[¹ß¸ñ] Àü°æ°ñ°Ç ºÎÂøºÎ °ÇÃÊ¿° ÃÊÀ½ÆÄ ¼Ò°ß
ÀÛ¼ºÀÚ : ÃÖÀçÀÍ(jic121@hanmail.net) ÀÛ¼ºÀÏ : 2020-12-24 Á¶È¸¼ö : 2738
ÆÄÀÏ÷ºÎ :

³ªÀÌ   ¼ºº°  : 85¼¼ / ¿©ÀÚ

 

ÁÖ   Áõ   »ó  : ¿ìÃø ¹ß ³»ÃøºÎ ÅëÁõ(±â°£ : 1´Þ)

º´          ·Â  : ¾à ÇÑ´Þ Àü ÀÛÀº ±¸µÎ¸¦ ´Ã¸®±â À§ÇØ  ÇÏ·ç ½Å°í³ª¼­ ¹ß ³»ÃøºÎ ÅëÁõ ¹ß»ý.

                    ³»¿ø 10ÀÏÀü Ÿº´¿ø¿¡¼­ Àü°­ÀÌ¿¡ ÁÖ»ç ¸ÂÀ½.

                    ½Å ½Å°í °ÉÀ¸¸é ÅëÁõÀÌ ½ÉÇØÁü.

 

ÀÌÇÐÀû °Ë»ç : ¹ß³»Ãø  Á¦1 ÁßÁ·°ñ¼³Çü°ñ°üÀý ÁÖº¯¿¡ ºÎÁ¾°ú ±¹¼ÒÀû ¾ÐÅëÀ» º¸ÀÓ..

                     ÀúÇ׿¡ ´ëÇÑ ¹ß¸ñ ½ÅÀü½Ã ÅëÁõÀÌ ¹ß»ýÇÔ..

                     ÀúÇ׿¡ ´ëÇÑ ¾öÁö¹ß°¡¶ô ½ÅÀüÀº ƯÀÌ ¼Ò°ß ¾øÀ½.


¹æ»ç¼± °Ë»ç :  ƯÀÌ ¼Ò°ß ¾øÀ½.


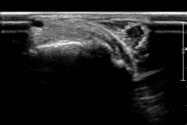
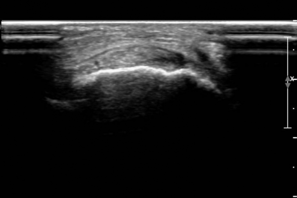
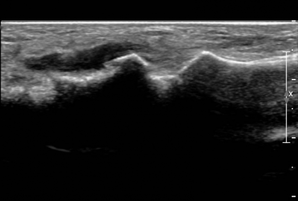
ÃÊÀ½ÆÄ ¼Ò°ß :  Àü°æ°ñ°Ç Á¾´Ü¸é°Ë»ç¿¡¼­ Àü°æ°ñ°ÇÀÌ °í¿¡ÄÚ¼¶À¯È­(hyperechoic fibrillar pattern) ¾ç»óÀ¸·Î °üÂûµÇ´Âµ¥

                      ¼³Çü°ñ ºÎÂûºÎ¿¡¼­ °æ¹ÌÇÑ Á¦¿¡ÄÚ ¾ç»óÀÌ °üÂûµÈ´Ù(»çÁø 1, 2).

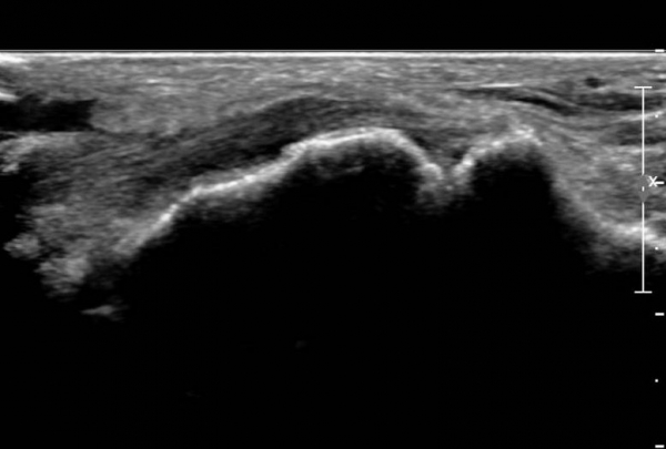
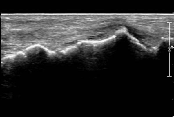
                      ŽÃËÀÚ¸¦ ¾à°£ ¹ß¹Ù´ÚÃøÀ¸·Î À̵¿ÇÏ´Ï ¼³Çü°ñ ºÎÂøºÎ°ÇÀÇ Àú¿¡ÄÚ º´º¯ÀÌ ¶Ñ·ÈÇÏ´Ù(»çÁø 3, 4).

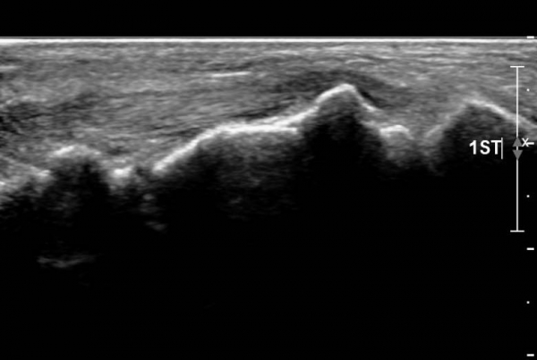
                      Àü°æ°ñ°Ç Ⱦ´Ü¸é°Ë»ç¿¡¼­ Á»´õ ¹ß µîÃøÀ¸·Î À§Ä¡ÇÏ´Â Á¦1ÁßÁ·°ñºÎÂøºÎ °ÇÀº °í¿¡ÄÚ·Î Á¤»óÀûÀÎ ¾ç»óÀ¸·Î

                      °üÂûµÇ³ª Á»´õ ³»Ãø ¹Ù´ÚÃø¿¡ À§Ä¡ÇÏ´Â ¼³Çü°ñ ºÎÂøºÎ °ÇÀÇ Àú¿¡ÄÚ º´º¯ÀÌ °üÂûµÈ´Ù(»çÁø 5,  6). 

  

Ä¡          ·á  :  Ãæ°ÝÆÄ Ä¡·á, ¹°¸®Ä¡·á.

°í          Âû :   Àü°æ°ñ°ÇÀº ³»Ãø  ¼³Çü°ñ(cuneiform)°ú Á¦1ÁßÁ·°ñ ±âÀúºÎ¿¡ ºÎÂøµÇ´Âµ¥(»çÁø 7)  À̰÷¿¡¼­ °ÇÃÊ¿°ÀÌ ¹ß»ýÇÏ´Â °æ¿ì´Â

                      ¸Å¿ì µå¹°°í È®½ÇÇÑ Áø´ÜÀÌ ½±Áö ¾Ê´Ù. 


                      ¿¬±¸ º¸°í¿¡ µû¸£¸é Àü°æ°ñ°Ç ºÎÂøºÎ ¾ç»óÀº 5°¡Áö·Î ºÐ·ùµÇ´Âµ¥, ¼³Çü°ñºÎÂøºÎ°Ç°ú Á¦1ÁßÁ·°ñºÎÂøºÎ°ÇÀÇ Å©±â°¡

                      ºñ½ÁÇÑ type I(»çÁø 8), ¼³Çü°ñ ºÎÂøºÎ °ÇÀÌ ´õ   Å« type II(»çÁø 9) , Á¦1ÁßÁ·°ñ ºÎÂøºÎ °ÇÀÌ ´õ Å« type III(»çÁø 10),

                      Á¦1ÁßÁ·°ñ°ÇÀÌ 2°³ÀÎ type IV(»çÁø 11), ÇϳªÀÇ ¼³Çü°ñ ºÎÂøºÎ °Ç¸¸ Á¸ÀçÇÏ´Â type V(»çÁø 12)·Î ±¸ºÐµÇ´Âµ¥

                      »çü ¿¬±¸¿¡¼­´Â  type V°¡ 32%·Î °¡Àå ¸¹¾Ò°í ÃÊÀ½ÆÄ°Ë»ç¿¡¼­´Â type II°¡ 35%·Î °¡Àå ¸¹¾Ò´Ù°í º¸°íÇÏ¿´´Ù.               

          

                     ¹ß ³»ÃøºÎ, ÁßÁ·±Ù°üÀýºÎ º¸´Ù ±ÙÀ§ºÎ¿¡ Áõ»óÀ» È£¼ÒÇÏ´Â °æ¿ì Àü°æ°ñ°Ç ºÎÂøºÎ º´º¯ °¡´É¼ºÀ» ÀÎÁöÇϰí ÀûÀýÇϰԠ

                     ÃÊÀ½ÆÄ°Ë»ç¸¦ ½ÃÇàÇϸé Àü°æ°ñ°ÇÀÇ ¼³Çü°ñ ¶Ç´Â ÁÖÁ·°ñ ºÎÂøºÎ º´º¯(ÆÄ¿­ ¶Ç´Â °ÇÃÊ¿°)À» Á¤È®È÷ Áø´ÜÇÒ ¼ö ÀÖ°í

                     ÀûÀýÇÑ Ä¡·á¸¦ ½ÃÇàÇÒ ¼ö ÀÖ´Ù.

 

Âü°í  ¹®Çå

1. Ultrasound of tibialis anterior muscle and tendon: anatomy, technique of examination, normal and pathologic appearance

Ultrasound of tibialis anterior muscle and tendon: anatomy, technique of examination, normal and pathologic appearance (nih.gov)


2. A cadaveric and sonographic study of the morphology of the tibialis anterior tendon – a proposal for a new classification

A cadaveric and sonographic study of the morphology of the tibialis anterior tendon – a proposal for a new classification | Journal of Foot and Ankle Research | Full Text (biomedcentral.com)


2. Ultrasound of tibialis anterior muscle and tendon: Anatomy, technique of examination, normal and pathologic appearance

(PDF) Ultrasound of tibialis anterior muscle and tendon: Anatomy, technique of examination, normal and pathologic appearance (researchgate.net)


ÀÌÀü±Û Àü°ñ°£½Å°æ ¸¶ºñ¿Í °¨º°Áø´ÜÀÌ ÇÊ¿äÇÑ À幫Áö±¼±Ù(FPL) ÈûÁÙ ÆÄ¿­ ÃÊÀ½ÆÄ ¼Ò°ß
´ÙÀ½±Û °ß°©ÇÏ±Ù°Ç ÆÄ¿­(Âõ¾îÁü) ÃÊÀ½ÆÄ ¼Ò°ß
       
°¡¸ÍÁ¡¸í : ½Ã¸®¾Ç½ºÁ¤ÇüÀÇÇבּ¸È¸
»ç¾÷ÀÚµî·Ï¹øÈ£ : 894-81-00627 | ´ëÇ¥ÀÚ : ÀåµÎÇõ
 
ÁÖ¼Ò : °æ±âµµ ¾çÆò±º ¿ë¹®¸é ¿ë¹®·Î 375-1, 2Ãþ 1È£
TEL : 010-2323-4055
E-mail : cyriax12@naver.com
ÀԱݾȳ»
±¹¹ÎÀºÇà | ½Ã¸®¾Ç½ºÁ¤ÇüÀÇÇבּ¸È¸(ÁÖ)
220401-04-194155