[¾î±ú] ±Ø»ó°Ç°ú °ß°©ÇÏ±Ù°Ç ¹Ì¼¼ ¼®È¸È­¼º °Ç¿°
ÀÛ¼ºÀÚ : °ü¸®ÀÚ(cyriax12@naver.com) ÀÛ¼ºÀÏ : 2020-10-24 Á¶È¸¼ö : 1733
ÆÄÀÏ÷ºÎ : [mix]BY HAN20191203163113123.avi [mix]BY HAN20191203163203937.avi

³ªÀÌ   ¼ºº°  : 59¼¼ / ³²ÀÚ

 

ÁÖ   Áõ   »ó  : ¿ìÃø ¾î±ú ÅëÁõ(±â°£ : 1³â)

º´          ·Â  : ¾à 1³â°£ °£ÇæÀûÀ¸·Î ¿©·¯ º´¿ø¿¡¼­ Ãæµ¹ÁõÈıº, ȸÀü±Ù°³ ºÎºÐÆÄ¿­ Áø´ÜÇÏ¿¡

                     Áø·á¸¦ ¹Þ¾Ò´ø ȯÀÚ·Î ÅëÁõÀÌ Áö¼ÓµÇ¾î ³»¿ø.

 

ÀÌÇÐÀû °Ë»ç : ¼öµ¿Àû ±¼°ñ 170µµ,  ¿ÜȸÀü 40µµ Á¤µµ °üÀý°¡µ¿ ¹üÀ§ Á¦ÇÑÀ» º¸À̳ª

                    ¾î±ú 90µµ ¿ÜÀü ÈÄ ¼öµ¿Àû ¿ÜȸÀüÀº Å©°Ô Á¦ÇÑÀ» º¸ÀÌÁö ¾ÊÀ½.

                     

                     ÀúÇ׿¡ ´ëÇÑ ¿ÜÀü ½Ã ÅëÁõÀ» º¸ÀÓ.   

                     ÀúÇ׿¡ ´ëÇÑ ³»È¸Àü ½Ã ÅëÁõÀ» º¸ÀÓ.                  

 

¹æ»ç¼± °Ë»ç :  ƯÀÌ ¼Ò°ß ¾ø½¿.

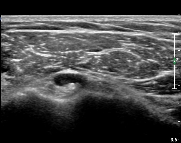
ÃÊÀ½ÆÄ ¼Ò°ß :  È¸Àü±Ù°³°£°Ý(rotato cuff interval) ³»Ãø °Ë»ç»ó  »óºÎ °ß°©Çϱٰǿ¡ ƯÀÌ ¼Ò°ß º¸ÀÌÁö ¾ÊÀ½(»çÁø 1).

                     

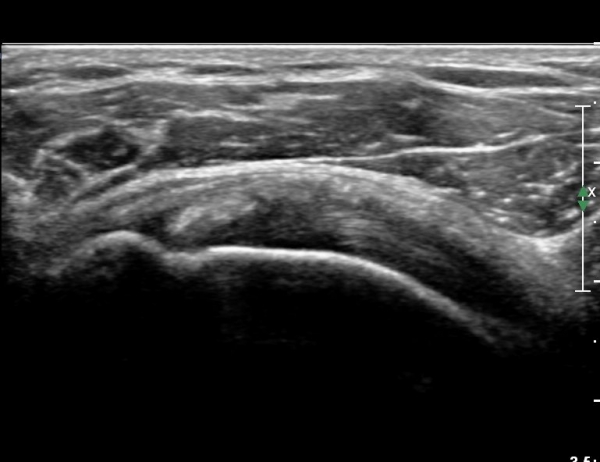
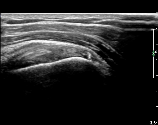
                      °ß°©ÇϱٰǠ Á¾´Ü¸é°Ë»ç¿¡¼­ °ÇºÎÂøºÎ¿¡ ÀÛÀº ¼®È¸È­À½¿µÀÌ °üÂûµÊ(»çÁø 2).

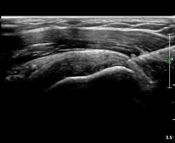
                      ÀÌµÎ¹Ú±Ù°Ç Á¾´Ü¸é°Ë»ç¿¡¼­ °üÀý³» ¼ö¾×Àú·ù°¡  °üÂûµÈ´Ù(»çÁø 3).

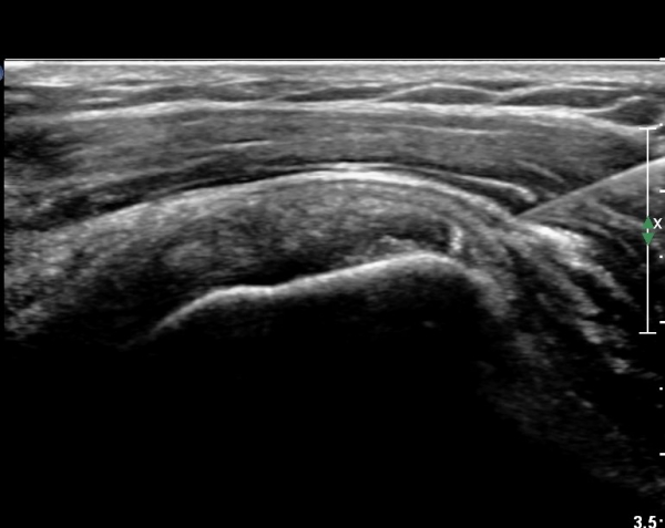
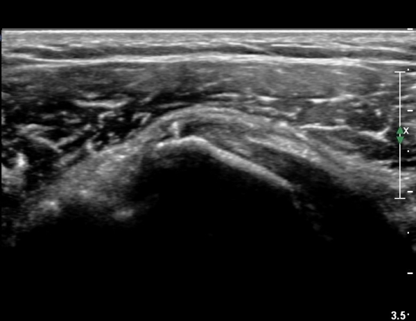
                      ±Ø»ó°Ç Á¾´Ü¸é°Ë»ç¿¡¼­ ±Ø»ó°Ç³» ¼®È¸È­ À½¿µÀÌ °üÂûµÈ´Ù(»çÁø 4).

                       Á¡¾×³¶³» ÁÖ»ç ÈÄ ÁÖ»ç¹Ù´ÃÀ» ¹Ýº¹ÀûÀ¸·Î ´õ ÁøÀÔ½ÃÄÑ ¼®È¸¸¦ ÀÚ±ØÇÏ´Â ¸ð½À(»çÁø 5, 6)

                      Á¡¾×³¶³» ÁÖ»ç ÈÄ(÷ºÎÆÄÀÏ 1)  ¼®È¸ ÀÚ±ØÇÏ´Â ¿µ»ó(÷ºÎÆÄÀÏ 2).

              

Ä¡         ·á  :   ´õ ¶Ñ·ÈÇϰí Å« ¼®È¸¸¦ º¸ÀÌ´Â ±Ø»ó°Ç³» ¼®È¸¸¦ ÀÏÂ÷ Ä¡·á ŸÄÏÀ¸·Î °áÁ¤Çϰí

                     Á¡¾×³¶³» ÁÖ»çÄ¡·áÈÄ ÁÖ»ç¹Ù´Ã·Î ±Ø»ó°Ç³» ¼®È¸ÀÚ±Ø Ä¡·á .


ÀÌÀü±Û °ß°©ÇÏ±Ù°Ç ÇϺΠ¹Ì¼¼ ¼®È¸È­¼º°Ç¿° II
´ÙÀ½±Û °ß°©ÇÏ±Ù°Ç »óºÎ ÆÄ¿­
       
°¡¸ÍÁ¡¸í : ½Ã¸®¾Ç½ºÁ¤ÇüÀÇÇבּ¸È¸
»ç¾÷ÀÚµî·Ï¹øÈ£ : 894-81-00627 | ´ëÇ¥ÀÚ : ÀåµÎÇõ
 
ÁÖ¼Ò : °æ±âµµ ¾çÆò±º ¿ë¹®¸é ¿ë¹®·Î 375-1, 2Ãþ 1È£
TEL : 010-2323-4055
E-mail : cyriax12@naver.com
ÀԱݾȳ»
±¹¹ÎÀºÇà | ½Ã¸®¾Ç½ºÁ¤ÇüÀÇÇבּ¸È¸(ÁÖ)
220401-04-194155