³» ½Å°æÁ¾(neuroma of median nerve fascicles)
´ÙÀ½±Û Èä°ñ °ñÀý(fracture of sternum)
       
°¡¸ÍÁ¡¸í : ½Ã¸®¾Ç½ºÁ¤ÇüÀÇÇבּ¸È¸
»ç¾÷ÀÚµî·Ï¹øÈ£ : 894-81-00627 | ´ëÇ¥ÀÚ : ÀåµÎÇõ
 
ÁÖ¼Ò : °æ±âµµ ¾çÆò±º ¿ë¹®¸é ¿ë¹®·Î 375-1, 2Ãþ 1È£
TEL : 010-2323-4055
E-mail : cyriax12@naver.com
ÀԱݾȳ»
±¹¹ÎÀºÇà | ½Ã¸®¾Ç½ºÁ¤ÇüÀÇÇבּ¸È¸(ÁÖ)
220401-04-194155