±Ø»ó°Ç ¼®È¸È­¼º °ÇÃÊ¿° Ä¡·á. °æ°ú
ÀÛ¼ºÀÚ : ÃÖÀçÀÍ(jic121@hanmail.net) ÀÛ¼ºÀÏ : 2020-09-16 Á¶È¸¼ö : 1319
ÆÄÀÏ÷ºÎ :

³ªÀÌ   ¼ºº°  : 47¼¼ / ³²ÀÚ

 

ÁÖ   Áõ   »ó  : ¿ìÃø ¾î±ú ÅëÁõ(±â°£ : 4³â)

º´          ·Â  : ¾à 4³â°£ ½ÉÇÏ°Ô ¿òÁ÷ÀÌ°í ³ª¸é ¾î±úÀÇ °æ¹ÌÇÑ ÅëÁõÀÌ ÀÖ¾ú´Âµ¥

                   ÃÖ±Ù ¼ö¿µÇÏ°í³­¼­ ÅëÁõÀÌ ½ÉÇØÁü.

                   ¾î±ú¿¡ Ãæ°ÝÀÌ °¡ÇØÁö¸é ½ÉÇÑ ÅëÁõÀÌ ¹ß»ýÇÏ°í ¹ã¿¡ ¾¥½É.

 

ÀÌÇÐÀû °Ë»ç : ¼öµ¿Àû ¿ÜÀü½Ã °üÀý°¡µ¿ ¹üÀ§ Á¦ÇѰú ÅëÁõÀ» º¸À̰í

                  ±¼°î, ¿ÜȸÀü °üÀý°¡µ¿¹üÀ§´Â Á¤»ó ¹üÀ§

                  °üÀý ¿îµ¿ ½Ã ÀâÀ½ÀÌ ÃËÁøµÊ.

                  ÀúÇ׿¡  ´ëÇÑ ¿ÜÀü ½Ã ÅëÁõÀÌ ³ªÅ¸³ª°í ±Ù¾àÁõÀ» º¸ÀÓ.


Ä¡·á    °æ°ú :  ÃÊÁø ½Ã Á¡¾×³¶³» ÁÖ»ç ÈÄ ÁÖ»ç¹Ù´Ã¿¡ ÀÇÇÑ ¼®È¸ ÀÚ±Ø Ä¡·á ÈÄ ÅëÁõÀÌ

                   °ÅÀÇ ¾ø´Â »óÅ·ΠȣÀüµÇ¾î °æ°ú °üÂû Áß

                   ¾à 1°³¿ù ÈÄ ´Ù¸¥ Áõ»óÀ¸·Î ³»¿øÇÏ¿© ½ÃÇàÇÑ 2Â÷ ¹æ»ç¼± °Ë»ç»ó

                   ¼®È¸ÀÇ ¿ÏÀü Èí¼ö·Î ÆÇ´ÜµÊ. 

 

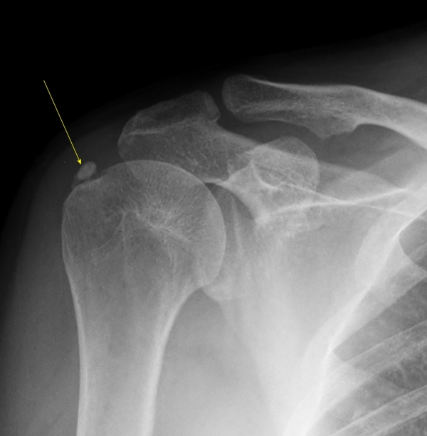
¹æ»ç¼± °Ë»ç :  1Â÷ ¹æ»ç¼± °Ë»ç¿¡¼­ ±Ø»ó°Ç³» °íÀ½¿µ ¼®È¸°¡ °üÂûµÊ(»çÁø 5).

                     2Â÷(¾à 1°³¿ù ÈÄ) ¹æ»ç¼± °Ë»ç¿¡¼­ ¼®È¸°¡ °üÂûµÇÁö ¾ÊÀ½(»çÁø 6).

 

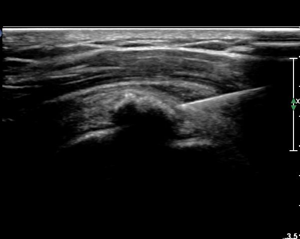
ÃÊÀ½ÆÄ ¼Ò°ß :  ±Ø»ó°Ç Á¾´Ü¸é°Ë»ç¿¡¼­ ÈĹæÀ½¿µÀ» º¸ÀÌ´Â °í¿¡ÄÚ ¼®È¸È­ µ¢¾î¸®°¡ °üÂûµÈ´Ù(»çÁø 1).

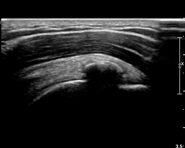
                   ±Ø»ó°Ç Ⱦ´Ü¸é°Ë»ç¿¡¼­µµ ±Ø»ê°Ç³» ¼®È¸È­ µ¢¾î¸®°¡ °üÂûµÈ´Ù(»çÁø 2).

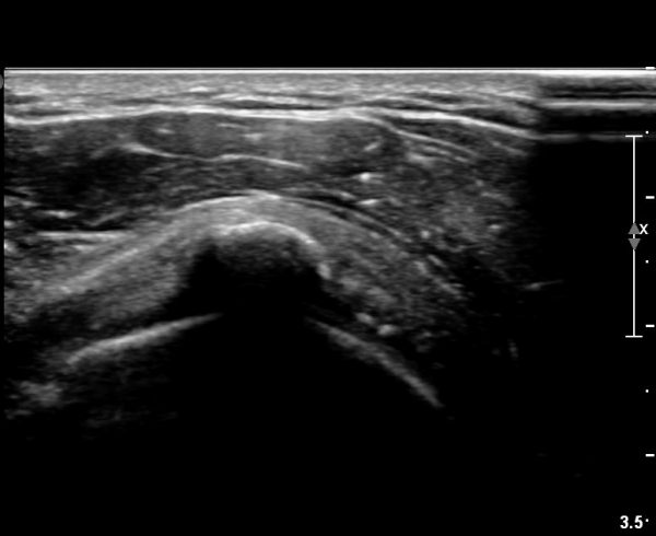
                   ±Ø»ó°Ç Á¾´Ü¸é °Ë»ç»ó¿¡¼­ Á¡¾×³¶³»¿¡ ÁÖ»ç¹Ù´ÃÀÌ À§Ä¡ÇÑ °ÍÀÌ º¸ÀδÙ(»çÁø 3).

                   Á¡¾×³¶³» ÁÖ»ç ÈÄ ÁÖ»ç¹Ù´ÃÀ» ¹Ýº¹ÀûÀ¸·Î ´õ ÁøÀÔ½ÃÄÑ ¼®È¸¸¦ ºÐ¼âÇÑ´Ù(»çÁø 4).

                  

Ä¡         ·á  :  ÃÊÁø ½Ã Á¡¾×³¶³» ÁÖ»çÄ¡·áÈÄ ÁÖ»ç¹Ù´Ã·Î ¼®È¸ÀÚ±Ø Ä¡·á ÈÄ ÅëÁõÀÌ

                   °ÅÀÇ ¾ø´Â »óÅ·ΠȣÀüµÇ¾î °æ°ú °üÂûÁõ ´Ù¸¥ Áõ»óÀ¸·Î ³»¿øÇÏ¿©

                   ½ÃÇàÇÑ 2Â÷ ¹æ»ç¼±°Ë»ç¿¡¼­ ¼®È¸ÀÇ ¿ÏÀü Èí¼ö·Î ÆÇ´ÜµÊ. 

°í         Âû


ÀÌÀü±Û °¥ºñ»À ÃÊÀ½ÆÄ°Ë»ç µ¿¿µ»ó
´ÙÀ½±Û ¼Õ¸ñ¿¡¼­ Á¤Áß½Å°æ ½Å°æ³» ½Å°æÁ¾(neuroma of median nerve fascicles)
       
°¡¸ÍÁ¡¸í : ½Ã¸®¾Ç½ºÁ¤ÇüÀÇÇבּ¸È¸
»ç¾÷ÀÚµî·Ï¹øÈ£ : 894-81-00627 | ´ëÇ¥ÀÚ : ÀåµÎÇõ
 
ÁÖ¼Ò : °æ±âµµ ¾çÆò±º ¿ë¹®¸é ¿ë¹®·Î 375-1, 2Ãþ 1È£
TEL : 010-2323-4055
E-mail : cyriax12@naver.com
ÀԱݾȳ»
±¹¹ÎÀºÇà | ½Ã¸®¾Ç½ºÁ¤ÇüÀÇÇבּ¸È¸(ÁÖ)
220401-04-194155