[ÆÈ²ÞÄ¡] Ç÷°üÁ¾¿¡ ÀÇÇÑ Èİñ°£½Å°æ¸¶ºñ(posterior interosseous nerve neuropathy due to hemangioma)
ÀÛ¼ºÀÚ : ÃÖÀçÀÍ£¨ÃÖÀçȰ(jic121@hanmail.net) ÀÛ¼ºÀÏ : 2022-02-27 Á¶È¸¼ö : 1245
ÆÄÀÏ÷ºÎ :

³ªÀÌ   ¼ºº°  : 60¼¼ /¿©ÀÚ

 

ÁÖ   Áõ   »ó  : ¿ìÃø ¼Õ°¡¶ôÀÌ ÆìÁöÁö ¾ÊÀ½(±â°£ : 1´Þ)

                   ¼Õ°¡¶ô Çϼö(finger drop)

              
 

º´       ·Â  : ¿Ü»ó ¾ø½¿.

                 6°³¿ù Àü Ưº°ÇÑ ¿øÀÎ ¾øÀÌ µÎ¹øÂ° ¼Õ°¡¶ôÀÌ ¾ÈÆìÁö±â ½ÃÀÛÇÑ ÈÄ Àüü ¼Õ°¥°¡ÀÌ ¾ÈÆìÁü. 


ÀÌÇÐÀû °Ë»ç : ±Ù·Â°Ë»ç

                     ¼Õ°¡¶ô ½ÅÀü        T(1) grade

                     ¼Õ¸ñ ½ÅÀü(ECR)    G(4) grade

                     ¾öÁö ¿ÜÀü(APB)    G(4)grade

                     ¼Õ°¡¶ô ¿ÜÀü(DI)    G(4) grade

                            


±ÙÀüµµ°Ë»ç :  peripheral neuropathy of posterior interosseous nerve, near complete. 


ÃÊÀ½ÆÄ ¼Ò°ß 

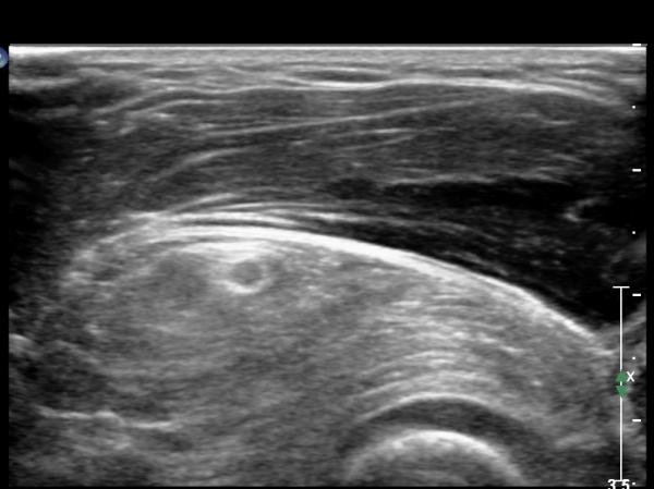
    ÆÈ²ÞÄ¡ ¾Õ Ȳ´Ü¸é °Ë»ç¿¡¼­ ¼ÒµÎ Àü¸é¿¡ ÀÌÁú¼º °í¿¡ÄÚ(heterogenous htperechoic)ÀÇ Á¾±«(mass)°¡ 

    Èİñ°£½Å°æÀ» Ç¥ÃþÀ¸·Î ÀüÀ§½ÃŰ´Â ¾ç»óÀ¸·Î °üÂûµÊ(»çÁø 1).



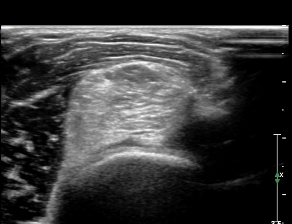
    ŽÃËÀÚ¸¦ Á¶±Ý ¸»´ÜÀ¸·Î À̵¿ÇÏ´Ï ¿ä°ñµÎ°¡ °üÂûµÇ°í ÀÌÁú¼º°í¿¡ÄÚÀÇ Á¾±«°¡ Èİñ°£½Å°æÀ» Ç¥ÃþÀ¸·Î ÀüÀ§½ÃŰ´Â

    ¾ç»óÀ¸·Î °üÂûµÊ(»çÁø 2).


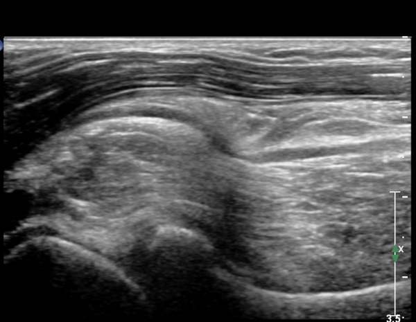
   Å½ÃËÀÚ¸¦ Á¶±Ý ´õ ¸»´ÜÀ¸·Î À̵¿ÇÏ´Ï ¿ä°ñ ¸öÅëÀÌ °üÂûµÇ°í ÀÌÁú¼º°í¿¡ÄÚ Á¾±«¿Í Èİñ°£½Å°æ ºÎÁ¾ÀÌ °ýÂûµÊ(»çÁø 3). 


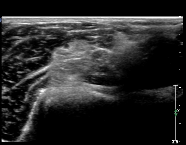
   ÆÈ²ÞÄ¡ ¾Õ Á¾´Ü¸é°Ë»ç¿¡¼­ ÀÌÁú¼º °í¿¡ÄÚ Á¾±«´Â  ȸ¿Ü±ÙÀ» ħ¹üÇÏ¿© ÆÛÁ®ÀÖÀ¸¸ç   Èİñ°£½Å°æÀÇ Àü¹ÝÀûÀÎ ºÎÁ¾°ú

   ±¹¼ÒÀû ¾Ð¹ÚÀÌ °üÂûµÊ(»çÁö 4). 



Ä¡         ·á  :  ¿Ü·Ú º´¿ø ȸ¼Û .

 

°í         Âû :   

¿ä°ñ½Å°æÀÌ »ó¿ÏÀÇ °£ºÎ Áï ¿ä°ñ°í¶û¿¡¼­ ¼Õ»ó¹Þ´Â °æ¿ì ¼Õ¸ñÇϼö(wrist  drop)°¡ ¹ß»ýÇϴµ¥ ¼ÒÀ§ ½ÅÈ¥¿©Çึºñ ¶Ç´Â

Åä¿äÀϹ㠸¶ºñ¿Í °°ÀÌ Àå½Ã°£ ±¹¼ÒÀû ¾Ð¹Ú¿¡ ÀÇÇØ ¹ß»ýÇÑ´Ù.

ÆÈ²ÞÄ¡³ª Àü¿ÏºÎÀ§¿¡¼­ ¿ä°ñ½Å°æÀÌ ¸¶ºñµÇ´Â °æ¿ì´Â ¿ä°ñ½Å°æÀÇ ¿îµ¿½Å°æ°¡ÁöÀÎ Èİñ°£½Å°æÀÌ ¸¶ºñµÇ¾î ¼Õ°¡¶ôÇϼö

(finger drop)°¡ ¹ß»ýÇÏ°í ½Å°æ¸¶ºñÀÇ ¿øÀÎÀº ´ë°³  ¿Ü»óÀ̳ª °áÀýÁ¾ µî Á¾±«¿¡ ÀÇÇÑ ¸¶ºñ°¡ ´ëºÎºÐÀÌ´Ù.

¾Æ·¡ Áõ·Ê¿Í °°ÀÌ ¾Ë ¼ö ¾ø´Â ¿øÀÎÀ¸·Î ¿ä°ñ½Å°æÀÇ ºñƲ¸²ÀÌ ¹ß»ýÇÏ¿© ½Å°æ¸¶ºñ°¡ ¹ß»ýÇÏ´Â °æ¿ì´Â Àü¼¼°èÀûÀ¸·Î

¸Å¿ì µå¹°°Ô º¸°íµÈ´Ù.


±ÙÀ°³» Ç÷°üÁ¾À̳ª ½Å°æ³» Ç÷°üÁ¾¿¡ÀÇÇÑ ½Å°æ¸¶ºñ´Â µå¹°°Ô º¸°í µÇ°í Àִµ¥ Ç÷°üÁ¾°ú °ü·ÃµÈ ½Å°æ ¸¶ºñ´Â ´ë°³

³×°¡Áö ±âÀüÀ¸·Î ¹ß»ýÇÒ ¼ö Àִµ¥ ù°´Â ±ÙÀ°³» Ç÷°üÁ¾¿¡ ÀÇÇÑ Á÷Á¢ÀûÀÎ ½Å°æÀÇ ¾Ð¹Ú, µÑ°´Â ½Å°æ³» Ç÷°üÁ¾¿¡ ÀÇÇÑ

½Å°æÀÇ ¸¶ºñ°¡ ÀÖÀ» ¼ö Àִµ¥ ¿©·¯ ºÎÀ§¿¡¼­ ¹ß»ýÇÏ´Â Áõ·Ê°¡ º¸°íµÇ°í ÀÖ´Ù. ¼Â°´Â Ç÷°üÁ¾ÀÇ ÃâÇ÷¿¡ ÀÇÇÑ ½Å°æ ¸¶ºñ·Î

½Å°æ¹Ùºñ Áõ»óÀÌ ±Þ¼ºÀ¸·Î ¹ß»ýÇÏ´Â °æÇâÀÌ ÀÖ´Ù, ¸¶Áö¸·À¸·Î Ç÷°üÁ¾°ú °ü·ÃµÈ ½Å°æ¿°Áõ¿¡ ÀÇÇÑ °æ¿ìÀÌ´Ù.


º» Áõ·Ê´Â Áõ»óÀÌ ºñ±³Àû ¼­¼­È÷ ¾ÇÈ­µÇ¾ú°í ½Å°æ¿Í Ç÷°üÁ¾ÀÇ °æ°èµµ ¶Ñ·ÈÇÏ¿© ¾Æ¸¶µµ Ç÷°üÁ¾¿¡ÀÇÇÑ Á÷Á¢ÀûÀÎ ¾Ð¹ÚÀÌ

½Å°æ¸¶ºñÀÇ ¿øÀÎÀ¸·Î ÃßÁ¤µÈ´Ù.


Âü°í ¹®Çå   




ÀÌÀü±Û ¸¸¼º Ãæµ¹ÁõÈıº¿¡ ÀÇÇÑ È¸Àü±Ù°³ÆÄ¿­(±Ø»ó°Ç ÆÄ¿­)
´ÙÀ½±Û Àü°ñ°£½Å°æ ¸¶ºñ¿Í °¨º°Áø´ÜÀÌ ÇÊ¿äÇÑ À幫Áö±¼±Ù(FPL) ÈûÁÙ ÆÄ¿­ ÃÊÀ½ÆÄ ¼Ò°ß
       
°¡¸ÍÁ¡¸í : ½Ã¸®¾Ç½ºÁ¤ÇüÀÇÇבּ¸È¸
»ç¾÷ÀÚµî·Ï¹øÈ£ : 894-81-00627 | ´ëÇ¥ÀÚ : ÀåµÎÇõ
 
ÁÖ¼Ò : °æ±âµµ ¾çÆò±º ¿ë¹®¸é ¿ë¹®·Î 375-1, 2Ãþ 1È£
TEL : 010-2323-4055
E-mail : cyriax12@naver.com
ÀԱݾȳ»
±¹¹ÎÀºÇà | ½Ã¸®¾Ç½ºÁ¤ÇüÀÇÇבּ¸È¸(ÁÖ)
220401-04-194155