[½Å°æ] ¾öÁö¹ß°¡¶ô Àå±¼±Ù°Ç ¿°Áõ¿¡ ÀÇÇÑ ³»Ãø Á·Àú½Å°æ º´Áõ (PN of medial plantar nerve due to tenosynovitis of FHL)
ÀÛ¼ºÀÚ : ÃÖÀçÀÍ(jic121@hanmail.net) ÀÛ¼ºÀÏ : 2022-10-25 Á¶È¸¼ö : 926
ÆÄÀÏ÷ºÎ :

³ªÀÌ   ¼ºº°  : 52¼¼ /³²ÀÚ

 

ÁÖ    Áõ   »ó  : ¿ìÃø ¹ß°¡¶ô °¨°¢ °¨¼Ò(±â°£ : 20ÀÏ)

º´         ·Â  :  Ưº°ÇÑ  ÀÌÀ¯ ¾øÀÌ  Á¡Â÷ÀûÀ¸·Î ¹ß°¡¶ô  °¨°¢ÀÌ µÐȸµÊ.

                     Ç㸮ÅëÁõ(+)

                     ´ç´¢º´(-)

 

ÀÌÇÐÀû °Ë»ç :   2, 3, 4, ¹ß°¡¶ô °¨°¢°¨¼Ò¸¦ º¸ÀÓ.


¹æ»ç¼± °Ë»ç :  ½ÃÇàÇÏÁö ¾ÊÀ½.


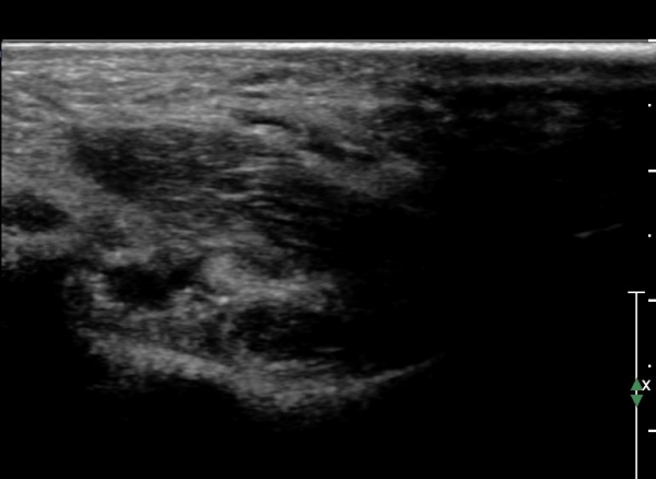
ÃÊÀ½ÆÄ ¼Ò°ß :  ¹ß¸ñ ³»Ãø Á¾´Ü¸é °Ë»ç¿¡¼­ Á¤»ó ÀûÀÎ ¼Ò°ßÀ» º¸ÀÓ(»çÁø 1).


                   Å½ÃËÀÚ¸¦ Á¶±Ý ¸»´ÜÀ¸·Î À̵¿ÇÏ´Ï Èİæ°ñ ½Å°æÀÌ ³»Ãø Á·Àú½Å°æ°ú ¿ÜÃø Á·Àú ½Å°æÀ¸·Î ³ª´©¾îÁü(»çÁø 2)

                  

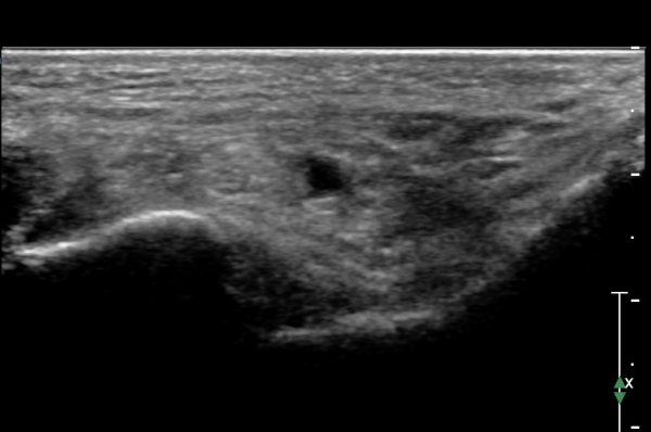
                   Å½ÃËÁö¸¦ Á¶±Ý ´õ ¸»´ÜÀ¸·Î À̵¿ÇÏ¿© sustentaculum  tali À§Ä¡¿¡ ¿À´Ï À幫Áö±¼±Ù°Ç ÁÖº¯¿¡ ¼ö¾×Àú·ù°¡

                   °üÂûµÇ°í ³»Ãø Á·Àú½Å°æÀÇ ÀüÀ§°¡ °üÂûµÊ. sustentaculum  tali Ç¥Ãþ¿¡ À§Ä¡ÇÑ ÀåÁ·Áö±¼±Ù°ÇÀº

                   ºñµî¹æ¼º(anisotropic) ÀΰøÀ½¿µ(artifact)¿¡ ÀÇÇÏ Àú¿¡ÄÚ µ¢¾î¸®·Î °üÂûµÊ(»çÁø 3).


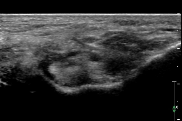
                   Å½ÃËÁö¸¦ Á¶±Ý ´õ ¸»´ÜÀ¸·Î À̵¿ÇÏ¿© naviculocuneiform °üÀý À§Ä¡¿¡ ¿À´Ï Knot  of  Henly °¡ °üÂûµÇ°í

                   À幫Áö±¼±Ù°Ç ³»ÃàÀ¸·Î  ¼ö¾×Àú·ù°¡ °üÂûµÇ°í ³»Ãø Á·Àú½Å°æÀº Ç¥ÃþÀ¸·Î  ÀüÀ§µÇ¾î º¸ÀÓ(»çÁø 4).


±ÙÀüµµ °Ë»ç :   ³»Ãø Á·Àú½Å°æ º´Áõ

            

Ä¡       ·á : ÀÇ·Ú º´¿ø ȸ¼Û 

ÀÌÀü±Û »ó¹ÚºÎ¿¡¼­ Àü°ñ°£½Å°æ ´Ù¹ß ºñƲ¸²¿¡ ÀÇÇÑ Àü°ñ°£½Å°æ º´Áõ( anterior interosseous nerve neuropathy due to fascicular
´ÙÀ½±Û ¸»´Ü Àü°æ°ñºñ°ñÀÎ´ë ¿°Á ¹× °æ°ñ °ß¿­°ñÀý ÃÊÀ½ÆÄ Áõ·Ê
       
°¡¸ÍÁ¡¸í : ½Ã¸®¾Ç½ºÁ¤ÇüÀÇÇבּ¸È¸
»ç¾÷ÀÚµî·Ï¹øÈ£ : 894-81-00627 | ´ëÇ¥ÀÚ : ÀåµÎÇõ
 
ÁÖ¼Ò : °æ±âµµ ¾çÆò±º ¿ë¹®¸é ¿ë¹®·Î 375-1, 2Ãþ 1È£
TEL : 010-2323-4055
E-mail : cyriax12@naver.com
ÀԱݾȳ»
±¹¹ÎÀºÇà | ½Ã¸®¾Ç½ºÁ¤ÇüÀÇÇבּ¸È¸(ÁÖ)
220401-04-194155